About   Help   FAQ
Gene Expression Data
Assay Details
Assay
Reference: J:153498 Diez-Roux G, et al., A high-resolution anatomical atlas of the transcriptome in the mouse embryo. PLoS Biol. 2011;9(1):e1000582
Assay type: RNA in situ
MGI Accession ID: MGI:4822745
Gene symbol: 4931406H21Rik
Gene name: RIKEN cDNA 4931406H21 gene
Probe: T37394
Probe preparation: Antisense labelled with digoxigenin RNA
Visualized with: Alkaline phosphatase
Assay notes: Cryosections of fresh frozen material were fixed in 4% paraformaldehyde for 20 min. before further processing. A tyramide-biotin/streptavidin amplification step was included in the in situ hybridization procedure.
Results
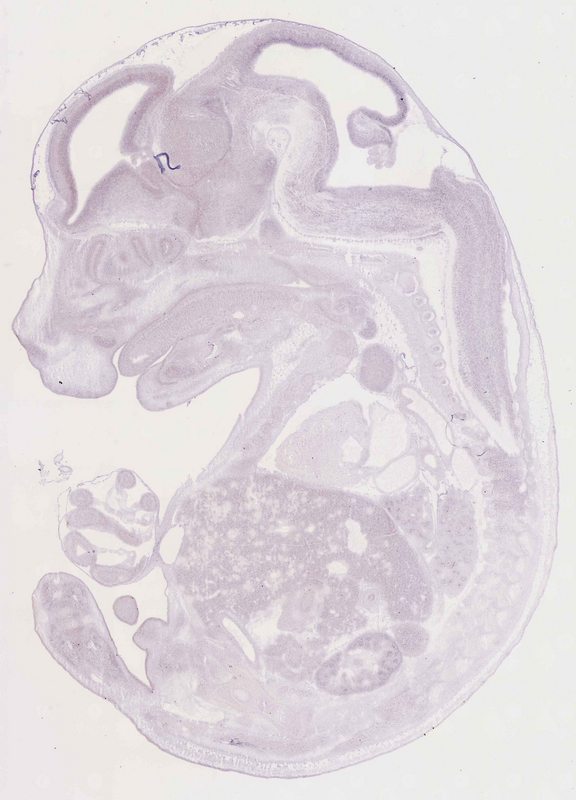
Specimen euxassay_013607_03: embryonic day 14.5 (more )
Structure Level Pattern Image Note
TS23: telencephalon ventricular layer Weak Uniform euxassay_013607_03

Specimen euxassay_013607_04: embryonic day 14.5 (more )
Structure Level Pattern Image Note
TS23: telencephalon ventricular layer Weak Uniform euxassay_013607_04

Specimen euxassay_013607_05: embryonic day 14.5 (more )
Structure Level Pattern Image Note
TS23: telencephalon ventricular layer Weak Uniform euxassay_013607_05

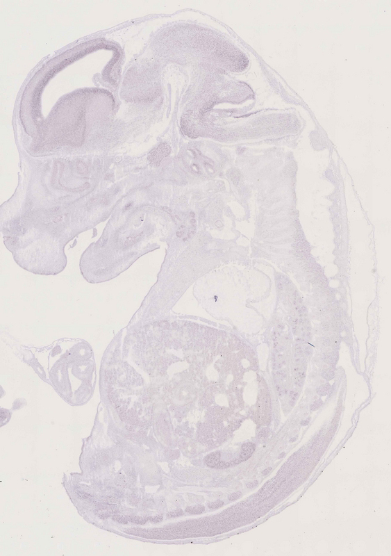
Specimen euxassay_013607_06: embryonic day 14.5 (more )
Structure Level Pattern Image Note
TS23: telencephalon ventricular layer Weak Uniform euxassay_013607_06
TS23: rest of cerebellum marginal layer Weak Regionally restricted euxassay_013607_06

Specimen euxassay_013607_07: embryonic day 14.5 (more )
Structure Level Pattern Image Note
TS23: telencephalon ventricular layer Weak Uniform euxassay_013607_07
TS23: rest of cerebellum marginal layer Weak Regionally restricted euxassay_013607_07

Specimen euxassay_013607_08: embryonic day 14.5 (more )
Structure Level Pattern Image Note
TS23: telencephalon ventricular layer Weak Uniform euxassay_013607_08
TS23: midbrain ventricular layer Weak Regionally restricted euxassay_013607_08
TS23: rest of cerebellum marginal layer Weak Regionally restricted euxassay_013607_08

Specimen euxassay_013607_09: embryonic day 14.5 (more )
Structure Level Pattern Image Note
TS23: telencephalon ventricular layer Weak Uniform euxassay_013607_09
TS23: midbrain ventricular layer Weak Regionally restricted euxassay_013607_09
TS23: rest of cerebellum marginal layer Weak Regionally restricted euxassay_013607_09
TS23: upper jaw molar Weak Regionally restricted euxassay_013607_09
TS23: lower jaw molar Weak Regionally restricted euxassay_013607_09

Specimen euxassay_013607_10: embryonic day 14.5 (more )
Structure Level Pattern Image Note
TS23: telencephalon ventricular layer Weak Uniform euxassay_013607_10
TS23: midbrain ventricular layer Weak Regionally restricted euxassay_013607_10
TS23: rest of cerebellum marginal layer Weak Regionally restricted euxassay_013607_10
TS23: upper jaw molar Weak Regionally restricted euxassay_013607_10
TS23: lower jaw molar Weak Regionally restricted euxassay_013607_10

Specimen euxassay_013607_11: embryonic day 14.5 (more )
Structure Level Pattern Image Note
TS23: telencephalon ventricular layer Weak Uniform euxassay_013607_11
TS23: midbrain ventricular layer Weak Regionally restricted euxassay_013607_11
TS23: rest of cerebellum marginal layer Weak Regionally restricted euxassay_013607_11

Specimen euxassay_013607_12: embryonic day 14.5 (more )
Structure Level Pattern Image Note
TS23: telencephalon ventricular layer Weak Uniform euxassay_013607_12
TS23: olfactory cortex ventricular layer Weak Uniform euxassay_013607_12
TS23: midbrain ventricular layer Weak Regionally restricted euxassay_013607_12
TS23: rest of cerebellum marginal layer Weak Regionally restricted euxassay_013607_12

Specimen euxassay_013607_13: embryonic day 14.5 (more )
Structure Level Pattern Image Note
TS23: olfactory cortex ventricular layer Weak Uniform euxassay_013607_13
TS23: telencephalon ventricular layer Weak Uniform euxassay_013607_13
TS23: midbrain ventricular layer Weak Regionally restricted euxassay_013607_13
TS23: rest of cerebellum marginal layer Weak Regionally restricted euxassay_013607_13
TS23: upper jaw incisor Weak Regionally restricted euxassay_013607_13
TS23: lower jaw incisor Weak Regionally restricted euxassay_013607_13

Specimen euxassay_013607_14: embryonic day 14.5 (more )
Structure Level Pattern Image Note
TS23: olfactory cortex ventricular layer Weak Uniform euxassay_013607_14
TS23: telencephalon ventricular layer Weak Uniform euxassay_013607_14
TS23: midbrain ventricular layer Weak Regionally restricted euxassay_013607_14
TS23: rest of cerebellum marginal layer Weak Regionally restricted euxassay_013607_14
TS23: upper jaw incisor Weak Regionally restricted euxassay_013607_14
TS23: lower jaw incisor Weak Regionally restricted euxassay_013607_14

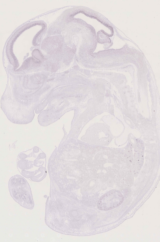
Specimen euxassay_013607_15: embryonic day 14.5 (more )
Structure Level Pattern Image Note
TS23: midbrain ventricular layer Weak Regionally restricted euxassay_013607_15

Specimen euxassay_013607_16: embryonic day 14.5 (more )
Structure Level Pattern Image Note
TS23: telencephalon ventricular layer Weak Uniform euxassay_013607_16
TS23: midbrain ventricular layer Weak Regionally restricted euxassay_013607_16
TS23: rest of cerebellum marginal layer Weak Regionally restricted euxassay_013607_16

Specimen euxassay_013607_17: embryonic day 14.5 (more )
Structure Level Pattern Image Note
TS23: telencephalon ventricular layer Weak Uniform euxassay_013607_17
TS23: midbrain ventricular layer Weak Regionally restricted euxassay_013607_17
TS23: rest of cerebellum marginal layer Weak Regionally restricted euxassay_013607_17

Specimen euxassay_013607_18: embryonic day 14.5 (more )
Structure Level Pattern Image Note
TS23: telencephalon ventricular layer Weak Uniform euxassay_013607_18
TS23: olfactory cortex ventricular layer Weak Uniform euxassay_013607_18
TS23: midbrain ventricular layer Weak Regionally restricted euxassay_013607_18
TS23: rest of cerebellum marginal layer Weak Regionally restricted euxassay_013607_18
TS23: upper jaw incisor Weak Regionally restricted euxassay_013607_18
TS23: lower jaw incisor Weak Regionally restricted euxassay_013607_18

Specimen euxassay_013607_19: embryonic day 14.5 (more )
Structure Level Pattern Image Note
TS23: olfactory cortex ventricular layer Weak Uniform euxassay_013607_19
TS23: telencephalon ventricular layer Weak Uniform euxassay_013607_19
TS23: rest of cerebellum marginal layer Weak Regionally restricted euxassay_013607_19
TS23: lower jaw incisor Weak Regionally restricted euxassay_013607_19
TS23: upper jaw incisor Weak Regionally restricted euxassay_013607_19

Specimen euxassay_013607_20: embryonic day 14.5 (more )
Structure Level Pattern Image Note
TS23: telencephalon ventricular layer Weak Uniform euxassay_013607_20
TS23: rest of cerebellum marginal layer Weak Regionally restricted euxassay_013607_20
TS23: lower jaw molar Weak Regionally restricted euxassay_013607_20

Specimen euxassay_013607_21: embryonic day 14.5 (more )
Structure Level Pattern Image Note
TS23: telencephalon ventricular layer Weak Uniform euxassay_013607_21
TS23: rest of cerebellum marginal layer Weak Regionally restricted euxassay_013607_21
TS23: lower jaw molar Weak Regionally restricted euxassay_013607_21
TS23: upper jaw molar Weak Regionally restricted euxassay_013607_21

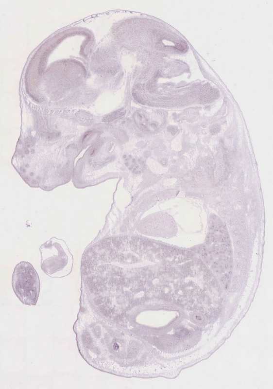
Specimen euxassay_013607_22: embryonic day 14.5 (more )
Structure Level Pattern Image Note
TS23: telencephalon ventricular layer Weak Uniform euxassay_013607_22
TS23: rest of cerebellum marginal layer Weak Regionally restricted euxassay_013607_22

Specimen euxassay_013607_23: embryonic day 14.5 (more )
Structure Level Pattern Image Note
TS23: telencephalon ventricular layer Weak Uniform euxassay_013607_23
TS23: rest of cerebellum marginal layer Weak Regionally restricted euxassay_013607_23


Contributing Projects:
Mouse Genome Database (MGD), Gene Expression Database (GXD), Mouse Models of Human Cancer database (MMHCdb) (formerly Mouse Tumor Biology (MTB)), Gene Ontology (GO)
Citing These Resources
Funding Information
Warranty Disclaimer, Privacy Notice, Licensing, & Copyright
Send questions and comments to User Support.
last database update
01/28/2026
MGI 6.24
The Jackson Laboratory