About   Help   FAQ
Gene Expression Data
Assay Details
Assay
Reference: J:153498 Diez-Roux G, et al., A high-resolution anatomical atlas of the transcriptome in the mouse embryo. PLoS Biol. 2011;9(1):e1000582
Assay type: RNA in situ
MGI Accession ID: MGI:4822642
Gene symbol: 1810055G02Rik
Gene name: RIKEN cDNA 1810055G02 gene
Probe: IMAGE clone 1890250
Probe preparation: Antisense labelled with digoxigenin RNA
Visualized with: Alkaline phosphatase
Assay notes: Cryosections of fresh frozen material were fixed in 4% paraformaldehyde for 20 min. before further processing. A tyramide-biotin/streptavidin amplification step was included in the in situ hybridization procedure.
Results
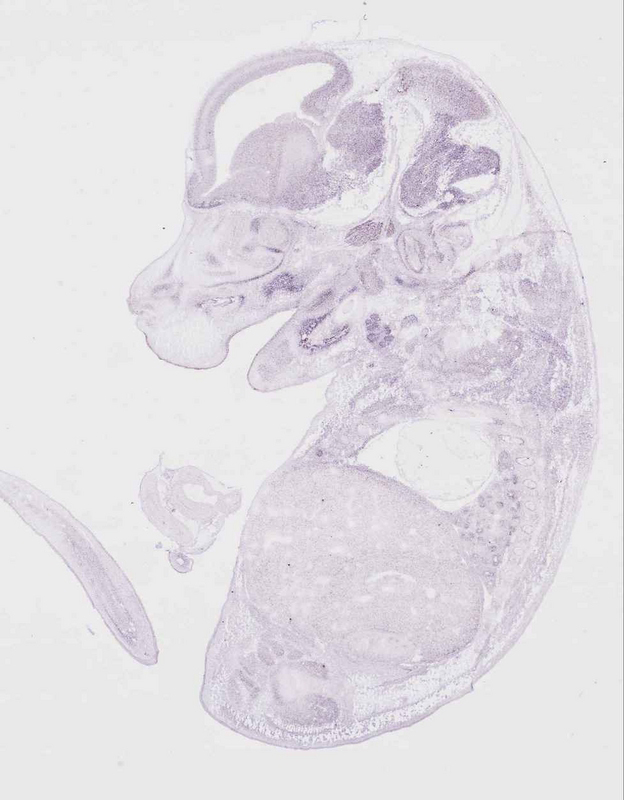
Specimen euxassay_001949_01: embryonic day 14.5 (more )
Structure Level Pattern Image Note
TS23: brain Moderate Uniform euxassay_001949_01

Specimen euxassay_001949_02: embryonic day 14.5 (more )
Structure Level Pattern Image Note
TS23: orbito-sphenoid Moderate Regionally restricted euxassay_001949_02
TS23: brain Moderate Uniform euxassay_001949_02

Specimen euxassay_001949_03: embryonic day 14.5 (more )
Structure Level Pattern Image Note
TS23: trigeminal ganglion Strong Regionally restricted euxassay_001949_03
TS23: orbito-sphenoid Moderate Regionally restricted euxassay_001949_03
TS23: brain Moderate Uniform euxassay_001949_03
TS23: Meckel's cartilage Moderate Regionally restricted euxassay_001949_03

Specimen euxassay_001949_04: embryonic day 14.5 (more )
Structure Level Pattern Image Note
TS23: trigeminal ganglion Strong Regionally restricted euxassay_001949_04
TS23: facial ganglion Strong Regionally restricted euxassay_001949_04
TS23: orbito-sphenoid Moderate Regionally restricted euxassay_001949_04
TS23: brain Moderate Uniform euxassay_001949_04
TS23: Meckel's cartilage Moderate Regionally restricted euxassay_001949_04

Specimen euxassay_001949_05: embryonic day 14.5 (more )
Structure Level Pattern Image Note
TS23: trigeminal ganglion Strong Regionally restricted euxassay_001949_05
TS23: facial ganglion Strong Regionally restricted euxassay_001949_05
TS23: glossopharyngeal ganglion Strong Regionally restricted euxassay_001949_05
TS23: orbito-sphenoid Moderate Regionally restricted euxassay_001949_05
TS23: brain Moderate Uniform euxassay_001949_05
TS23: Meckel's cartilage Moderate Regionally restricted euxassay_001949_05
TS23: head mesenchyme Weak Regionally restricted euxassay_001949_05
TS23: renal cortex Moderate Uniform euxassay_001949_05

Specimen euxassay_001949_06: embryonic day 14.5 (more )
Structure Level Pattern Image Note
TS23: trigeminal ganglion Strong Regionally restricted euxassay_001949_06
TS23: glossopharyngeal ganglion Strong Regionally restricted euxassay_001949_06
TS23: facial ganglion Strong Regionally restricted euxassay_001949_06
TS23: vestibulo-cochlear ganglion Strong Regionally restricted euxassay_001949_06
TS23: orbito-sphenoid Moderate Regionally restricted euxassay_001949_06
TS23: brain Moderate Uniform euxassay_001949_06
TS23: Meckel's cartilage Moderate Regionally restricted euxassay_001949_06
TS23: upper jaw molar Moderate Regionally restricted euxassay_001949_06
TS23: submandibular gland primordium Moderate Regionally restricted euxassay_001949_06
TS23: head mesenchyme Weak Regionally restricted euxassay_001949_06
TS23: renal cortex Moderate Uniform euxassay_001949_06

Specimen euxassay_001949_07: embryonic day 14.5 (more )
Structure Level Pattern Image Note
TS23: trigeminal ganglion Strong Regionally restricted euxassay_001949_07
TS23: brain Moderate Uniform euxassay_001949_07
TS23: spinal cord Moderate Uniform euxassay_001949_07
TS23: upper jaw molar Moderate Regionally restricted euxassay_001949_07
TS23: Meckel's cartilage Moderate Regionally restricted euxassay_001949_07
TS23: lower jaw molar Moderate Regionally restricted euxassay_001949_07
TS23: cervical ganglion Moderate Regionally restricted euxassay_001949_07
TS23: cervico-thoracic ganglion Moderate Regionally restricted euxassay_001949_07
TS23: submandibular gland primordium Strong Regionally restricted euxassay_001949_07
TS23: head mesenchyme Weak Regionally restricted euxassay_001949_07
TS23: vibrissa Weak Regionally restricted euxassay_001949_07
TS23: renal cortex Weak Uniform euxassay_001949_07

Specimen euxassay_001949_08: embryonic day 14.5 (more )
Structure Level Pattern Image Note
TS23: trigeminal ganglion Strong Regionally restricted euxassay_001949_08
TS23: brain Moderate Uniform euxassay_001949_08
TS23: spinal cord Moderate Uniform euxassay_001949_08
TS23: upper jaw molar Moderate Regionally restricted euxassay_001949_08
TS23: Meckel's cartilage Moderate Regionally restricted euxassay_001949_08
TS23: lower jaw molar Moderate Regionally restricted euxassay_001949_08
TS23: thoracic ganglion Moderate Regionally restricted euxassay_001949_08
TS23: submandibular gland primordium Moderate Regionally restricted euxassay_001949_08
TS23: head mesenchyme Weak Regionally restricted euxassay_001949_08
TS23: vibrissa Weak Regionally restricted euxassay_001949_08
TS23: renal cortex Weak Uniform euxassay_001949_08

Specimen euxassay_001949_09: embryonic day 14.5 (more )
Structure Level Pattern Image Note
TS23: brain Moderate Uniform euxassay_001949_09
TS23: spinal cord Moderate Uniform euxassay_001949_09
TS23: Meckel's cartilage Moderate Regionally restricted euxassay_001949_09
TS23: upper jaw molar Moderate Regionally restricted euxassay_001949_09
TS23: thoracic ganglion Moderate Regionally restricted euxassay_001949_09
TS23: head mesenchyme Weak Regionally restricted euxassay_001949_09
TS23: vibrissa Weak Regionally restricted euxassay_001949_09

Specimen euxassay_001949_10: embryonic day 14.5 (more )
Structure Level Pattern Image Note
TS23: brain Moderate Uniform euxassay_001949_10
TS23: spinal cord Moderate Uniform euxassay_001949_10
TS23: lower jaw incisor Moderate Regionally restricted euxassay_001949_10
TS23: upper jaw molar Moderate Regionally restricted euxassay_001949_10
TS23: thoracic ganglion Moderate Regionally restricted euxassay_001949_10
TS23: head mesenchyme Weak Regionally restricted euxassay_001949_10

Specimen euxassay_001949_11: embryonic day 14.5 (more )
Structure Level Pattern Image Note
TS23: brain Moderate Uniform euxassay_001949_11
TS23: spinal cord Moderate Uniform euxassay_001949_11
TS23: lower jaw incisor Moderate Regionally restricted euxassay_001949_11
TS23: thoracic ganglion Moderate Regionally restricted euxassay_001949_11

Specimen euxassay_001949_12: embryonic day 14.5 (more )
Structure Level Pattern Image Note
TS23: brain Moderate Uniform euxassay_001949_12
TS23: spinal cord Moderate Uniform euxassay_001949_12
TS23: lower jaw incisor Moderate Regionally restricted euxassay_001949_12

Specimen euxassay_001949_13: embryonic day 14.5 (more )
Structure Level Pattern Image Note
TS23: brain Moderate Uniform euxassay_001949_13
TS23: spinal cord Moderate Uniform euxassay_001949_13
TS23: lower jaw incisor Moderate Regionally restricted euxassay_001949_13
TS23: upper jaw incisor Moderate Regionally restricted euxassay_001949_13
TS23: cervico-thoracic ganglion Moderate Regionally restricted euxassay_001949_13

Specimen euxassay_001949_14: embryonic day 14.5 (more )
Structure Level Pattern Image Note
TS23: brain Moderate Uniform euxassay_001949_14
TS23: renal cortex Weak Uniform euxassay_001949_14

Specimen euxassay_001949_15: embryonic day 14.5 (more )
Structure Level Pattern Image Note
TS23: brain Moderate Uniform euxassay_001949_15
TS23: Meckel's cartilage Moderate Regionally restricted euxassay_001949_15
TS23: lower jaw incisor Moderate Regionally restricted euxassay_001949_15
TS23: cervical ganglion Moderate Regionally restricted euxassay_001949_15
TS23: submandibular gland primordium Moderate Regionally restricted euxassay_001949_15
TS23: renal cortex Weak Uniform euxassay_001949_15

Specimen euxassay_001949_16: embryonic day 14.5 (more )
Structure Level Pattern Image Note
TS23: glossopharyngeal ganglion Moderate Regionally restricted euxassay_001949_16
TS23: brain Moderate Uniform euxassay_001949_16
TS23: lower jaw incisor Moderate Regionally restricted euxassay_001949_16
TS23: Meckel's cartilage Moderate Regionally restricted euxassay_001949_16
TS23: upper jaw incisor Moderate Regionally restricted euxassay_001949_16
TS23: submandibular gland primordium Moderate Regionally restricted euxassay_001949_16
TS23: renal cortex Weak Uniform euxassay_001949_16

Specimen euxassay_001949_17: embryonic day 14.5 (more )
Structure Level Pattern Image Note
TS23: glossopharyngeal ganglion Moderate Regionally restricted euxassay_001949_17
TS23: facial ganglion Moderate Regionally restricted euxassay_001949_17
TS23: trigeminal ganglion Moderate Regionally restricted euxassay_001949_17
TS23: vestibulo-cochlear ganglion Moderate Regionally restricted euxassay_001949_17
TS23: brain Moderate Uniform euxassay_001949_17
TS23: Meckel's cartilage Moderate Regionally restricted euxassay_001949_17
TS23: upper jaw molar Moderate Regionally restricted euxassay_001949_17
TS23: lower jaw incisor Moderate Regionally restricted euxassay_001949_17
TS23: submandibular gland primordium Strong Regionally restricted euxassay_001949_17
TS23: renal cortex Weak Uniform euxassay_001949_17

Specimen euxassay_001949_18: embryonic day 14.5 (more )
Structure Level Pattern Image Note
TS23: trigeminal ganglion Moderate Regionally restricted euxassay_001949_18
TS23: brain Moderate Uniform euxassay_001949_18
TS23: upper jaw molar Moderate Regionally restricted euxassay_001949_18
TS23: Meckel's cartilage Moderate Regionally restricted euxassay_001949_18
TS23: lower jaw molar Moderate Regionally restricted euxassay_001949_18
TS23: submandibular gland primordium Strong Regionally restricted euxassay_001949_18

Specimen euxassay_001949_19: embryonic day 14.5 (more )
Structure Level Pattern Image Note
TS23: trigeminal ganglion Moderate Regionally restricted euxassay_001949_19
TS23: brain Moderate Uniform euxassay_001949_19
TS23: head mesenchyme Weak Regionally restricted euxassay_001949_19

Specimen euxassay_001949_20: embryonic day 14.5 (more )
Structure Level Pattern Image Note
TS23: trigeminal ganglion Moderate Regionally restricted euxassay_001949_20
TS23: brain Moderate Uniform euxassay_001949_20
TS23: Meckel's cartilage Moderate Regionally restricted euxassay_001949_20
TS23: upper jaw molar Moderate Regionally restricted euxassay_001949_20
TS23: lower jaw molar Moderate Regionally restricted euxassay_001949_20
TS23: head mesenchyme Weak Regionally restricted euxassay_001949_20

Specimen euxassay_001949_21: embryonic day 14.5 (more )
Structure Level Pattern Image Note
TS23: trigeminal ganglion Moderate Regionally restricted euxassay_001949_21
TS23: orbito-sphenoid Moderate Regionally restricted euxassay_001949_21
TS23: brain Moderate Uniform euxassay_001949_21
TS23: Meckel's cartilage Moderate Regionally restricted euxassay_001949_21
TS23: upper jaw molar Moderate Regionally restricted euxassay_001949_21
TS23: head mesenchyme Weak Regionally restricted euxassay_001949_21
TS23: vibrissa Weak Regionally restricted euxassay_001949_21

Specimen euxassay_001949_22: embryonic day 14.5 (more )
Structure Level Pattern Image Note
TS23: orbito-sphenoid Moderate Regionally restricted euxassay_001949_22
TS23: brain Moderate Uniform euxassay_001949_22
TS23: vibrissa Weak Regionally restricted euxassay_001949_22

Specimen euxassay_001949_23: embryonic day 14.5 (more )
Structure Level Pattern Image Note
TS23: basisphenoid bone Moderate Regionally restricted euxassay_001949_23
TS23: basioccipital bone Moderate Regionally restricted euxassay_001949_23
TS23: orbito-sphenoid Moderate Regionally restricted euxassay_001949_23
TS23: brain Moderate Uniform euxassay_001949_23
TS23: head mesenchyme Weak Regionally restricted euxassay_001949_23

Specimen euxassay_001949_24: embryonic day 14.5 (more )
Structure Level Pattern Image Note
TS23: basioccipital bone Moderate Regionally restricted euxassay_001949_24
TS23: orbito-sphenoid Moderate Regionally restricted euxassay_001949_24
TS23: brain Moderate Uniform euxassay_001949_24


Contributing Projects:
Mouse Genome Database (MGD), Gene Expression Database (GXD), Mouse Models of Human Cancer database (MMHCdb) (formerly Mouse Tumor Biology (MTB)), Gene Ontology (GO)
Citing These Resources
Funding Information
Warranty Disclaimer, Privacy Notice, Licensing, & Copyright
Send questions and comments to User Support.
last database update
01/28/2026
MGI 6.24
The Jackson Laboratory