About   Help   FAQ
Gene Expression Data
Assay Details
Assay
Reference: J:153498 Diez-Roux G, et al., A high-resolution anatomical atlas of the transcriptome in the mouse embryo. PLoS Biol. 2011;9(1):e1000582
Assay type: RNA in situ
MGI Accession ID: MGI:4822600
Gene symbol: Lgalsl
Gene name: galectin like
Probe: IMAGE clone 3025888
Probe preparation: Antisense labelled with digoxigenin RNA
Visualized with: Alkaline phosphatase
Assay notes: Cryosections of fresh frozen material were fixed in 4% paraformaldehyde for 20 min. before further processing. A tyramide-biotin/streptavidin amplification step was included in the in situ hybridization procedure.
Results
Specimen euxassay_002315_02: embryonic day 14.5 (more )
Structure Level Pattern Image Note
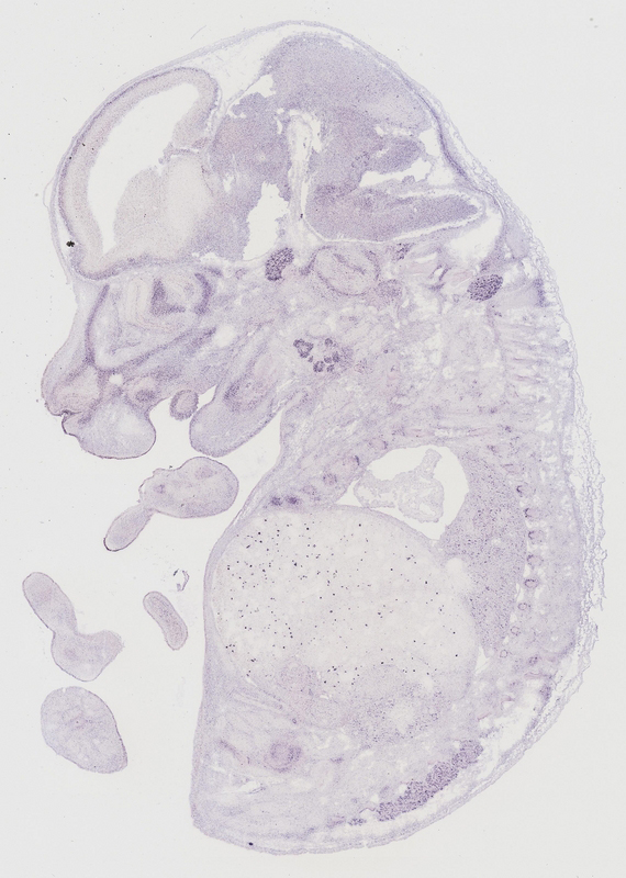
TS23: rib Moderate Regionally restricted euxassay_002315_02

Specimen euxassay_002315_03: embryonic day 14.5 (more )
Structure Level Pattern Image Note
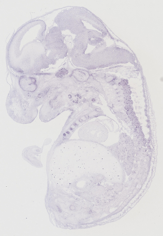
TS23: rib Moderate Regionally restricted euxassay_002315_03

Specimen euxassay_002315_05: embryonic day 14.5 (more )
Structure Level Pattern Image Note
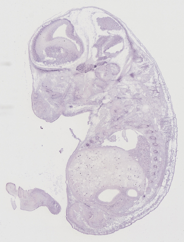
TS23: rib Moderate Regionally restricted euxassay_002315_05

Specimen euxassay_002315_06: embryonic day 14.5 (more )
Structure Level Pattern Image Note
TS23: thoracic segment skeleton Moderate Regionally restricted euxassay_002315_06
TS23: submandibular gland primordium Weak Regionally restricted euxassay_002315_06

Specimen euxassay_002315_07: embryonic day 14.5 (more )
Structure Level Pattern Image Note
TS23: thoracic segment skeleton Moderate Regionally restricted euxassay_002315_07
TS23: submandibular gland primordium Weak Regionally restricted euxassay_002315_07
TS23: dorsal root ganglion Moderate Regionally restricted euxassay_002315_07

Specimen euxassay_002315_08: embryonic day 14.5 (more )
Structure Level Pattern Image Note
TS23: thoracic segment skeleton Moderate Regionally restricted euxassay_002315_08
TS23: submandibular gland primordium Weak Regionally restricted euxassay_002315_08
TS23: dorsal root ganglion Moderate Regionally restricted euxassay_002315_08

Specimen euxassay_002315_09: embryonic day 14.5 (more )
Structure Level Pattern Image Note
TS23: thoracic segment skeleton Moderate Regionally restricted euxassay_002315_09
TS23: submandibular gland primordium Weak Regionally restricted euxassay_002315_09
TS23: dorsal root ganglion Moderate Regionally restricted euxassay_002315_09

Specimen euxassay_002315_10: embryonic day 14.5 (more )
Structure Level Pattern Image Note
TS23: thoracic segment skeleton Moderate Regionally restricted euxassay_002315_10
TS23: dorsal root ganglion Weak Regionally restricted euxassay_002315_10

Specimen euxassay_002315_11: embryonic day 14.5 (more )
Structure Level Pattern Image Note
TS23: thoracic segment skeleton Moderate Regionally restricted euxassay_002315_11
TS23: dorsal root ganglion Weak Regionally restricted euxassay_002315_11

Specimen euxassay_002315_12: embryonic day 14.5 (more )
Structure Level Pattern Image Note
TS23: thoracic segment skeleton Moderate Regionally restricted euxassay_002315_12

Specimen euxassay_002315_13: embryonic day 14.5 (more )
Structure Level Pattern Image Note
TS23: thoracic segment skeleton Moderate Regionally restricted euxassay_002315_13

Specimen euxassay_002315_14: embryonic day 14.5 (more )
Structure Level Pattern Image Note
TS23: thoracic segment skeleton Moderate Regionally restricted euxassay_002315_14

Specimen euxassay_002315_15: embryonic day 14.5 (more )
Structure Level Pattern Image Note
TS23: thoracic segment skeleton Moderate Regionally restricted euxassay_002315_15
TS23: submandibular gland primordium Weak Regionally restricted euxassay_002315_15
TS23: dorsal root ganglion Weak Regionally restricted euxassay_002315_15

Specimen euxassay_002315_16: embryonic day 14.5 (more )
Structure Level Pattern Image Note
TS23: thoracic segment skeleton Moderate Regionally restricted euxassay_002315_16
TS23: submandibular gland primordium Weak Regionally restricted euxassay_002315_16
TS23: dorsal root ganglion Weak Regionally restricted euxassay_002315_16

Specimen euxassay_002315_17: embryonic day 14.5 (more )
Structure Level Pattern Image Note
TS23: thoracic segment skeleton Moderate Regionally restricted euxassay_002315_17
TS23: submandibular gland primordium Weak Regionally restricted euxassay_002315_17
TS23: dorsal root ganglion Weak Regionally restricted euxassay_002315_17

Specimen euxassay_002315_18: embryonic day 14.5 (more )
Structure Level Pattern Image Note
TS23: thoracic segment skeleton Moderate Regionally restricted euxassay_002315_18

Specimen euxassay_002315_19: embryonic day 14.5 (more )
Structure Level Pattern Image Note
TS23: rib Moderate Regionally restricted euxassay_002315_19

Specimen euxassay_002315_21: embryonic day 14.5 (more )
Structure Level Pattern Image Note
TS23: rib Moderate Regionally restricted euxassay_002315_21


Contributing Projects:
Mouse Genome Database (MGD), Gene Expression Database (GXD), Mouse Models of Human Cancer database (MMHCdb) (formerly Mouse Tumor Biology (MTB)), Gene Ontology (GO)
Citing These Resources
Funding Information
Warranty Disclaimer, Privacy Notice, Licensing, & Copyright
Send questions and comments to User Support.
last database update
03/24/2026
MGI 6.24
The Jackson Laboratory