About   Help   FAQ
Gene Expression Data
Assay Details
Assay
Reference: J:153498 Diez-Roux G, et al., A high-resolution anatomical atlas of the transcriptome in the mouse embryo. PLoS Biol. 2011;9(1):e1000582
Assay type: RNA in situ
MGI Accession ID: MGI:4822754
Gene symbol: Magec2
Gene name: MAGE family member C2
Probe: T37412
Probe preparation: Antisense labelled with digoxigenin RNA
Visualized with: Alkaline phosphatase
Assay notes: Cryosections of fresh frozen material were fixed in 4% paraformaldehyde for 20 min. before further processing. A tyramide-biotin/streptavidin amplification step was included in the in situ hybridization procedure.
Results
Specimen euxassay_011173_04: embryonic day 14.5 (more )
Structure Level Pattern Image Note
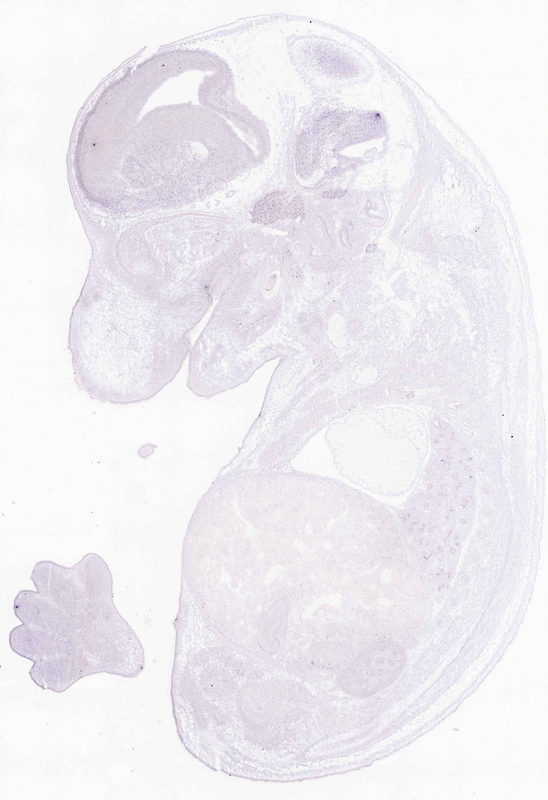
TS23: trigeminal ganglion Moderate Regionally restricted euxassay_011173_04

Specimen euxassay_011173_05: embryonic day 14.5 (more )
Structure Level Pattern Image Note
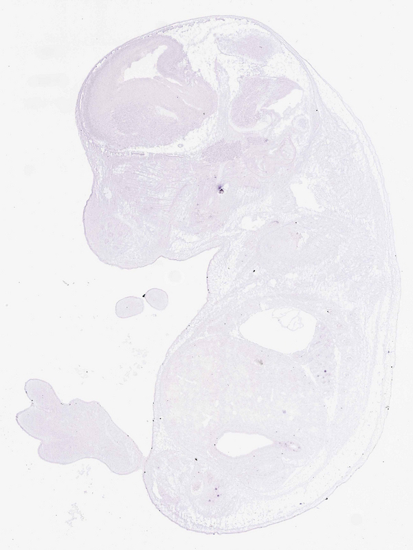
TS23: trigeminal ganglion Moderate Regionally restricted euxassay_011173_05
TS23: facial ganglion Moderate Regionally restricted euxassay_011173_05

Specimen euxassay_011173_06: embryonic day 14.5 (more )
Structure Level Pattern Image Note
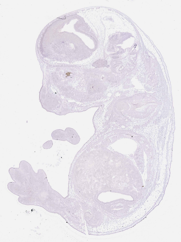
TS23: trigeminal ganglion Weak Regionally restricted euxassay_011173_06
TS23: left lung Moderate Spotted euxassay_011173_06

Specimen euxassay_011173_07: embryonic day 14.5 (more )
Structure Level Pattern Image Note
TS23: trigeminal ganglion Weak Regionally restricted euxassay_011173_07
TS23: left lung Moderate Spotted euxassay_011173_07

Specimen euxassay_011173_08: embryonic day 14.5 (more )
Structure Level Pattern Image Note
TS23: trigeminal ganglion Weak Regionally restricted euxassay_011173_08
TS23: glossopharyngeal ganglion Weak Regionally restricted euxassay_011173_08
TS23: left lung Moderate Spotted euxassay_011173_08

Specimen euxassay_011173_09: embryonic day 14.5 (more )
Structure Level Pattern Image Note
TS23: trigeminal ganglion Weak Regionally restricted euxassay_011173_09
TS23: vagus ganglion Weak Regionally restricted euxassay_011173_09
TS23: left lung Moderate Spotted euxassay_011173_09

Specimen euxassay_011173_10: embryonic day 14.5 (more )
Structure Level Pattern Image Note
TS23: trigeminal ganglion Weak Regionally restricted euxassay_011173_10
TS23: left lung Moderate Spotted euxassay_011173_10

Specimen euxassay_011173_11: embryonic day 14.5 (more )
Structure Level Pattern Image Note
TS23: left lung Moderate Spotted euxassay_011173_11

Specimen euxassay_011173_12: embryonic day 14.5 (more )
Structure Level Pattern Image Note
TS23: left lung Moderate Spotted euxassay_011173_12

Specimen euxassay_011173_13: embryonic day 14.5 (more )
Structure Level Pattern Image Note
TS23: left lung Moderate Spotted euxassay_011173_13

Specimen euxassay_011173_16: embryonic day 14.5 (more )
Structure Level Pattern Image Note
TS23: right lung Moderate Spotted euxassay_011173_16

Specimen euxassay_011173_18: embryonic day 14.5 (more )
Structure Level Pattern Image Note
TS23: right lung Moderate Spotted euxassay_011173_18

Specimen euxassay_011173_19: embryonic day 14.5 (more )
Structure Level Pattern Image Note
TS23: right lung Moderate Spotted euxassay_011173_19

Specimen euxassay_011173_20: embryonic day 14.5 (more )
Structure Level Pattern Image Note
TS23: trigeminal ganglion Weak Regionally restricted euxassay_011173_20
TS23: right lung Moderate Spotted euxassay_011173_20

Specimen euxassay_011173_21: embryonic day 14.5 (more )
Structure Level Pattern Image Note
TS23: trigeminal ganglion Weak Regionally restricted euxassay_011173_21
TS23: facial ganglion Weak Regionally restricted euxassay_011173_21

Specimen euxassay_011173_22: embryonic day 14.5 (more )
Structure Level Pattern Image Note
TS23: trigeminal ganglion Weak Regionally restricted euxassay_011173_22
TS23: right lung Moderate Spotted euxassay_011173_22

Specimen euxassay_011173_23: embryonic day 14.5 (more )
Structure Level Pattern Image Note
TS23: trigeminal ganglion Weak Regionally restricted euxassay_011173_23
TS23: facial ganglion Weak Regionally restricted euxassay_011173_23
TS23: right lung Moderate Spotted euxassay_011173_23

Specimen euxassay_011173_24: embryonic day 14.5 (more )
Structure Level Pattern Image Note
TS23: trigeminal ganglion Weak Regionally restricted euxassay_011173_24
TS23: right lung Moderate Spotted euxassay_011173_24


Contributing Projects:
Mouse Genome Database (MGD), Gene Expression Database (GXD), Mouse Models of Human Cancer database (MMHCdb) (formerly Mouse Tumor Biology (MTB)), Gene Ontology (GO)
Citing These Resources
Funding Information
Warranty Disclaimer, Privacy Notice, Licensing, & Copyright
Send questions and comments to User Support.
last database update
01/06/2026
MGI 6.24
The Jackson Laboratory