About   Help   FAQ
Gene Expression Data
Assay Details
Assay
Reference: J:153498 Diez-Roux G, et al., A high-resolution anatomical atlas of the transcriptome in the mouse embryo. PLoS Biol. 2011;9(1):e1000582
Assay type: RNA in situ
MGI Accession ID: MGI:4822677
Gene symbol: Noa1
Gene name: nitric oxide associated 1
Probe: IMAGE clone 2655870
Probe preparation: Antisense labelled with digoxigenin RNA
Visualized with: Alkaline phosphatase
Assay notes: Cryosections of fresh frozen material were fixed in 4% paraformaldehyde for 20 min. before further processing. A tyramide-biotin/streptavidin amplification step was included in the in situ hybridization procedure.
Results
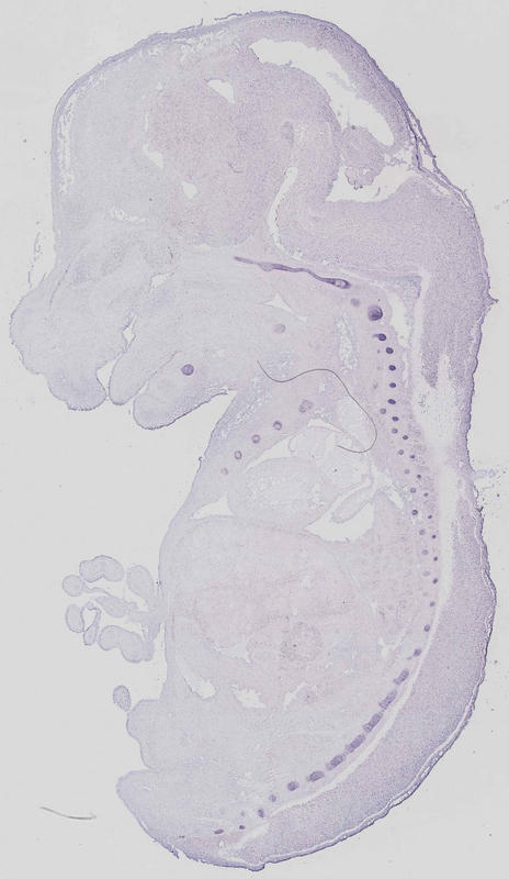
Specimen euxassay_012087_01: embryonic day 14.5 (more )
Structure Level Pattern Image Note
TS23: humerus Moderate Regionally restricted euxassay_012087_01
TS23: tibia Moderate Regionally restricted euxassay_012087_01
TS23: fibula Moderate Regionally restricted euxassay_012087_01
TS23: orbito-sphenoid Moderate Regionally restricted euxassay_012087_01
TS23: temporal bone Moderate Regionally restricted euxassay_012087_01
TS23: exoccipital bone Moderate Regionally restricted euxassay_012087_01
TS23: rib Moderate Regionally restricted euxassay_012087_01

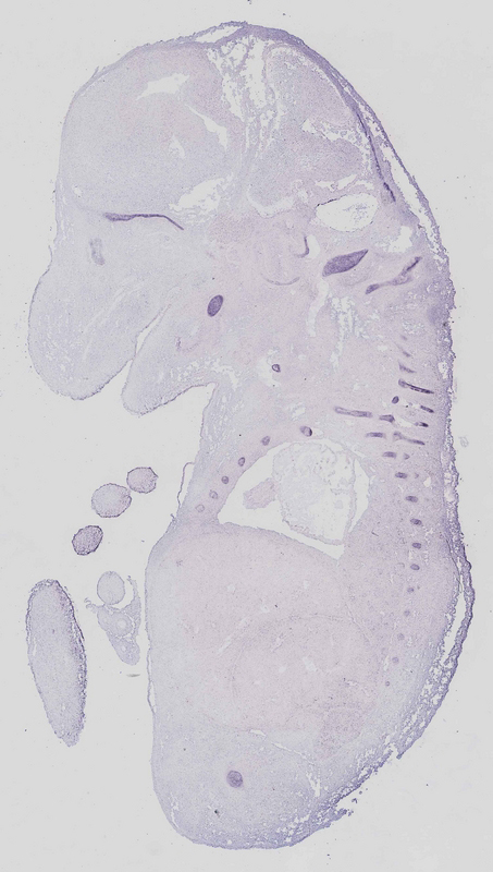
Specimen euxassay_012087_02: embryonic day 14.5 (more )
Structure Level Pattern Image Note
TS23: humerus Moderate Regionally restricted euxassay_012087_02
TS23: tibia Moderate Regionally restricted euxassay_012087_02
TS23: fibula Moderate Regionally restricted euxassay_012087_02
TS23: femur Weak Regionally restricted euxassay_012087_02
TS23: orbito-sphenoid Moderate Regionally restricted euxassay_012087_02
TS23: temporal bone Moderate Regionally restricted euxassay_012087_02
TS23: exoccipital bone Moderate Regionally restricted euxassay_012087_02
TS23: rib Moderate Regionally restricted euxassay_012087_02

Specimen euxassay_012087_03: embryonic day 14.5 (more )
Structure Level Pattern Image Note
TS23: humerus Moderate Regionally restricted euxassay_012087_03
TS23: tibia Weak Regionally restricted euxassay_012087_03
TS23: femur Moderate Regionally restricted euxassay_012087_03
TS23: temporal bone Moderate Regionally restricted euxassay_012087_03
TS23: exoccipital bone Moderate Regionally restricted euxassay_012087_03
TS23: rib Weak Regionally restricted euxassay_012087_03
TS23: Meckel's cartilage Weak Regionally restricted euxassay_012087_03

Specimen euxassay_012087_04: embryonic day 14.5 (more )
Structure Level Pattern Image Note
TS23: humerus Weak Regionally restricted euxassay_012087_04
TS23: scapula Weak Regionally restricted euxassay_012087_04
TS23: femur Moderate Regionally restricted euxassay_012087_04
TS23: exoccipital bone Weak Regionally restricted euxassay_012087_04
TS23: temporal bone Weak Regionally restricted euxassay_012087_04
TS23: Meckel's cartilage Weak Regionally restricted euxassay_012087_04

Specimen euxassay_012087_05: embryonic day 14.5 (more )
Structure Level Pattern Image Note
TS23: humerus Moderate Regionally restricted euxassay_012087_05
TS23: scapula Strong Regionally restricted euxassay_012087_05
TS23: femur Moderate Regionally restricted euxassay_012087_05
TS23: orbito-sphenoid Strong Regionally restricted euxassay_012087_05
TS23: temporal bone Strong Regionally restricted euxassay_012087_05
TS23: exoccipital bone Strong Regionally restricted euxassay_012087_05
TS23: rib Weak Regionally restricted euxassay_012087_05
TS23: Meckel's cartilage Strong Regionally restricted euxassay_012087_05

Specimen euxassay_012087_06: embryonic day 14.5 (more )
Structure Level Pattern Image Note
TS23: femur Strong Regionally restricted euxassay_012087_06
TS23: turbinate bone primordium Strong Regionally restricted euxassay_012087_06
TS23: orbito-sphenoid Strong Regionally restricted euxassay_012087_06
TS23: temporal bone Strong Regionally restricted euxassay_012087_06
TS23: exoccipital bone Strong Regionally restricted euxassay_012087_06
TS23: rib Moderate Regionally restricted euxassay_012087_06
TS23: Meckel's cartilage Strong Regionally restricted euxassay_012087_06
TS23: clavicle Moderate Regionally restricted euxassay_012087_06
TS23: otic capsule Weak Regionally restricted euxassay_012087_06

Specimen euxassay_012087_07: embryonic day 14.5 (more )
Structure Level Pattern Image Note
TS23: femur Strong Regionally restricted euxassay_012087_07
TS23: exoccipital bone Moderate Regionally restricted euxassay_012087_07
TS23: orbito-sphenoid Moderate Regionally restricted euxassay_012087_07
TS23: turbinate bone primordium Moderate Regionally restricted euxassay_012087_07
TS23: rib Moderate Regionally restricted euxassay_012087_07
TS23: Meckel's cartilage Strong Regionally restricted euxassay_012087_07
TS23: clavicle Moderate Regionally restricted euxassay_012087_07
TS23: otic capsule Weak Regionally restricted euxassay_012087_07

Specimen euxassay_012087_08: embryonic day 14.5 (more )
Structure Level Pattern Image Note
TS23: basioccipital bone Moderate Regionally restricted euxassay_012087_08
TS23: turbinate bone primordium Moderate Regionally restricted euxassay_012087_08
TS23: rib Weak Regionally restricted euxassay_012087_08
TS23: Meckel's cartilage Strong Regionally restricted euxassay_012087_08
TS23: otic capsule Weak Regionally restricted euxassay_012087_08

Specimen euxassay_012087_09: embryonic day 14.5 (more )
Structure Level Pattern Image Note
TS23: pelvic girdle skeleton Strong Regionally restricted euxassay_012087_09
TS23: basioccipital bone Strong Regionally restricted euxassay_012087_09
TS23: turbinate bone primordium Moderate Regionally restricted euxassay_012087_09
TS23: rib Strong Regionally restricted euxassay_012087_09
TS23: axial skeleton Strong Regionally restricted euxassay_012087_09
TS23: Meckel's cartilage Strong Regionally restricted euxassay_012087_09
TS23: otic capsule Weak Regionally restricted euxassay_012087_09

Specimen euxassay_012087_10: embryonic day 14.5 (more )
Structure Level Pattern Image Note
TS23: pelvic girdle skeleton Strong Regionally restricted euxassay_012087_10
TS23: basisphenoid bone Moderate Regionally restricted euxassay_012087_10
TS23: basioccipital bone Moderate Regionally restricted euxassay_012087_10
TS23: rib Moderate Regionally restricted euxassay_012087_10
TS23: axial skeleton Moderate Regionally restricted euxassay_012087_10
TS23: Meckel's cartilage Moderate Regionally restricted euxassay_012087_10

Specimen euxassay_012087_11: embryonic day 14.5 (more )
Structure Level Pattern Image Note
TS23: basisphenoid bone Moderate Regionally restricted euxassay_012087_11
TS23: basioccipital bone Moderate Regionally restricted euxassay_012087_11
TS23: axial skeleton Moderate Regionally restricted euxassay_012087_11
TS23: rib Moderate Regionally restricted euxassay_012087_11
TS23: Meckel's cartilage Moderate Regionally restricted euxassay_012087_11

Specimen euxassay_012087_12: embryonic day 14.5 (more )
Structure Level Pattern Image Note
TS23: basioccipital bone Moderate Regionally restricted euxassay_012087_12
TS23: basisphenoid bone Moderate Regionally restricted euxassay_012087_12
TS23: axial skeleton Moderate Regionally restricted euxassay_012087_12

Specimen euxassay_012087_13: embryonic day 14.5 (more )
Structure Level Pattern Image Note
TS23: basioccipital bone Strong Regionally restricted euxassay_012087_13
TS23: basisphenoid bone Strong Regionally restricted euxassay_012087_13
TS23: axial skeleton Strong Regionally restricted euxassay_012087_13
TS23: Meckel's cartilage Moderate Regionally restricted euxassay_012087_13

Specimen euxassay_012087_14: embryonic day 14.5 (more )
Structure Level Pattern Image Note
TS23: basisphenoid bone Strong Regionally restricted euxassay_012087_14
TS23: basioccipital bone Strong Regionally restricted euxassay_012087_14
TS23: axial skeleton Strong Regionally restricted euxassay_012087_14

Specimen euxassay_012087_15: embryonic day 14.5 (more )
Structure Level Pattern Image Note
TS23: basioccipital bone Strong Regionally restricted euxassay_012087_15
TS23: axial skeleton Strong Regionally restricted euxassay_012087_15
TS23: Meckel's cartilage Moderate Regionally restricted euxassay_012087_15

Specimen euxassay_012087_16: embryonic day 14.5 (more )
Structure Level Pattern Image Note
TS23: pelvic girdle skeleton Strong Regionally restricted euxassay_012087_16
TS23: basioccipital bone Strong Regionally restricted euxassay_012087_16
TS23: axial skeleton Strong Regionally restricted euxassay_012087_16
TS23: Meckel's cartilage Moderate Regionally restricted euxassay_012087_16
TS23: otic capsule Weak Regionally restricted euxassay_012087_16

Specimen euxassay_012087_17: embryonic day 14.5 (more )
Structure Level Pattern Image Note
TS23: pelvic girdle skeleton Moderate Regionally restricted euxassay_012087_17
TS23: turbinate bone primordium Weak Regionally restricted euxassay_012087_17
TS23: axial skeleton Strong Regionally restricted euxassay_012087_17
TS23: rib Strong Regionally restricted euxassay_012087_17
TS23: Meckel's cartilage Strong Regionally restricted euxassay_012087_17
TS23: otic capsule Weak Regionally restricted euxassay_012087_17

Specimen euxassay_012087_18: embryonic day 14.5 (more )
Structure Level Pattern Image Note
TS23: turbinate bone primordium Strong Regionally restricted euxassay_012087_18
TS23: orbito-sphenoid Strong Regionally restricted euxassay_012087_18
TS23: basioccipital bone Strong Regionally restricted euxassay_012087_18
TS23: axial skeleton Strong Regionally restricted euxassay_012087_18
TS23: rib Strong Regionally restricted euxassay_012087_18
TS23: Meckel's cartilage Strong Regionally restricted euxassay_012087_18
TS23: otic capsule Weak Regionally restricted euxassay_012087_18

Specimen euxassay_012087_19: embryonic day 14.5 (more )
Structure Level Pattern Image Note
TS23: femur Moderate Regionally restricted euxassay_012087_19
TS23: orbito-sphenoid Moderate Regionally restricted euxassay_012087_19
TS23: exoccipital bone Moderate Regionally restricted euxassay_012087_19
TS23: axial skeleton Moderate Regionally restricted euxassay_012087_19
TS23: rib Moderate Regionally restricted euxassay_012087_19
TS23: Meckel's cartilage Strong Regionally restricted euxassay_012087_19

Specimen euxassay_012087_20: embryonic day 14.5 (more )
Structure Level Pattern Image Note
TS23: femur Moderate Regionally restricted euxassay_012087_20
TS23: temporal bone Moderate Regionally restricted euxassay_012087_20
TS23: exoccipital bone Moderate Regionally restricted euxassay_012087_20
TS23: rib Weak Regionally restricted euxassay_012087_20
TS23: Meckel's cartilage Moderate Regionally restricted euxassay_012087_20

Specimen euxassay_012087_21: embryonic day 14.5 (more )
Structure Level Pattern Image Note
TS23: femur Strong Regionally restricted euxassay_012087_21
TS23: temporal bone Strong Regionally restricted euxassay_012087_21
TS23: exoccipital bone Strong Regionally restricted euxassay_012087_21
TS23: rib Moderate Regionally restricted euxassay_012087_21
TS23: Meckel's cartilage Strong Regionally restricted euxassay_012087_21
TS23: clavicle Moderate Regionally restricted euxassay_012087_21

Specimen euxassay_012087_22: embryonic day 14.5 (more )
Structure Level Pattern Image Note
TS23: humerus Strong Regionally restricted euxassay_012087_22
TS23: scapula Strong Regionally restricted euxassay_012087_22
TS23: femur Strong Regionally restricted euxassay_012087_22
TS23: exoccipital bone Moderate Regionally restricted euxassay_012087_22
TS23: temporal bone Moderate Regionally restricted euxassay_012087_22
TS23: rib Moderate Regionally restricted euxassay_012087_22
TS23: Meckel's cartilage Strong Regionally restricted euxassay_012087_22

Specimen euxassay_012087_23: embryonic day 14.5 (more )
Structure Level Pattern Image Note
TS23: humerus Strong Regionally restricted euxassay_012087_23
TS23: scapula Strong Regionally restricted euxassay_012087_23
TS23: femur Strong Regionally restricted euxassay_012087_23
TS23: temporal bone Moderate Regionally restricted euxassay_012087_23
TS23: orbito-sphenoid Moderate Regionally restricted euxassay_012087_23
TS23: vault of skull Moderate Regionally restricted euxassay_012087_23
TS23: rib Moderate Regionally restricted euxassay_012087_23

Specimen euxassay_012087_24: embryonic day 14.5 (more )
Structure Level Pattern Image Note
TS23: humerus Strong Regionally restricted euxassay_012087_24
TS23: scapula Moderate Regionally restricted euxassay_012087_24
TS23: femur Moderate Regionally restricted euxassay_012087_24
TS23: orbito-sphenoid Moderate Regionally restricted euxassay_012087_24
TS23: temporal bone Moderate Regionally restricted euxassay_012087_24
TS23: vault of skull Moderate Regionally restricted euxassay_012087_24
TS23: rib Weak Regionally restricted euxassay_012087_24


Contributing Projects:
Mouse Genome Database (MGD), Gene Expression Database (GXD), Mouse Models of Human Cancer database (MMHCdb) (formerly Mouse Tumor Biology (MTB)), Gene Ontology (GO)
Citing These Resources
Funding Information
Warranty Disclaimer, Privacy Notice, Licensing, & Copyright
Send questions and comments to User Support.
last database update
03/24/2026
MGI 6.24
The Jackson Laboratory