About   Help   FAQ
Gene Expression Data
Assay Details
Assay
Reference: J:153498 Diez-Roux G, et al., A high-resolution anatomical atlas of the transcriptome in the mouse embryo. PLoS Biol. 2011;9(1):e1000582
Assay type: RNA in situ
MGI Accession ID: MGI:4822641
Gene symbol: Mien1
Gene name: migration and invasion enhancer 1
Probe: IMAGE clone 1513041
Probe preparation: Antisense labelled with digoxigenin RNA
Visualized with: Alkaline phosphatase
Assay notes: Cryosections of fresh frozen material were fixed in 4% paraformaldehyde for 20 min. before further processing. A tyramide-biotin/streptavidin amplification step was included in the in situ hybridization procedure.
Results
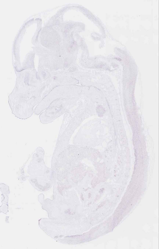
Specimen euxassay_001703_01: embryonic day 14.5 (more )
Structure Level Pattern Image Note
TS23: telencephalon marginal layer Moderate Regionally restricted euxassay_001703_01

Specimen euxassay_001703_02: embryonic day 14.5 (more )
Structure Level Pattern Image Note
TS23: telencephalon marginal layer Moderate Regionally restricted euxassay_001703_02

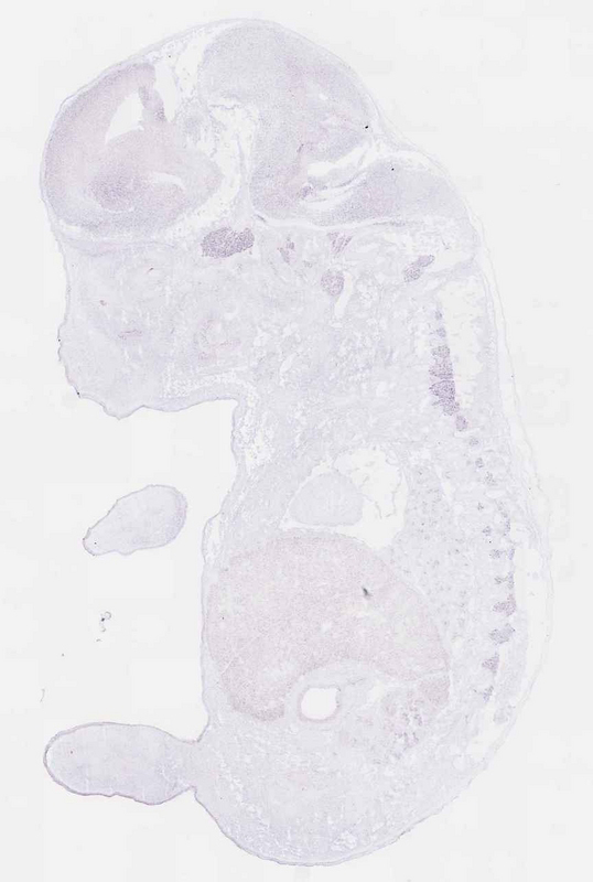
Specimen euxassay_001703_03: embryonic day 14.5 (more )
Structure Level Pattern Image Note
TS23: trigeminal ganglion Moderate Regionally restricted euxassay_001703_03
TS23: facial ganglion Moderate Regionally restricted euxassay_001703_03
TS23: telencephalon marginal layer Moderate Regionally restricted euxassay_001703_03

Specimen euxassay_001703_04: embryonic day 14.5 (more )
Structure Level Pattern Image Note
TS23: trigeminal ganglion Moderate Regionally restricted euxassay_001703_04
TS23: facial ganglion Moderate Regionally restricted euxassay_001703_04
TS23: telencephalon marginal layer Moderate Regionally restricted euxassay_001703_04

Specimen euxassay_001703_05: embryonic day 14.5 (more )
Structure Level Pattern Image Note
TS23: trigeminal ganglion Moderate Regionally restricted euxassay_001703_05
TS23: facial ganglion Moderate Regionally restricted euxassay_001703_05
TS23: telencephalon marginal layer Moderate Regionally restricted euxassay_001703_05

Specimen euxassay_001703_06: embryonic day 14.5 (more )
Structure Level Pattern Image Note
TS23: trigeminal ganglion Moderate Regionally restricted euxassay_001703_06
TS23: glossopharyngeal ganglion Moderate Regionally restricted euxassay_001703_06
TS23: vestibulo-cochlear ganglion Moderate Regionally restricted euxassay_001703_06
TS23: dorsal root ganglion Moderate Regionally restricted euxassay_001703_06
TS23: telencephalon marginal layer Moderate Regionally restricted euxassay_001703_06

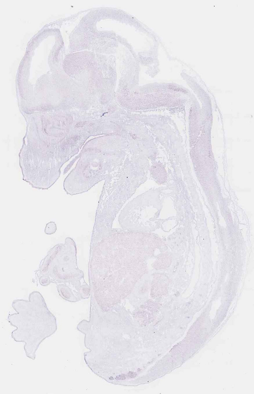
Specimen euxassay_001703_07: embryonic day 14.5 (more )
Structure Level Pattern Image Note
TS23: vagus ganglion Moderate Regionally restricted euxassay_001703_07
TS23: vestibulo-cochlear ganglion Moderate Regionally restricted euxassay_001703_07
TS23: trigeminal ganglion Moderate Regionally restricted euxassay_001703_07
TS23: dorsal root ganglion Moderate Regionally restricted euxassay_001703_07
TS23: pons mantle layer Moderate Regionally restricted euxassay_001703_07
TS23: telencephalon marginal layer Moderate Regionally restricted euxassay_001703_07

Specimen euxassay_001703_08: embryonic day 14.5 (more )
Structure Level Pattern Image Note
TS23: trigeminal ganglion Moderate Regionally restricted euxassay_001703_08
TS23: dorsal root ganglion Moderate Regionally restricted euxassay_001703_08
TS23: ventral grey horn Moderate Regionally restricted euxassay_001703_08
TS23: medulla oblongata basal plate mantle layer Moderate Regionally restricted euxassay_001703_08
TS23: telencephalon marginal layer Moderate Regionally restricted euxassay_001703_08

Specimen euxassay_001703_09: embryonic day 14.5 (more )
Structure Level Pattern Image Note
TS23: trigeminal ganglion Moderate Regionally restricted euxassay_001703_09
TS23: dorsal root ganglion Moderate Regionally restricted euxassay_001703_09
TS23: ventral grey horn Moderate Regionally restricted euxassay_001703_09
TS23: medulla oblongata basal plate mantle layer Moderate Regionally restricted euxassay_001703_09
TS23: telencephalon marginal layer Moderate Regionally restricted euxassay_001703_09

Specimen euxassay_001703_10: embryonic day 14.5 (more )
Structure Level Pattern Image Note
TS23: dorsal root ganglion Moderate Regionally restricted euxassay_001703_10
TS23: telencephalon marginal layer Moderate Regionally restricted euxassay_001703_10

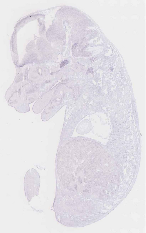
Specimen euxassay_001703_11: embryonic day 14.5 (more )
Structure Level Pattern Image Note
TS23: ventral grey horn Moderate Regionally restricted euxassay_001703_11
TS23: telencephalon marginal layer Moderate Regionally restricted euxassay_001703_11
TS23: olfactory cortex marginal layer Moderate Regionally restricted euxassay_001703_11

Specimen euxassay_001703_12: embryonic day 14.5 (more )
Structure Level Pattern Image Note
TS23: ventral grey horn Moderate Regionally restricted euxassay_001703_12
TS23: olfactory cortex marginal layer Moderate Regionally restricted euxassay_001703_12
TS23: telencephalon marginal layer Moderate Regionally restricted euxassay_001703_12

Specimen euxassay_001703_13: embryonic day 14.5 (more )
Structure Level Pattern Image Note
TS23: dorsal root ganglion Moderate Regionally restricted euxassay_001703_13
TS23: ventral grey horn Moderate Regionally restricted euxassay_001703_13
TS23: olfactory cortex marginal layer Moderate Regionally restricted euxassay_001703_13
TS23: telencephalon marginal layer Moderate Regionally restricted euxassay_001703_13

Specimen euxassay_001703_14: embryonic day 14.5 (more )
Structure Level Pattern Image Note
TS23: dorsal root ganglion Moderate Regionally restricted euxassay_001703_14
TS23: telencephalon marginal layer Moderate Regionally restricted euxassay_001703_14

Specimen euxassay_001703_15: embryonic day 14.5 (more )
Structure Level Pattern Image Note
TS23: dorsal root ganglion Moderate Regionally restricted euxassay_001703_15
TS23: medulla oblongata basal plate mantle layer Moderate Regionally restricted euxassay_001703_15
TS23: olfactory cortex marginal layer Moderate Regionally restricted euxassay_001703_15
TS23: telencephalon marginal layer Moderate Regionally restricted euxassay_001703_15

Specimen euxassay_001703_16: embryonic day 14.5 (more )
Structure Level Pattern Image Note
TS23: dorsal root ganglion Moderate Regionally restricted euxassay_001703_16
TS23: medulla oblongata basal plate mantle layer Moderate Regionally restricted euxassay_001703_16
TS23: olfactory cortex marginal layer Moderate Regionally restricted euxassay_001703_16
TS23: telencephalon marginal layer Moderate Regionally restricted euxassay_001703_16

Specimen euxassay_001703_17: embryonic day 14.5 (more )
Structure Level Pattern Image Note
TS23: glossopharyngeal ganglion Moderate Regionally restricted euxassay_001703_17
TS23: trigeminal ganglion Moderate Regionally restricted euxassay_001703_17
TS23: pons mantle layer Moderate Regionally restricted euxassay_001703_17
TS23: olfactory cortex marginal layer Moderate Regionally restricted euxassay_001703_17
TS23: telencephalon marginal layer Moderate Regionally restricted euxassay_001703_17

Specimen euxassay_001703_18: embryonic day 14.5 (more )
Structure Level Pattern Image Note
TS23: vestibulo-cochlear ganglion Moderate Regionally restricted euxassay_001703_18
TS23: trigeminal ganglion Moderate Regionally restricted euxassay_001703_18
TS23: glossopharyngeal ganglion Moderate Regionally restricted euxassay_001703_18
TS23: telencephalon marginal layer Moderate Regionally restricted euxassay_001703_18
TS23: olfactory cortex marginal layer Moderate Regionally restricted euxassay_001703_18

Specimen euxassay_001703_19: embryonic day 14.5 (more )
Structure Level Pattern Image Note
TS23: trigeminal ganglion Moderate Regionally restricted euxassay_001703_19
TS23: telencephalon marginal layer Moderate Regionally restricted euxassay_001703_19

Specimen euxassay_001703_20: embryonic day 14.5 (more )
Structure Level Pattern Image Note
TS23: trigeminal ganglion Moderate Regionally restricted euxassay_001703_20
TS23: telencephalon marginal layer Moderate Regionally restricted euxassay_001703_20


Contributing Projects:
Mouse Genome Database (MGD), Gene Expression Database (GXD), Mouse Models of Human Cancer database (MMHCdb) (formerly Mouse Tumor Biology (MTB)), Gene Ontology (GO)
Citing These Resources
Funding Information
Warranty Disclaimer, Privacy Notice, Licensing, & Copyright
Send questions and comments to User Support.
last database update
01/20/2026
MGI 6.24
The Jackson Laboratory