About   Help   FAQ
Gene Expression Data
Assay Details
Assay
Reference: J:153498 Diez-Roux G, et al., A high-resolution anatomical atlas of the transcriptome in the mouse embryo. PLoS Biol. 2011;9(1):e1000582
Assay type: RNA in situ
MGI Accession ID: MGI:4822665
Gene symbol: Relch
Gene name: RAB11 binding and LisH domain, coiled-coil and HEAT repeat containing
Probe: IMAGE clone 721933
Probe preparation: Antisense labelled with digoxigenin RNA
Visualized with: Alkaline phosphatase
Assay notes: Cryosections of fresh frozen material were fixed in 4% paraformaldehyde for 20 min. before further processing. A tyramide-biotin/streptavidin amplification step was included in the in situ hybridization procedure.
Results
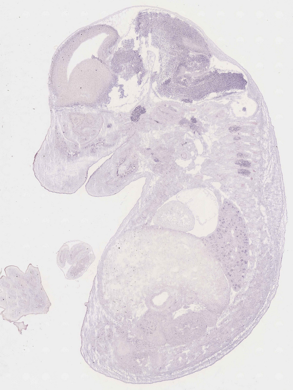
Specimen euxassay_002376_01: embryonic day 14.5 (more )
Structure Level Pattern Image Note
TS23: brain Weak Uniform euxassay_002376_01

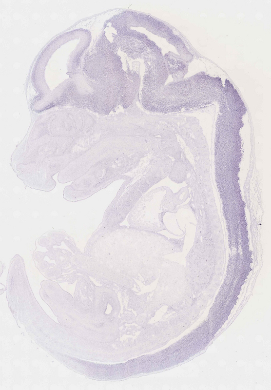
Specimen euxassay_002376_02: embryonic day 14.5 (more )
Structure Level Pattern Image Note
TS23: brain Weak Uniform euxassay_002376_02

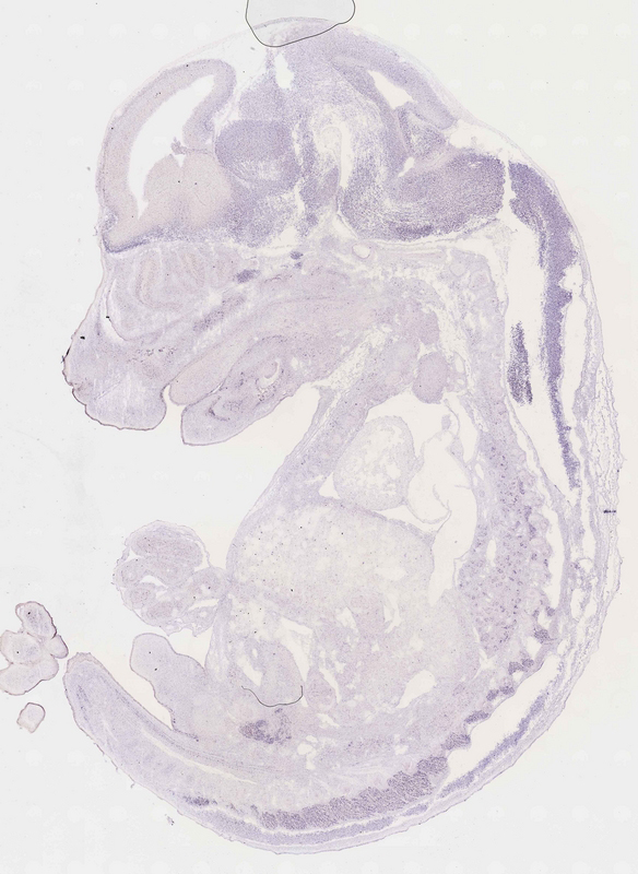
Specimen euxassay_002376_03: embryonic day 14.5 (more )
Structure Level Pattern Image Note
TS23: brain Weak Uniform euxassay_002376_03

Specimen euxassay_002376_04: embryonic day 14.5 (more )
Structure Level Pattern Image Note
TS23: brain Weak Uniform euxassay_002376_04
TS23: trigeminal ganglion Moderate Regionally restricted euxassay_002376_04

Specimen euxassay_002376_05: embryonic day 14.5 (more )
Structure Level Pattern Image Note
TS23: brain Weak Uniform euxassay_002376_05
TS23: trigeminal ganglion Moderate Regionally restricted euxassay_002376_05

Specimen euxassay_002376_06: embryonic day 14.5 (more )
Structure Level Pattern Image Note
TS23: brain Weak Uniform euxassay_002376_06
TS23: trigeminal ganglion Moderate Regionally restricted euxassay_002376_06

Specimen euxassay_002376_07: embryonic day 14.5 (more )
Structure Level Pattern Image Note
TS23: brain Weak Uniform euxassay_002376_07
TS23: vestibulo-cochlear ganglion Moderate Regionally restricted euxassay_002376_07
TS23: trigeminal ganglion Moderate Regionally restricted euxassay_002376_07
TS23: glossopharyngeal ganglion Moderate Regionally restricted euxassay_002376_07

Specimen euxassay_002376_08: embryonic day 14.5 (more )
Structure Level Pattern Image Note
TS23: brain Moderate Uniform euxassay_002376_08
TS23: trigeminal ganglion Moderate Regionally restricted euxassay_002376_08
TS23: glossopharyngeal ganglion Moderate Regionally restricted euxassay_002376_08
TS23: vestibulo-cochlear ganglion Moderate Regionally restricted euxassay_002376_08
TS23: dorsal root ganglion Moderate Regionally restricted euxassay_002376_08

Specimen euxassay_002376_09: embryonic day 14.5 (more )
Structure Level Pattern Image Note
TS23: brain Moderate Uniform euxassay_002376_09
TS23: trigeminal ganglion Moderate Regionally restricted euxassay_002376_09
TS23: glossopharyngeal ganglion Moderate Regionally restricted euxassay_002376_09
TS23: dorsal root ganglion Moderate Regionally restricted euxassay_002376_09

Specimen euxassay_002376_10: embryonic day 14.5 (more )
Structure Level Pattern Image Note
TS23: brain Moderate Uniform euxassay_002376_10
TS23: trigeminal ganglion Moderate Regionally restricted euxassay_002376_10
TS23: dorsal root ganglion Moderate Regionally restricted euxassay_002376_10
TS23: cervico-thoracic ganglion Weak Regionally restricted euxassay_002376_10
TS23: cervical ganglion Weak Regionally restricted euxassay_002376_10

Specimen euxassay_002376_11: embryonic day 14.5 (more )
Structure Level Pattern Image Note
TS23: brain Moderate Uniform euxassay_002376_11
TS23: spinal cord Moderate Uniform euxassay_002376_11
TS23: dorsal root ganglion Moderate Regionally restricted euxassay_002376_11
TS23: cervico-thoracic ganglion Weak Regionally restricted euxassay_002376_11

Specimen euxassay_002376_12: embryonic day 14.5 (more )
Structure Level Pattern Image Note
TS23: brain Moderate Uniform euxassay_002376_12
TS23: spinal cord Moderate Uniform euxassay_002376_12
TS23: dorsal root ganglion Moderate Regionally restricted euxassay_002376_12

Specimen euxassay_002376_13: embryonic day 14.5 (more )
Structure Level Pattern Image Note
TS23: brain Moderate Uniform euxassay_002376_13
TS23: spinal cord Moderate Uniform euxassay_002376_13

Specimen euxassay_002376_14: embryonic day 14.5 (more )
Structure Level Pattern Image Note
TS23: brain Moderate Uniform euxassay_002376_14
TS23: spinal cord Moderate Uniform euxassay_002376_14
TS23: thoracic ganglion Weak Regionally restricted euxassay_002376_14

Specimen euxassay_002376_15: embryonic day 14.5 (more )
Structure Level Pattern Image Note
TS23: brain Moderate Uniform euxassay_002376_15
TS23: spinal cord Moderate Uniform euxassay_002376_15
TS23: thoracic ganglion Weak Regionally restricted euxassay_002376_15

Specimen euxassay_002376_16: embryonic day 14.5 (more )
Structure Level Pattern Image Note
TS23: brain Moderate Uniform euxassay_002376_16
TS23: spinal cord Moderate Uniform euxassay_002376_16

Specimen euxassay_002376_17: embryonic day 14.5 (more )
Structure Level Pattern Image Note
TS23: brain Moderate Uniform euxassay_002376_17
TS23: spinal cord Moderate Uniform euxassay_002376_17
TS23: dorsal root ganglion Moderate Regionally restricted euxassay_002376_17

Specimen euxassay_002376_18: embryonic day 14.5 (more )
Structure Level Pattern Image Note
TS23: brain Moderate Uniform euxassay_002376_18
TS23: trigeminal ganglion Moderate Regionally restricted euxassay_002376_18
TS23: dorsal root ganglion Moderate Regionally restricted euxassay_002376_18
TS23: cervical ganglion Weak Regionally restricted euxassay_002376_18
TS23: cervico-thoracic ganglion Weak Regionally restricted euxassay_002376_18

Specimen euxassay_002376_19: embryonic day 14.5 (more )
Structure Level Pattern Image Note
TS23: brain Moderate Uniform euxassay_002376_19
TS23: glossopharyngeal ganglion Moderate Regionally restricted euxassay_002376_19
TS23: trigeminal ganglion Moderate Regionally restricted euxassay_002376_19
TS23: dorsal root ganglion Moderate Regionally restricted euxassay_002376_19

Specimen euxassay_002376_20: embryonic day 14.5 (more )
Structure Level Pattern Image Note
TS23: brain Moderate Uniform euxassay_002376_20
TS23: glossopharyngeal ganglion Moderate Regionally restricted euxassay_002376_20
TS23: trigeminal ganglion Moderate Regionally restricted euxassay_002376_20
TS23: vestibulo-cochlear ganglion Moderate Regionally restricted euxassay_002376_20
TS23: dorsal root ganglion Moderate Regionally restricted euxassay_002376_20

Specimen euxassay_002376_21: embryonic day 14.5 (more )
Structure Level Pattern Image Note
TS23: brain Moderate Uniform euxassay_002376_21
TS23: trigeminal ganglion Moderate Regionally restricted euxassay_002376_21
TS23: glossopharyngeal ganglion Moderate Regionally restricted euxassay_002376_21

Specimen euxassay_002376_22: embryonic day 14.5 (more )
Structure Level Pattern Image Note
TS23: brain Moderate Uniform euxassay_002376_22
TS23: trigeminal ganglion Moderate Regionally restricted euxassay_002376_22

Specimen euxassay_002376_23: embryonic day 14.5 (more )
Structure Level Pattern Image Note
TS23: brain Moderate Uniform euxassay_002376_23
TS23: trigeminal ganglion Moderate Regionally restricted euxassay_002376_23

Specimen euxassay_002376_24: embryonic day 14.5 (more )
Structure Level Pattern Image Note
TS23: brain Moderate Uniform euxassay_002376_24

Specimen euxassay_002376_25: embryonic day 14.5 (more )
Structure Level Pattern Image Note
TS23: brain Moderate Uniform euxassay_002376_25

Specimen euxassay_002376_26: embryonic day 14.5 (more )
Structure Level Pattern Image Note
TS23: brain Moderate Uniform euxassay_002376_26

Specimen euxassay_002376_27: embryonic day 14.5 (more )
Structure Level Pattern Image Note
TS23: brain Moderate Uniform euxassay_002376_27


Contributing Projects:
Mouse Genome Database (MGD), Gene Expression Database (GXD), Mouse Models of Human Cancer database (MMHCdb) (formerly Mouse Tumor Biology (MTB)), Gene Ontology (GO)
Citing These Resources
Funding Information
Warranty Disclaimer, Privacy Notice, Licensing, & Copyright
Send questions and comments to User Support.
last database update
03/24/2026
MGI 6.24
The Jackson Laboratory