About   Help   FAQ
Gene Expression Data
Assay Details
Assay
Reference: J:153498 Diez-Roux G, et al., A high-resolution anatomical atlas of the transcriptome in the mouse embryo. PLoS Biol. 2011;9(1):e1000582
Assay type: RNA in situ
MGI Accession ID: MGI:4822604
Gene symbol: Cluh
Gene name: clustered mitochondria homolog
Probe: T35356
Probe preparation: Antisense labelled with digoxigenin RNA
Visualized with: Alkaline phosphatase
Assay notes: Cryosections of fresh frozen material were fixed in 4% paraformaldehyde for 20 min. before further processing. A tyramide-biotin/streptavidin amplification step was included in the in situ hybridization procedure.
Results
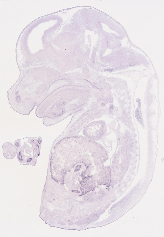
Specimen euxassay_007554_01: embryonic day 14.5 (more )
Structure Level Pattern Image Note
TS23: liver Moderate Regionally restricted euxassay_007554_01

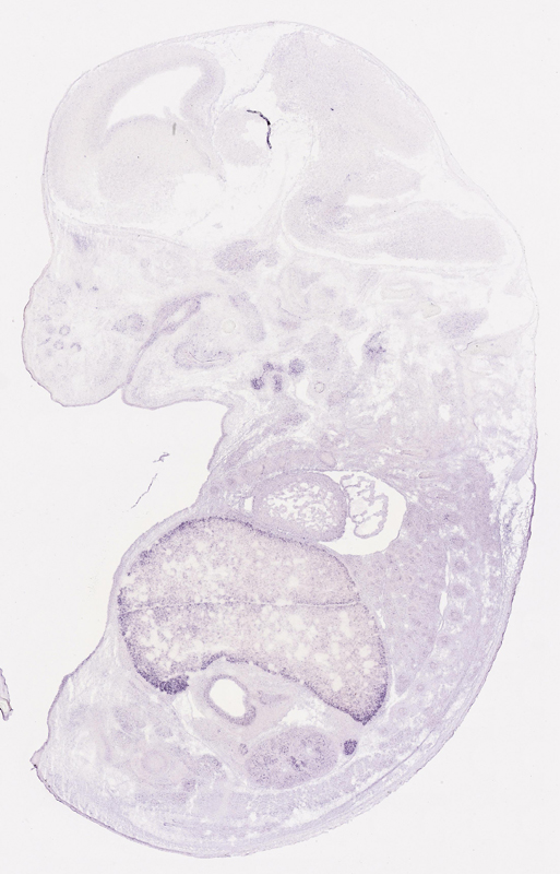
Specimen euxassay_007554_02: embryonic day 14.5 (more )
Structure Level Pattern Image Note
TS23: liver Moderate Regionally restricted euxassay_007554_02

Specimen euxassay_007554_03: embryonic day 14.5 (more )
Structure Level Pattern Image Note
TS23: liver Moderate Regionally restricted euxassay_007554_03
TS23: pectoral girdle and thoracic body wall musculature Moderate Regionally restricted euxassay_007554_03

Specimen euxassay_007554_04: embryonic day 14.5 (more )
Structure Level Pattern Image Note
TS23: liver Moderate Regionally restricted euxassay_007554_04
TS23: stomach Moderate Regionally restricted euxassay_007554_04
TS23: pectoral girdle and thoracic body wall musculature Moderate Regionally restricted euxassay_007554_04

Specimen euxassay_007554_05: embryonic day 14.5 (more )
Structure Level Pattern Image Note
TS23: liver Moderate Regionally restricted euxassay_007554_05
TS23: stomach Moderate Regionally restricted euxassay_007554_05
TS23: pectoral girdle and thoracic body wall musculature Moderate Regionally restricted euxassay_007554_05

Specimen euxassay_007554_06: embryonic day 14.5 (more )
Structure Level Pattern Image Note
TS23: liver Moderate Regionally restricted euxassay_007554_06
TS23: adrenal gland Moderate Regionally restricted euxassay_007554_06
TS23: renal calyx Moderate Regionally restricted euxassay_007554_06
TS23: stomach Moderate Regionally restricted euxassay_007554_06
TS23: submandibular gland primordium Moderate Regionally restricted euxassay_007554_06

Specimen euxassay_007554_07: embryonic day 14.5 (more )
Structure Level Pattern Image Note
TS23: liver Moderate Regionally restricted euxassay_007554_07
TS23: adrenal gland Moderate Regionally restricted euxassay_007554_07
TS23: renal calyx Weak Regionally restricted euxassay_007554_07
TS23: stomach Moderate Regionally restricted euxassay_007554_07
TS23: submandibular gland primordium Moderate Regionally restricted euxassay_007554_07

Specimen euxassay_007554_08: embryonic day 14.5 (more )
Structure Level Pattern Image Note
TS23: liver Moderate Regionally restricted euxassay_007554_08
TS23: adrenal gland Moderate Regionally restricted euxassay_007554_08
TS23: renal calyx Weak Regionally restricted euxassay_007554_08
TS23: stomach Moderate Regionally restricted euxassay_007554_08
TS23: submandibular gland primordium Moderate Regionally restricted euxassay_007554_08

Specimen euxassay_007554_09: embryonic day 14.5 (more )
Structure Level Pattern Image Note
TS23: liver Moderate Regionally restricted euxassay_007554_09
TS23: midgut Moderate Regionally restricted euxassay_007554_09
TS23: submandibular gland primordium Moderate Regionally restricted euxassay_007554_09

Specimen euxassay_007554_10: embryonic day 14.5 (more )
Structure Level Pattern Image Note
TS23: liver Moderate Regionally restricted euxassay_007554_10
TS23: midgut Moderate Regionally restricted euxassay_007554_10

Specimen euxassay_007554_11: embryonic day 14.5 (more )
Structure Level Pattern Image Note
TS23: liver Moderate Regionally restricted euxassay_007554_11
TS23: midgut Moderate Regionally restricted euxassay_007554_11

Specimen euxassay_007554_12: embryonic day 14.5 (more )
Structure Level Pattern Image Note
TS23: liver Moderate Regionally restricted euxassay_007554_12
TS23: midgut Moderate Regionally restricted euxassay_007554_12

Specimen euxassay_007554_13: embryonic day 14.5 (more )
Structure Level Pattern Image Note
TS23: liver Moderate Regionally restricted euxassay_007554_13
TS23: midgut Moderate Regionally restricted euxassay_007554_13
TS23: anterior naris Moderate Regionally restricted euxassay_007554_13

Specimen euxassay_007554_14: embryonic day 14.5 (more )
Structure Level Pattern Image Note
TS23: liver Moderate Regionally restricted euxassay_007554_14
TS23: adrenal gland Moderate Regionally restricted euxassay_007554_14
TS23: midgut Moderate Regionally restricted euxassay_007554_14
TS23: anterior naris Moderate Regionally restricted euxassay_007554_14

Specimen euxassay_007554_15: embryonic day 14.5 (more )
Structure Level Pattern Image Note
TS23: liver Moderate Regionally restricted euxassay_007554_15
TS23: adrenal gland Moderate Regionally restricted euxassay_007554_15
TS23: renal calyx Moderate Regionally restricted euxassay_007554_15
TS23: midgut Moderate Regionally restricted euxassay_007554_15
TS23: submandibular gland primordium Moderate Regionally restricted euxassay_007554_15
TS23: anterior naris Moderate Regionally restricted euxassay_007554_15

Specimen euxassay_007554_16: embryonic day 14.5 (more )
Structure Level Pattern Image Note
TS23: liver Moderate Regionally restricted euxassay_007554_16
TS23: renal calyx Moderate Regionally restricted euxassay_007554_16
TS23: adrenal gland Moderate Regionally restricted euxassay_007554_16
TS23: midgut Moderate Regionally restricted euxassay_007554_16
TS23: submandibular gland primordium Moderate Regionally restricted euxassay_007554_16
TS23: anterior naris Moderate Regionally restricted euxassay_007554_16
TS23: external naris Moderate Regionally restricted euxassay_007554_16

Specimen euxassay_007554_17: embryonic day 14.5 (more )
Structure Level Pattern Image Note
TS23: liver Moderate Regionally restricted euxassay_007554_17
TS23: adrenal gland Moderate Regionally restricted euxassay_007554_17
TS23: renal calyx Moderate Regionally restricted euxassay_007554_17
TS23: midgut Moderate Regionally restricted euxassay_007554_17
TS23: submandibular gland primordium Moderate Regionally restricted euxassay_007554_17

Specimen euxassay_007554_18: embryonic day 14.5 (more )
Structure Level Pattern Image Note
TS23: liver Moderate Regionally restricted euxassay_007554_18
TS23: midgut Moderate Regionally restricted euxassay_007554_18
TS23: pectoral girdle and thoracic body wall musculature Moderate Regionally restricted euxassay_007554_18
TS23: submandibular gland primordium Moderate Regionally restricted euxassay_007554_18

Specimen euxassay_007554_19: embryonic day 14.5 (more )
Structure Level Pattern Image Note
TS23: liver Moderate Regionally restricted euxassay_007554_19
TS23: pectoral girdle and thoracic body wall musculature Moderate Regionally restricted euxassay_007554_19
TS23: submandibular gland primordium Moderate Regionally restricted euxassay_007554_19

Specimen euxassay_007554_20: embryonic day 14.5 (more )
Structure Level Pattern Image Note
TS23: liver Moderate Regionally restricted euxassay_007554_20
TS23: pectoral girdle and thoracic body wall musculature Moderate Regionally restricted euxassay_007554_20

Specimen euxassay_007554_21: embryonic day 14.5 (more )
Structure Level Pattern Image Note
TS23: liver Moderate Regionally restricted euxassay_007554_21

Specimen euxassay_007554_22: embryonic day 14.5 (more )
Structure Level Pattern Image Note
TS23: liver Moderate Regionally restricted euxassay_007554_22

Specimen euxassay_007554_23: embryonic day 14.5 (more )
Structure Level Pattern Image Note
TS23: liver Moderate Regionally restricted euxassay_007554_23


Contributing Projects:
Mouse Genome Database (MGD), Gene Expression Database (GXD), Mouse Models of Human Cancer database (MMHCdb) (formerly Mouse Tumor Biology (MTB)), Gene Ontology (GO)
Citing These Resources
Funding Information
Warranty Disclaimer, Privacy Notice, Licensing, & Copyright
Send questions and comments to User Support.
last database update
01/06/2026
MGI 6.24
The Jackson Laboratory