About   Help   FAQ
Gene Expression Data
Assay Details
Assay
Reference: J:153498 Diez-Roux G, et al., A high-resolution anatomical atlas of the transcriptome in the mouse embryo. PLoS Biol. 2011;9(1):e1000582
Assay type: RNA in situ
MGI Accession ID: MGI:4822608
Gene symbol: Ecrg4
Gene name: ECRG4 augurin precursor
Probe: MGC clone 7583
Probe preparation: Antisense labelled with digoxigenin RNA
Visualized with: Alkaline phosphatase
Assay notes: Cryosections of fresh frozen material were fixed in 4% paraformaldehyde for 20 min. before further processing. A tyramide-biotin/streptavidin amplification step was included in the in situ hybridization procedure.
Results
Specimen euxassay_005368_01: embryonic day 14.5 (more )
Structure Level Pattern Image Note
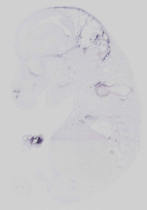
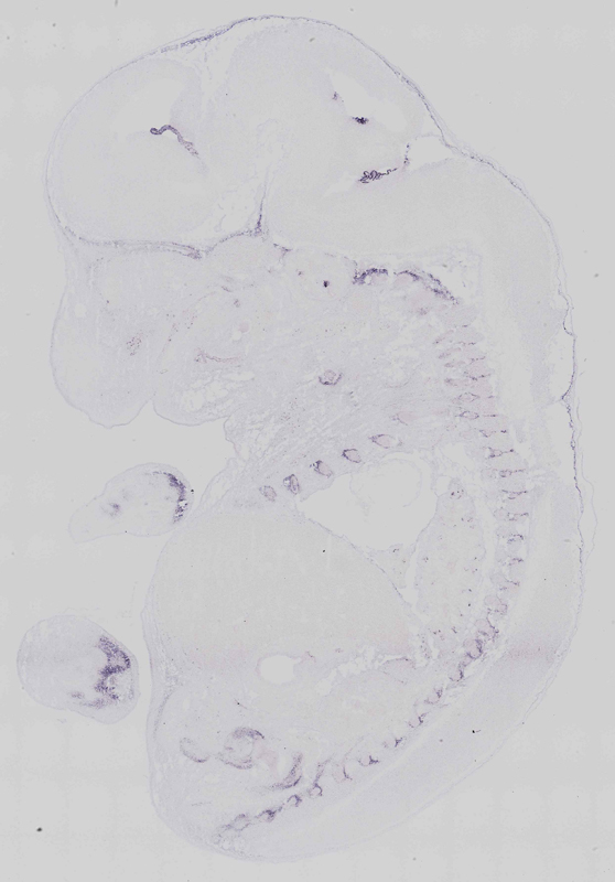
TS23: cranium Strong Regionally restricted euxassay_005368_01

Specimen euxassay_005368_02: embryonic day 14.5 (more )
Note: Additional information for this specimen was included in the Eurexpress data submission file.
Structure Level Pattern Image Note
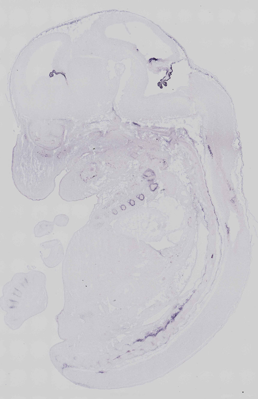
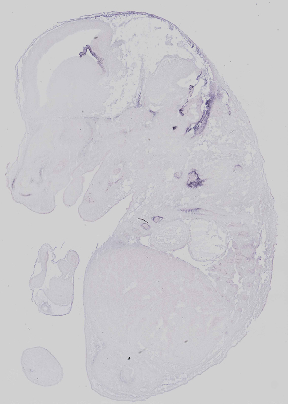
TS23: cranium Strong Regionally restricted euxassay_005368_02
TS23: humerus Moderate Regionally restricted euxassay_005368_02
TS23: 4th ventricle Strong Uniform euxassay_005368_02
TS23: choroid plexus Present euxassay_005368_02

Specimen euxassay_005368_03: embryonic day 14.5 (more )
Note: Additional information for this specimen was included in the Eurexpress data submission file.
Structure Level Pattern Image Note
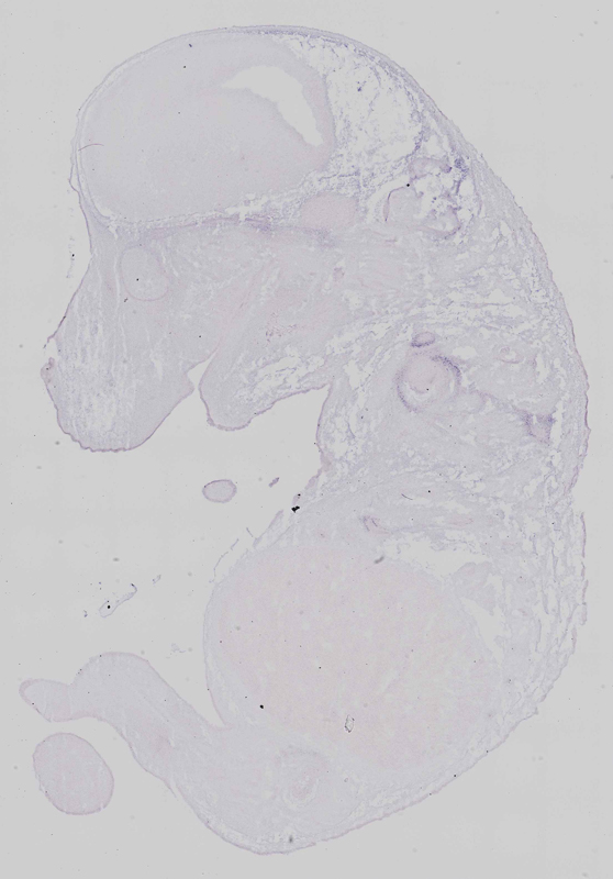
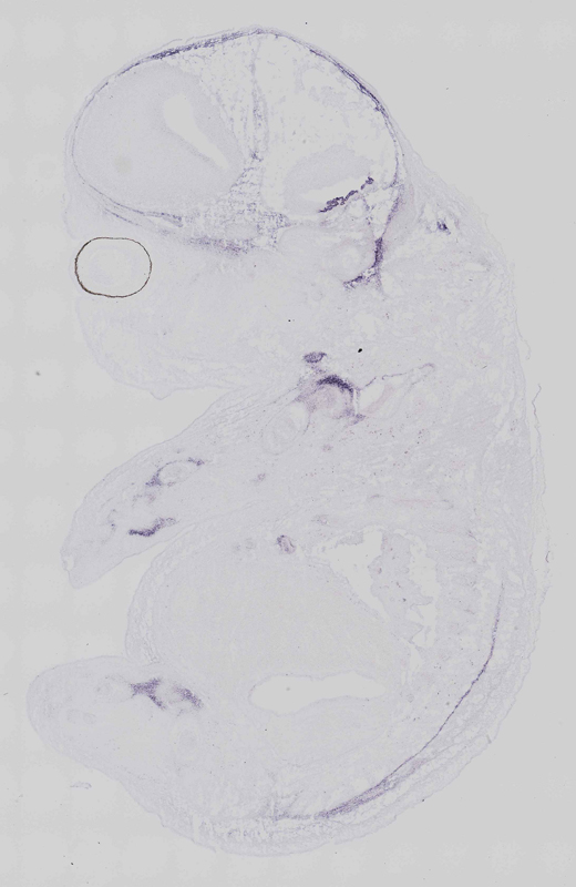
TS23: cranium Strong Regionally restricted euxassay_005368_03
TS23: humerus Moderate Regionally restricted euxassay_005368_03
TS23: scapula Moderate Regionally restricted euxassay_005368_03
TS23: 4th ventricle Strong Uniform euxassay_005368_03
TS23: choroid plexus Present euxassay_005368_03

Specimen euxassay_005368_04: embryonic day 14.5 (more )
Note: Additional information for this specimen was included in the Eurexpress data submission file.
Structure Level Pattern Image Note
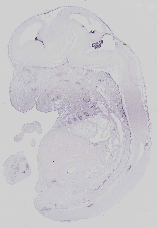
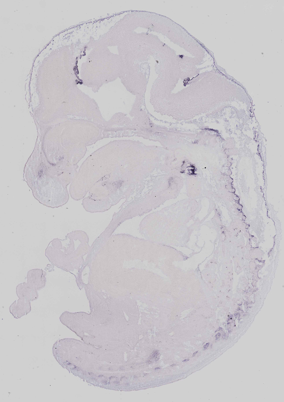
TS23: cranium Strong Regionally restricted euxassay_005368_04
TS23: humerus Moderate Regionally restricted euxassay_005368_04
TS23: 4th ventricle Strong Uniform euxassay_005368_04
TS23: choroid plexus Present euxassay_005368_04

Specimen euxassay_005368_05: embryonic day 14.5 (more )
Note: Additional information for this specimen was included in the Eurexpress data submission file.
Structure Level Pattern Image Note
TS23: cranium Strong Regionally restricted euxassay_005368_05
TS23: humerus Moderate Regionally restricted euxassay_005368_05
TS23: 4th ventricle Strong Uniform euxassay_005368_05
TS23: choroid plexus Present euxassay_005368_05
TS23: rib Moderate Regionally restricted euxassay_005368_05

Specimen euxassay_005368_06: embryonic day 14.5 (more )
Note: Additional information for this specimen was included in the Eurexpress data submission file.
Structure Level Pattern Image Note
TS23: cranium Moderate Regionally restricted euxassay_005368_06
TS23: 4th ventricle Strong Uniform euxassay_005368_06
TS23: choroid plexus Present euxassay_005368_06
TS23: rib Moderate Regionally restricted euxassay_005368_06

Specimen euxassay_005368_07: embryonic day 14.5 (more )
Note: Additional information for this specimen was included in the Eurexpress data submission file.
Structure Level Pattern Image Note
TS23: cranium Moderate Regionally restricted euxassay_005368_07
TS23: 4th ventricle Strong Uniform euxassay_005368_07
TS23: choroid plexus Present euxassay_005368_07
TS23: lateral ventricle choroid plexus Strong Uniform euxassay_005368_07
TS23: rib Moderate Regionally restricted euxassay_005368_07
TS23: clavicle Moderate Regionally restricted euxassay_005368_07
TS23: midbrain ventricular layer Strong Regionally restricted euxassay_005368_07

Specimen euxassay_005368_08: embryonic day 14.5 (more )
Note: Additional information for this specimen was included in the Eurexpress data submission file.
Structure Level Pattern Image Note
TS23: lateral ventricle choroid plexus Strong Uniform euxassay_005368_08
TS23: 4th ventricle Strong Uniform euxassay_005368_08
TS23: choroid plexus Present euxassay_005368_08
TS23: rib Moderate Regionally restricted euxassay_005368_08
TS23: clavicle Moderate Regionally restricted euxassay_005368_08
TS23: midbrain ventricular layer Strong Regionally restricted euxassay_005368_08

Specimen euxassay_005368_09: embryonic day 14.5 (more )
Note: Additional information for this specimen was included in the Eurexpress data submission file.
Structure Level Pattern Image Note
TS23: 4th ventricle Strong Uniform euxassay_005368_09
TS23: choroid plexus Present euxassay_005368_09
TS23: lateral ventricle choroid plexus Strong Uniform euxassay_005368_09
TS23: rib Moderate Regionally restricted euxassay_005368_09
TS23: clavicle Moderate Regionally restricted euxassay_005368_09
TS23: midbrain ventricular layer Strong Regionally restricted euxassay_005368_09

Specimen euxassay_005368_10: embryonic day 14.5 (more )
Note: Additional information for this specimen was included in the Eurexpress data submission file.
Structure Level Pattern Image Note
TS23: lateral ventricle choroid plexus Strong Uniform euxassay_005368_10
TS23: 4th ventricle Strong Uniform euxassay_005368_10
TS23: choroid plexus Present euxassay_005368_10
TS23: rib Moderate Regionally restricted euxassay_005368_10
TS23: clavicle Moderate Regionally restricted euxassay_005368_10
TS23: midbrain ventricular layer Strong Regionally restricted euxassay_005368_10

Specimen euxassay_005368_11: embryonic day 14.5 (more )
Note: Additional information for this specimen was included in the Eurexpress data submission file.
Structure Level Pattern Image Note
TS23: 4th ventricle Strong Uniform euxassay_005368_11
TS23: choroid plexus Present euxassay_005368_11
TS23: lateral ventricle choroid plexus Strong Uniform euxassay_005368_11
TS23: rib Moderate Regionally restricted euxassay_005368_11
TS23: trachea Strong Regionally restricted euxassay_005368_11
TS23: midbrain ventricular layer Strong Regionally restricted euxassay_005368_11

Specimen euxassay_005368_12: embryonic day 14.5 (more )
Note: Additional information for this specimen was included in the Eurexpress data submission file.
Structure Level Pattern Image Note
TS23: lateral ventricle choroid plexus Strong Uniform euxassay_005368_12
TS23: 4th ventricle Strong Uniform euxassay_005368_12
TS23: choroid plexus Present euxassay_005368_12
TS23: trachea Strong Regionally restricted euxassay_005368_12
TS23: midbrain ventricular layer Strong Regionally restricted euxassay_005368_12

Specimen euxassay_005368_13: embryonic day 14.5 (more )
Note: Additional information for this specimen was included in the Eurexpress data submission file.
Structure Level Pattern Image Note
TS23: lateral ventricle choroid plexus Strong Uniform euxassay_005368_13
TS23: 4th ventricle Strong Uniform euxassay_005368_13
TS23: choroid plexus Present euxassay_005368_13
TS23: trachea Strong Regionally restricted euxassay_005368_13
TS23: midbrain ventricular layer Moderate Regionally restricted euxassay_005368_13

Specimen euxassay_005368_14: embryonic day 14.5 (more )
Note: Additional information for this specimen was included in the Eurexpress data submission file.
Structure Level Pattern Image Note
TS23: lateral ventricle choroid plexus Strong Uniform euxassay_005368_14
TS23: 4th ventricle Strong Uniform euxassay_005368_14
TS23: choroid plexus Present euxassay_005368_14
TS23: rib Moderate Regionally restricted euxassay_005368_14
TS23: midbrain ventricular layer Moderate Regionally restricted euxassay_005368_14

Specimen euxassay_005368_15: embryonic day 14.5 (more )
Note: Additional information for this specimen was included in the Eurexpress data submission file.
Structure Level Pattern Image Note
TS23: cranium Moderate Regionally restricted euxassay_005368_15
TS23: 4th ventricle Strong Uniform euxassay_005368_15
TS23: choroid plexus Present euxassay_005368_15
TS23: lateral ventricle choroid plexus Strong Uniform euxassay_005368_15
TS23: rib Moderate Regionally restricted euxassay_005368_15
TS23: clavicle Moderate Regionally restricted euxassay_005368_15

Specimen euxassay_005368_16: embryonic day 14.5 (more )
Note: Additional information for this specimen was included in the Eurexpress data submission file.
Structure Level Pattern Image Note
TS23: cranium Moderate Regionally restricted euxassay_005368_16
TS23: lateral ventricle choroid plexus Strong Uniform euxassay_005368_16
TS23: 4th ventricle Strong Uniform euxassay_005368_16
TS23: choroid plexus Present euxassay_005368_16
TS23: rib Moderate Regionally restricted euxassay_005368_16
TS23: clavicle Moderate Regionally restricted euxassay_005368_16

Specimen euxassay_005368_17: embryonic day 14.5 (more )
Structure Level Pattern Image Note
TS23: cranium Moderate Regionally restricted euxassay_005368_17
TS23: humerus Moderate Regionally restricted euxassay_005368_17
TS23: lateral ventricle choroid plexus Strong Uniform euxassay_005368_17
TS23: 4th ventricle Moderate Uniform euxassay_005368_17
TS23: rib Moderate Regionally restricted euxassay_005368_17

Specimen euxassay_005368_18: embryonic day 14.5 (more )
Structure Level Pattern Image Note
TS23: cranium Moderate Regionally restricted euxassay_005368_18
TS23: humerus Moderate Regionally restricted euxassay_005368_18
TS23: scapula Moderate Regionally restricted euxassay_005368_18
TS23: lateral ventricle choroid plexus Moderate Uniform euxassay_005368_18
TS23: 4th ventricle Moderate Uniform euxassay_005368_18
TS23: rib Moderate Regionally restricted euxassay_005368_18

Specimen euxassay_005368_19: embryonic day 14.5 (more )
Structure Level Pattern Image Note
TS23: cranium Moderate Regionally restricted euxassay_005368_19
TS23: humerus Moderate Regionally restricted euxassay_005368_19
TS23: scapula Moderate Regionally restricted euxassay_005368_19
TS23: 4th ventricle Moderate Uniform euxassay_005368_19
TS23: rib Moderate Regionally restricted euxassay_005368_19

Specimen euxassay_005368_20: embryonic day 14.5 (more )
Structure Level Pattern Image Note
TS23: humerus Moderate Regionally restricted euxassay_005368_20

Specimen euxassay_005368_23: embryonic day 14.5 (more )
Structure Level Pattern Image Note
TS23: cranium Moderate Regionally restricted euxassay_005368_23


Contributing Projects:
Mouse Genome Database (MGD), Gene Expression Database (GXD), Mouse Models of Human Cancer database (MMHCdb) (formerly Mouse Tumor Biology (MTB)), Gene Ontology (GO)
Citing These Resources
Funding Information
Warranty Disclaimer, Privacy Notice, Licensing, & Copyright
Send questions and comments to User Support.
last database update
01/20/2026
MGI 6.24
The Jackson Laboratory