About   Help   FAQ
Gene Expression Data
Assay Details
Assay
Reference: J:153498 Diez-Roux G, et al., A high-resolution anatomical atlas of the transcriptome in the mouse embryo. PLoS Biol. 2011;9(1):e1000582
Assay type: RNA in situ
MGI Accession ID: MGI:4822705
Gene symbol: Armh4
Gene name: armadillo-like helical domain containing 4
Probe: MGC clone 32460
Probe preparation: Antisense labelled with digoxigenin RNA
Visualized with: Alkaline phosphatase
Assay notes: Cryosections of fresh frozen material were fixed in 4% paraformaldehyde for 20 min. before further processing. A tyramide-biotin/streptavidin amplification step was included in the in situ hybridization procedure.
Results
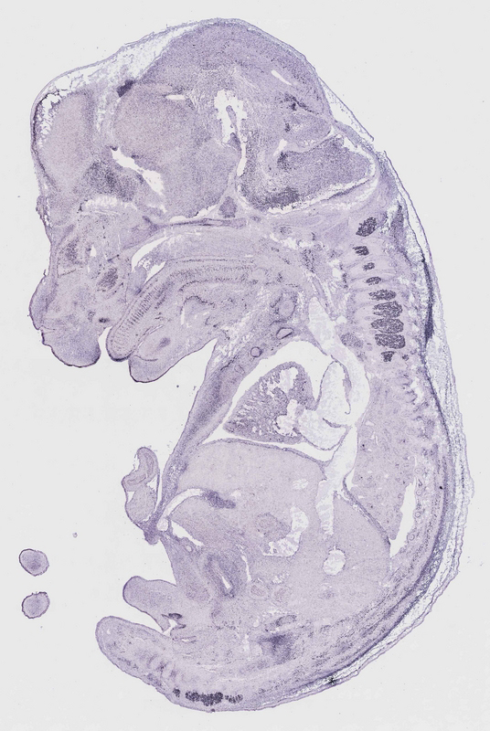
Specimen euxassay_001572_01: embryonic day 14.5 (more )
Structure Level Pattern Image Note
TS23: vertebral axis musculature Strong Regionally restricted euxassay_001572_01
TS23: head mesenchyme Moderate Regionally restricted euxassay_001572_01

Specimen euxassay_001572_02: embryonic day 14.5 (more )
Structure Level Pattern Image Note
TS23: vertebral axis musculature Strong Regionally restricted euxassay_001572_02
TS23: head mesenchyme Moderate Regionally restricted euxassay_001572_02

Specimen euxassay_001572_03: embryonic day 14.5 (more )
Structure Level Pattern Image Note
TS23: trigeminal ganglion Strong Regionally restricted euxassay_001572_03
TS23: vertebral axis musculature Strong Regionally restricted euxassay_001572_03
TS23: head mesenchyme Moderate Regionally restricted euxassay_001572_03

Specimen euxassay_001572_04: embryonic day 14.5 (more )
Structure Level Pattern Image Note
TS23: trigeminal ganglion Strong Regionally restricted euxassay_001572_04
TS23: tail dorsal root ganglion Strong Regionally restricted euxassay_001572_04
TS23: vertebral axis musculature Strong Regionally restricted euxassay_001572_04
TS23: head mesenchyme Moderate Regionally restricted euxassay_001572_04

Specimen euxassay_001572_05: embryonic day 14.5 (more )
Structure Level Pattern Image Note
TS23: trigeminal ganglion Strong Regionally restricted euxassay_001572_05
TS23: glossopharyngeal ganglion Strong Regionally restricted euxassay_001572_05
TS23: tail dorsal root ganglion Strong Regionally restricted euxassay_001572_05
TS23: vertebral axis musculature Strong Regionally restricted euxassay_001572_05
TS23: head mesenchyme Moderate Regionally restricted euxassay_001572_05

Specimen euxassay_001572_06: embryonic day 14.5 (more )
Structure Level Pattern Image Note
TS23: trigeminal ganglion Strong Regionally restricted euxassay_001572_06
TS23: vagus ganglion Strong Regionally restricted euxassay_001572_06
TS23: tail dorsal root ganglion Strong Regionally restricted euxassay_001572_06
TS23: vertebral axis musculature Strong Regionally restricted euxassay_001572_06
TS23: head mesenchyme Moderate Regionally restricted euxassay_001572_06

Specimen euxassay_001572_07: embryonic day 14.5 (more )
Structure Level Pattern Image Note
TS23: trigeminal ganglion Strong Regionally restricted euxassay_001572_07
TS23: tail dorsal root ganglion Strong Regionally restricted euxassay_001572_07
TS23: vibrissa Weak Regionally restricted euxassay_001572_07
TS23: axial skeleton Moderate Regionally restricted euxassay_001572_07
TS23: vertebral axis musculature Moderate Regionally restricted euxassay_001572_07
TS23: head mesenchyme Moderate Regionally restricted euxassay_001572_07

Specimen euxassay_001572_08: embryonic day 14.5 (more )
Structure Level Pattern Image Note
TS23: trigeminal ganglion Strong Regionally restricted euxassay_001572_08
TS23: tail dorsal root ganglion Strong Regionally restricted euxassay_001572_08
TS23: vibrissa Weak Regionally restricted euxassay_001572_08
TS23: axial skeleton Moderate Regionally restricted euxassay_001572_08
TS23: vertebral axis musculature Moderate Regionally restricted euxassay_001572_08
TS23: head mesenchyme Moderate Regionally restricted euxassay_001572_08

Specimen euxassay_001572_09: embryonic day 14.5 (more )
Structure Level Pattern Image Note
TS23: trigeminal ganglion Strong Regionally restricted euxassay_001572_09
TS23: vibrissa Moderate Regionally restricted euxassay_001572_09
TS23: axial skeleton Moderate Regionally restricted euxassay_001572_09
TS23: vertebral axis musculature Moderate Regionally restricted euxassay_001572_09
TS23: head mesenchyme Moderate Regionally restricted euxassay_001572_09

Specimen euxassay_001572_10: embryonic day 14.5 (more )
Structure Level Pattern Image Note
TS23: vibrissa Moderate Regionally restricted euxassay_001572_10
TS23: axial skeleton Moderate Regionally restricted euxassay_001572_10
TS23: vertebral axis musculature Moderate Regionally restricted euxassay_001572_10
TS23: head mesenchyme Moderate Regionally restricted euxassay_001572_10

Specimen euxassay_001572_11: embryonic day 14.5 (more )
Structure Level Pattern Image Note
TS23: axial skeleton Moderate Regionally restricted euxassay_001572_11
TS23: vertebral axis musculature Moderate Regionally restricted euxassay_001572_11
TS23: head mesenchyme Moderate Regionally restricted euxassay_001572_11

Specimen euxassay_001572_12: embryonic day 14.5 (more )
Structure Level Pattern Image Note
TS23: tail dorsal root ganglion Strong Regionally restricted euxassay_001572_12
TS23: axial skeleton Moderate Regionally restricted euxassay_001572_12
TS23: vertebral axis musculature Moderate Regionally restricted euxassay_001572_12
TS23: head mesenchyme Moderate Regionally restricted euxassay_001572_12

Specimen euxassay_001572_13: embryonic day 14.5 (more )
Structure Level Pattern Image Note
TS23: tail dorsal root ganglion Strong Regionally restricted euxassay_001572_13
TS23: vertebral axis musculature Moderate Regionally restricted euxassay_001572_13
TS23: head mesenchyme Moderate Regionally restricted euxassay_001572_13

Specimen euxassay_001572_14: embryonic day 14.5 (more )
Structure Level Pattern Image Note
TS23: tail dorsal root ganglion Strong Regionally restricted euxassay_001572_14
TS23: vertebral axis musculature Moderate Regionally restricted euxassay_001572_14
TS23: head mesenchyme Moderate Regionally restricted euxassay_001572_14

Specimen euxassay_001572_15: embryonic day 14.5 (more )
Structure Level Pattern Image Note
TS23: vertebral axis musculature Strong Regionally restricted euxassay_001572_15
TS23: head mesenchyme Moderate Regionally restricted euxassay_001572_15

Specimen euxassay_001572_16: embryonic day 14.5 (more )
Structure Level Pattern Image Note
TS23: glossopharyngeal ganglion Strong Regionally restricted euxassay_001572_16
TS23: trigeminal ganglion Strong Regionally restricted euxassay_001572_16
TS23: vertebral axis musculature Strong Regionally restricted euxassay_001572_16
TS23: head mesenchyme Moderate Regionally restricted euxassay_001572_16

Specimen euxassay_001572_17: embryonic day 14.5 (more )
Structure Level Pattern Image Note
TS23: trigeminal ganglion Strong Regionally restricted euxassay_001572_17
TS23: vertebral axis musculature Moderate Regionally restricted euxassay_001572_17
TS23: head mesenchyme Moderate Regionally restricted euxassay_001572_17

Specimen euxassay_001572_18: embryonic day 14.5 (more )
Structure Level Pattern Image Note
TS23: trigeminal ganglion Strong Regionally restricted euxassay_001572_18
TS23: vertebral axis musculature Moderate Regionally restricted euxassay_001572_18
TS23: head mesenchyme Moderate Regionally restricted euxassay_001572_18

Specimen euxassay_001572_19: embryonic day 14.5 (more )
Structure Level Pattern Image Note
TS23: trigeminal ganglion Strong Regionally restricted euxassay_001572_19
TS23: vertebral axis musculature Moderate Regionally restricted euxassay_001572_19
TS23: head mesenchyme Moderate Regionally restricted euxassay_001572_19

Specimen euxassay_001572_20: embryonic day 14.5 (more )
Structure Level Pattern Image Note
TS23: trigeminal ganglion Strong Regionally restricted euxassay_001572_20
TS23: vertebral axis musculature Moderate Regionally restricted euxassay_001572_20
TS23: head mesenchyme Moderate Regionally restricted euxassay_001572_20

Specimen euxassay_001572_21: embryonic day 14.5 (more )
Structure Level Pattern Image Note
TS23: trigeminal ganglion Strong Regionally restricted euxassay_001572_21
TS23: vertebral axis musculature Moderate Regionally restricted euxassay_001572_21
TS23: head mesenchyme Moderate Regionally restricted euxassay_001572_21

Specimen euxassay_001572_22: embryonic day 14.5 (more )
Structure Level Pattern Image Note
TS23: vibrissa Moderate Regionally restricted euxassay_001572_22
TS23: vertebral axis musculature Moderate Regionally restricted euxassay_001572_22
TS23: head mesenchyme Moderate Regionally restricted euxassay_001572_22

Specimen euxassay_001572_23: embryonic day 14.5 (more )
Structure Level Pattern Image Note
TS23: vibrissa Moderate Regionally restricted euxassay_001572_23
TS23: vertebral axis musculature Moderate Regionally restricted euxassay_001572_23
TS23: head mesenchyme Moderate Regionally restricted euxassay_001572_23

Specimen euxassay_001572_24: embryonic day 14.5 (more )
Structure Level Pattern Image Note
TS23: vibrissa Moderate Regionally restricted euxassay_001572_24
TS23: vertebral axis musculature Moderate Regionally restricted euxassay_001572_24


Contributing Projects:
Mouse Genome Database (MGD), Gene Expression Database (GXD), Mouse Models of Human Cancer database (MMHCdb) (formerly Mouse Tumor Biology (MTB)), Gene Ontology (GO)
Citing These Resources
Funding Information
Warranty Disclaimer, Privacy Notice, Licensing, & Copyright
Send questions and comments to User Support.
last database update
01/06/2026
MGI 6.24
The Jackson Laboratory