About   Help   FAQ
Gene Expression Data
Assay Details
Assay
Reference: J:153498 Diez-Roux G, et al., A high-resolution anatomical atlas of the transcriptome in the mouse embryo. PLoS Biol. 2011;9(1):e1000582
Assay type: RNA in situ
MGI Accession ID: MGI:4822675
Gene symbol: Aunip
Gene name: aurora kinase A and ninein interacting protein
Probe: T37314
Probe preparation: Antisense labelled with digoxigenin RNA
Visualized with: Alkaline phosphatase
Assay notes: Cryosections of fresh frozen material were fixed in 4% paraformaldehyde for 20 min. before further processing. A tyramide-biotin/streptavidin amplification step was included in the in situ hybridization procedure.
Results
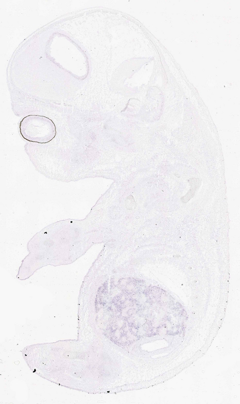
Specimen euxassay_011064_01: embryonic day 14.5 (more )
Structure Level Pattern Image Note
TS23: telencephalon ventricular layer Weak Uniform euxassay_011064_01

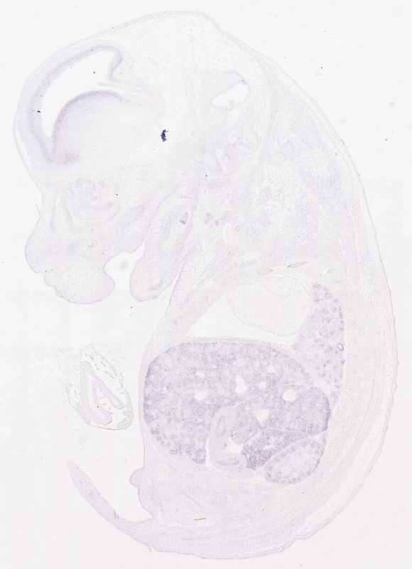
Specimen euxassay_011064_02: embryonic day 14.5 (more )
Structure Level Pattern Image Note
TS23: liver lobe Moderate Regionally restricted euxassay_011064_02
TS23: telencephalon ventricular layer Weak Uniform euxassay_011064_02

Specimen euxassay_011064_03: embryonic day 14.5 (more )
Structure Level Pattern Image Note
TS23: liver lobe Moderate Regionally restricted euxassay_011064_03
TS23: telencephalon ventricular layer Weak Uniform euxassay_011064_03

Specimen euxassay_011064_04: embryonic day 14.5 (more )
Structure Level Pattern Image Note
TS23: liver lobe Weak Regionally restricted euxassay_011064_04
TS23: telencephalon ventricular layer Weak Uniform euxassay_011064_04

Specimen euxassay_011064_05: embryonic day 14.5 (more )
Structure Level Pattern Image Note
TS23: liver lobe Weak Regionally restricted euxassay_011064_05
TS23: telencephalon ventricular layer Weak Uniform euxassay_011064_05

Specimen euxassay_011064_06: embryonic day 14.5 (more )
Structure Level Pattern Image Note
TS23: liver lobe Weak Regionally restricted euxassay_011064_06
TS23: telencephalon ventricular layer Weak Uniform euxassay_011064_06

Specimen euxassay_011064_07: embryonic day 14.5 (more )
Structure Level Pattern Image Note
TS23: liver lobe Weak Regionally restricted euxassay_011064_07
TS23: telencephalon ventricular layer Weak Uniform euxassay_011064_07
TS23: midbrain ventricular layer Weak Regionally restricted euxassay_011064_07

Specimen euxassay_011064_08: embryonic day 14.5 (more )
Structure Level Pattern Image Note
TS23: liver lobe Weak Regionally restricted euxassay_011064_08
TS23: telencephalon ventricular layer Weak Uniform euxassay_011064_08
TS23: midbrain ventricular layer Weak Regionally restricted euxassay_011064_08

Specimen euxassay_011064_09: embryonic day 14.5 (more )
Structure Level Pattern Image Note
TS23: liver lobe Weak Regionally restricted euxassay_011064_09
TS23: telencephalon ventricular layer Weak Uniform euxassay_011064_09
TS23: midbrain ventricular layer Weak Regionally restricted euxassay_011064_09

Specimen euxassay_011064_10: embryonic day 14.5 (more )
Structure Level Pattern Image Note
TS23: liver lobe Weak Regionally restricted euxassay_011064_10
TS23: telencephalon ventricular layer Weak Uniform euxassay_011064_10

Specimen euxassay_011064_11: embryonic day 14.5 (more )
Structure Level Pattern Image Note
TS23: liver lobe Weak Regionally restricted euxassay_011064_11
TS23: olfactory cortex ventricular layer Weak Uniform euxassay_011064_11
TS23: telencephalon ventricular layer Weak Uniform euxassay_011064_11
TS23: midbrain ventricular layer Weak Regionally restricted euxassay_011064_11

Specimen euxassay_011064_12: embryonic day 14.5 (more )
Structure Level Pattern Image Note
TS23: liver lobe Weak Regionally restricted euxassay_011064_12
TS23: olfactory cortex ventricular layer Weak Uniform euxassay_011064_12
TS23: telencephalon ventricular layer Weak Uniform euxassay_011064_12
TS23: midbrain ventricular layer Weak Regionally restricted euxassay_011064_12

Specimen euxassay_011064_13: embryonic day 14.5 (more )
Structure Level Pattern Image Note
TS23: liver lobe Weak Regionally restricted euxassay_011064_13
TS23: olfactory cortex ventricular layer Weak Uniform euxassay_011064_13
TS23: telencephalon ventricular layer Weak Uniform euxassay_011064_13
TS23: midbrain ventricular layer Weak Regionally restricted euxassay_011064_13

Specimen euxassay_011064_14: embryonic day 14.5 (more )
Structure Level Pattern Image Note
TS23: liver lobe Weak Regionally restricted euxassay_011064_14
TS23: midbrain ventricular layer Weak Regionally restricted euxassay_011064_14

Specimen euxassay_011064_15: embryonic day 14.5 (more )
Structure Level Pattern Image Note
TS23: liver lobe Weak Regionally restricted euxassay_011064_15
TS23: telencephalon ventricular layer Weak Uniform euxassay_011064_15
TS23: midbrain ventricular layer Weak Regionally restricted euxassay_011064_15

Specimen euxassay_011064_16: embryonic day 14.5 (more )
Structure Level Pattern Image Note
TS23: liver lobe Weak Regionally restricted euxassay_011064_16
TS23: telencephalon ventricular layer Weak Uniform euxassay_011064_16

Specimen euxassay_011064_17: embryonic day 14.5 (more )
Structure Level Pattern Image Note
TS23: liver lobe Weak Regionally restricted euxassay_011064_17
TS23: olfactory cortex ventricular layer Weak Uniform euxassay_011064_17
TS23: telencephalon ventricular layer Weak Uniform euxassay_011064_17

Specimen euxassay_011064_18: embryonic day 14.5 (more )
Structure Level Pattern Image Note
TS23: liver lobe Weak Regionally restricted euxassay_011064_18
TS23: telencephalon ventricular layer Weak Uniform euxassay_011064_18
TS23: olfactory cortex ventricular layer Weak Uniform euxassay_011064_18

Specimen euxassay_011064_19: embryonic day 14.5 (more )
Structure Level Pattern Image Note
TS23: liver lobe Weak Regionally restricted euxassay_011064_19
TS23: telencephalon ventricular layer Weak Uniform euxassay_011064_19

Specimen euxassay_011064_20: embryonic day 14.5 (more )
Structure Level Pattern Image Note
TS23: liver lobe Weak Regionally restricted euxassay_011064_20
TS23: telencephalon ventricular layer Weak Uniform euxassay_011064_20

Specimen euxassay_011064_21: embryonic day 14.5 (more )
Structure Level Pattern Image Note
TS23: liver lobe Weak Regionally restricted euxassay_011064_21
TS23: telencephalon ventricular layer Weak Uniform euxassay_011064_21

Specimen euxassay_011064_22: embryonic day 14.5 (more )
Structure Level Pattern Image Note
TS23: liver lobe Weak Regionally restricted euxassay_011064_22
TS23: telencephalon ventricular layer Weak Uniform euxassay_011064_22

Specimen euxassay_011064_23: embryonic day 14.5 (more )
Structure Level Pattern Image Note
TS23: liver lobe Weak Regionally restricted euxassay_011064_23

Specimen euxassay_011064_24: embryonic day 14.5 (more )
Structure Level Pattern Image Note
TS23: liver lobe Weak Regionally restricted euxassay_011064_24


Contributing Projects:
Mouse Genome Database (MGD), Gene Expression Database (GXD), Mouse Models of Human Cancer database (MMHCdb) (formerly Mouse Tumor Biology (MTB)), Gene Ontology (GO)
Citing These Resources
Funding Information
Warranty Disclaimer, Privacy Notice, Licensing, & Copyright
Send questions and comments to User Support.
last database update
12/30/2025
MGI 6.24
The Jackson Laboratory