About   Help   FAQ
Gene Expression Data
Assay Details
Assay
Reference: J:153498 Diez-Roux G, et al., A high-resolution anatomical atlas of the transcriptome in the mouse embryo. PLoS Biol. 2011;9(1):e1000582
Assay type: RNA in situ
MGI Accession ID: MGI:4822597
Gene symbol: Pithd1
Gene name: PITH (C-terminal proteasome-interacting domain of thioredoxin-like) domain containing 1
Probe: MGC clone 64617
Probe preparation: Antisense labelled with digoxigenin RNA
Visualized with: Alkaline phosphatase
Assay notes: Cryosections of fresh frozen material were fixed in 4% paraformaldehyde for 20 min. before further processing. A tyramide-biotin/streptavidin amplification step was included in the in situ hybridization procedure.
Results
Specimen euxassay_005109_01: embryonic day 14.5 (more )
Structure Level Pattern Image Note
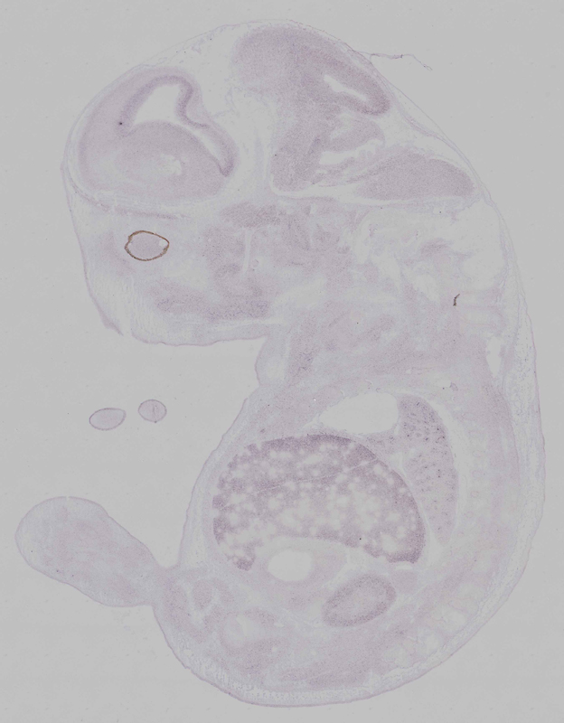
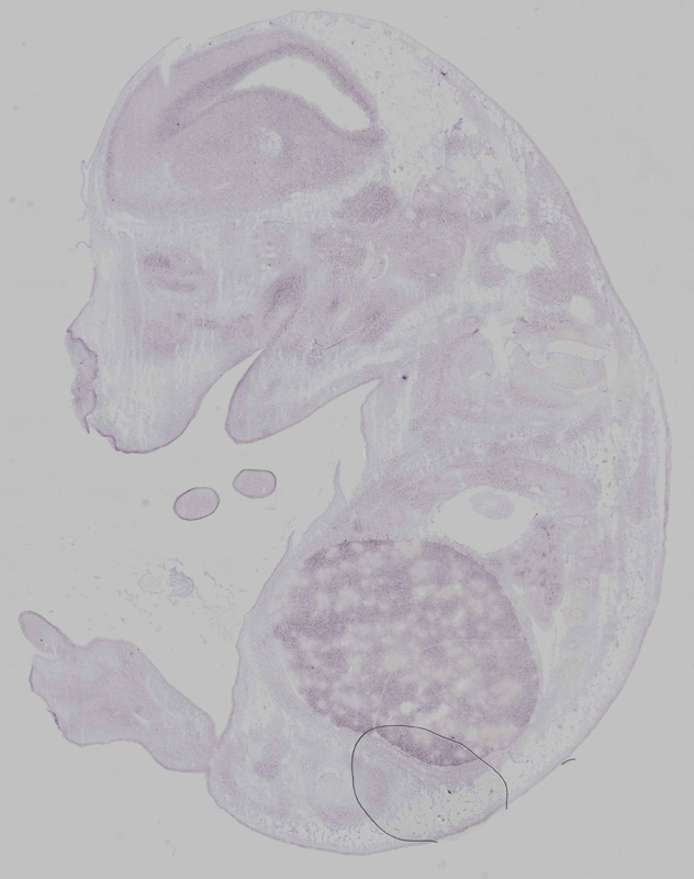
TS23: liver Strong Regionally restricted euxassay_005109_01
TS23: lung Moderate Regionally restricted euxassay_005109_01
TS23: cranial musculature Moderate Regionally restricted euxassay_005109_01
TS23: brain Moderate Regionally restricted euxassay_005109_01

Specimen euxassay_005109_02: embryonic day 14.5 (more )
Structure Level Pattern Image Note
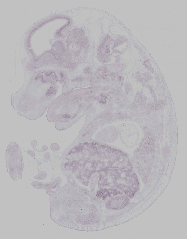
TS23: liver Strong Regionally restricted euxassay_005109_02
TS23: lung Moderate Regionally restricted euxassay_005109_02
TS23: cranial musculature Moderate Regionally restricted euxassay_005109_02
TS23: brain Moderate Regionally restricted euxassay_005109_02

Specimen euxassay_005109_03: embryonic day 14.5 (more )
Structure Level Pattern Image Note
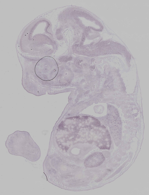
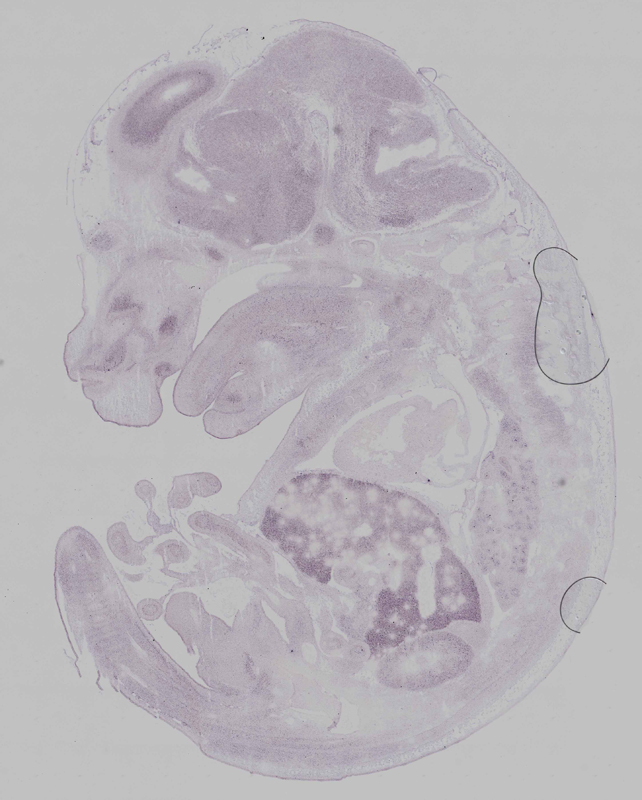
TS23: liver Strong Regionally restricted euxassay_005109_03
TS23: metanephros Moderate Regionally restricted euxassay_005109_03
TS23: lung Moderate Regionally restricted euxassay_005109_03
TS23: orbito-sphenoid Weak Regionally restricted euxassay_005109_03
TS23: cranial musculature Moderate Regionally restricted euxassay_005109_03
TS23: brain Moderate Regionally restricted euxassay_005109_03

Specimen euxassay_005109_04: embryonic day 14.5 (more )
Structure Level Pattern Image Note
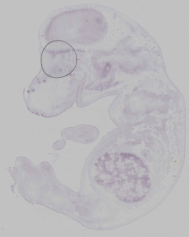
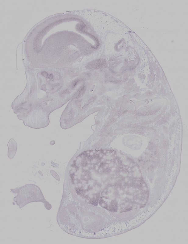
TS23: liver Strong Regionally restricted euxassay_005109_04
TS23: metanephros Moderate Regionally restricted euxassay_005109_04
TS23: lung Moderate Regionally restricted euxassay_005109_04
TS23: orbito-sphenoid Weak Regionally restricted euxassay_005109_04
TS23: cranial musculature Moderate Regionally restricted euxassay_005109_04
TS23: brain Moderate Regionally restricted euxassay_005109_04

Specimen euxassay_005109_05: embryonic day 14.5 (more )
Structure Level Pattern Image Note
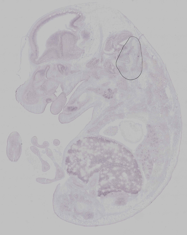
TS23: liver Strong Regionally restricted euxassay_005109_05
TS23: metanephros Moderate Regionally restricted euxassay_005109_05
TS23: lung Moderate Regionally restricted euxassay_005109_05
TS23: trigeminal ganglion Moderate Regionally restricted euxassay_005109_05
TS23: vestibulo-cochlear ganglion Moderate Regionally restricted euxassay_005109_05
TS23: glossopharyngeal ganglion Moderate Regionally restricted euxassay_005109_05
TS23: orbito-sphenoid Moderate Regionally restricted euxassay_005109_05
TS23: cranial musculature Moderate Regionally restricted euxassay_005109_05
TS23: brain Moderate Regionally restricted euxassay_005109_05
TS23: spinal cord Moderate Regionally restricted euxassay_005109_05
TS23: dorsal root ganglion Moderate Regionally restricted euxassay_005109_05

Specimen euxassay_005109_06: embryonic day 14.5 (more )
Structure Level Pattern Image Note
TS23: liver Strong Regionally restricted euxassay_005109_06
TS23: metanephros Moderate Regionally restricted euxassay_005109_06
TS23: respiratory tract Moderate Regionally restricted euxassay_005109_06
TS23: trigeminal ganglion Moderate Regionally restricted euxassay_005109_06
TS23: vestibulo-cochlear ganglion Moderate Regionally restricted euxassay_005109_06
TS23: submandibular gland primordium Moderate Regionally restricted euxassay_005109_06
TS23: cranial musculature Moderate Regionally restricted euxassay_005109_06
TS23: brain Moderate Regionally restricted euxassay_005109_06
TS23: spinal cord Moderate Regionally restricted euxassay_005109_06
TS23: dorsal root ganglion Moderate Regionally restricted euxassay_005109_06
TS23: cervical ganglion Moderate Regionally restricted euxassay_005109_06

Specimen euxassay_005109_07: embryonic day 14.5 (more )
Structure Level Pattern Image Note
TS23: liver Strong Regionally restricted euxassay_005109_07
TS23: lung Moderate Regionally restricted euxassay_005109_07
TS23: metanephros Moderate Regionally restricted euxassay_005109_07
TS23: trigeminal ganglion Moderate Regionally restricted euxassay_005109_07
TS23: submandibular gland primordium Moderate Regionally restricted euxassay_005109_07
TS23: vibrissa Moderate Regionally restricted euxassay_005109_07
TS23: upper jaw molar Moderate Regionally restricted euxassay_005109_07
TS23: lower jaw molar Moderate Regionally restricted euxassay_005109_07
TS23: cranial musculature Moderate Regionally restricted euxassay_005109_07
TS23: brain Moderate Regionally restricted euxassay_005109_07
TS23: spinal cord Moderate Regionally restricted euxassay_005109_07
TS23: dorsal root ganglion Moderate Regionally restricted euxassay_005109_07
TS23: cervico-thoracic ganglion Moderate Regionally restricted euxassay_005109_07

Specimen euxassay_005109_08: embryonic day 14.5 (more )
Structure Level Pattern Image Note
TS23: liver Strong Regionally restricted euxassay_005109_08
TS23: lung Moderate Regionally restricted euxassay_005109_08
TS23: submandibular gland primordium Moderate Regionally restricted euxassay_005109_08
TS23: vibrissa Moderate Regionally restricted euxassay_005109_08
TS23: upper jaw molar Moderate Regionally restricted euxassay_005109_08
TS23: lower jaw molar Moderate Regionally restricted euxassay_005109_08
TS23: cranial musculature Moderate Regionally restricted euxassay_005109_08
TS23: brain Moderate Regionally restricted euxassay_005109_08
TS23: spinal cord Moderate Regionally restricted euxassay_005109_08

Specimen euxassay_005109_09: embryonic day 14.5 (more )
Structure Level Pattern Image Note
TS23: liver Strong Regionally restricted euxassay_005109_09
TS23: lung Moderate Regionally restricted euxassay_005109_09
TS23: adenohypophysis Weak Regionally restricted euxassay_005109_09
TS23: olfactory epithelium Moderate Regionally restricted euxassay_005109_09
TS23: vibrissa Moderate Regionally restricted euxassay_005109_09
TS23: thymus primordium Strong Regionally restricted euxassay_005109_09
TS23: upper jaw molar Moderate Regionally restricted euxassay_005109_09
TS23: lower jaw molar Moderate Regionally restricted euxassay_005109_09
TS23: cranial musculature Moderate Regionally restricted euxassay_005109_09
TS23: brain Moderate Regionally restricted euxassay_005109_09
TS23: spinal cord Moderate Regionally restricted euxassay_005109_09

Specimen euxassay_005109_10: embryonic day 14.5 (more )
Structure Level Pattern Image Note
TS23: liver Strong Regionally restricted euxassay_005109_10
TS23: lung Moderate Regionally restricted euxassay_005109_10
TS23: adenohypophysis Weak Regionally restricted euxassay_005109_10
TS23: olfactory epithelium Moderate Regionally restricted euxassay_005109_10
TS23: thymus primordium Strong Regionally restricted euxassay_005109_10
TS23: cranial musculature Moderate Regionally restricted euxassay_005109_10
TS23: brain Moderate Regionally restricted euxassay_005109_10
TS23: spinal cord Moderate Regionally restricted euxassay_005109_10
TS23: thoracic ganglion Moderate Regionally restricted euxassay_005109_10
TS23: rectum Moderate Regionally restricted euxassay_005109_10

Specimen euxassay_005109_11: embryonic day 14.5 (more )
Structure Level Pattern Image Note
TS23: liver Strong Regionally restricted euxassay_005109_11
TS23: lung Moderate Regionally restricted euxassay_005109_11
TS23: adenohypophysis Weak Regionally restricted euxassay_005109_11
TS23: olfactory epithelium Moderate Regionally restricted euxassay_005109_11
TS23: thymus primordium Strong Regionally restricted euxassay_005109_11
TS23: lower jaw incisor Moderate Regionally restricted euxassay_005109_11
TS23: cranial musculature Moderate Regionally restricted euxassay_005109_11
TS23: brain Moderate Regionally restricted euxassay_005109_11
TS23: spinal cord Moderate Regionally restricted euxassay_005109_11
TS23: dorsal root ganglion Weak Regionally restricted euxassay_005109_11

Specimen euxassay_005109_12: embryonic day 14.5 (more )
Structure Level Pattern Image Note
TS23: liver Strong Regionally restricted euxassay_005109_12
TS23: lung Moderate Regionally restricted euxassay_005109_12
TS23: metanephros Moderate Regionally restricted euxassay_005109_12
TS23: adenohypophysis Weak Regionally restricted euxassay_005109_12
TS23: olfactory epithelium Moderate Regionally restricted euxassay_005109_12
TS23: thymus primordium Strong Regionally restricted euxassay_005109_12
TS23: upper jaw incisor Moderate Regionally restricted euxassay_005109_12
TS23: lower jaw incisor Moderate Regionally restricted euxassay_005109_12
TS23: cranial musculature Moderate Regionally restricted euxassay_005109_12
TS23: brain Moderate Regionally restricted euxassay_005109_12
TS23: dorsal root ganglion Weak Regionally restricted euxassay_005109_12

Specimen euxassay_005109_13: embryonic day 14.5 (more )
Structure Level Pattern Image Note
TS23: liver Strong Regionally restricted euxassay_005109_13
TS23: lung Moderate Regionally restricted euxassay_005109_13
TS23: metanephros Moderate Regionally restricted euxassay_005109_13
TS23: adenohypophysis Moderate Regionally restricted euxassay_005109_13
TS23: olfactory epithelium Moderate Regionally restricted euxassay_005109_13
TS23: nasal cavity respiratory epithelium Moderate Regionally restricted euxassay_005109_13
TS23: naris Moderate Regionally restricted euxassay_005109_13
TS23: thymus primordium Strong Regionally restricted euxassay_005109_13
TS23: upper jaw incisor Moderate Regionally restricted euxassay_005109_13
TS23: lower jaw incisor Moderate Regionally restricted euxassay_005109_13
TS23: cranial musculature Moderate Regionally restricted euxassay_005109_13
TS23: brain Moderate Regionally restricted euxassay_005109_13
TS23: dorsal root ganglion Moderate Regionally restricted euxassay_005109_13
TS23: cervico-thoracic ganglion Moderate Regionally restricted euxassay_005109_13

Specimen euxassay_005109_14: embryonic day 14.5 (more )
Structure Level Pattern Image Note
TS23: liver Strong Regionally restricted euxassay_005109_14
TS23: lung Moderate Regionally restricted euxassay_005109_14
TS23: metanephros Moderate Regionally restricted euxassay_005109_14
TS23: olfactory epithelium Moderate Regionally restricted euxassay_005109_14
TS23: cranial musculature Moderate Regionally restricted euxassay_005109_14
TS23: brain Moderate Regionally restricted euxassay_005109_14
TS23: cervical ganglion Moderate Regionally restricted euxassay_005109_14

Specimen euxassay_005109_15: embryonic day 14.5 (more )
Structure Level Pattern Image Note
TS23: liver Strong Regionally restricted euxassay_005109_15
TS23: lung Moderate Regionally restricted euxassay_005109_15
TS23: metanephros Moderate Regionally restricted euxassay_005109_15
TS23: vestibulo-cochlear ganglion Moderate Regionally restricted euxassay_005109_15
TS23: glossopharyngeal ganglion Moderate Regionally restricted euxassay_005109_15
TS23: trigeminal ganglion Moderate Regionally restricted euxassay_005109_15
TS23: submandibular gland primordium Moderate Regionally restricted euxassay_005109_15
TS23: olfactory epithelium Moderate Regionally restricted euxassay_005109_15
TS23: lower jaw incisor Moderate Regionally restricted euxassay_005109_15
TS23: cranial musculature Moderate Regionally restricted euxassay_005109_15
TS23: brain Moderate Regionally restricted euxassay_005109_15

Specimen euxassay_005109_16: embryonic day 14.5 (more )
Structure Level Pattern Image Note
TS23: liver Strong Regionally restricted euxassay_005109_16
TS23: lung Moderate Regionally restricted euxassay_005109_16
TS23: trigeminal ganglion Moderate Regionally restricted euxassay_005109_16
TS23: vestibulo-cochlear ganglion Moderate Regionally restricted euxassay_005109_16
TS23: submandibular gland primordium Moderate Regionally restricted euxassay_005109_16
TS23: olfactory epithelium Moderate Regionally restricted euxassay_005109_16
TS23: upper jaw incisor Moderate Regionally restricted euxassay_005109_16
TS23: lower jaw incisor Moderate Regionally restricted euxassay_005109_16
TS23: cranial musculature Moderate Regionally restricted euxassay_005109_16
TS23: brain Moderate Regionally restricted euxassay_005109_16

Specimen euxassay_005109_17: embryonic day 14.5 (more )
Structure Level Pattern Image Note
TS23: liver Strong Regionally restricted euxassay_005109_17
TS23: lung Moderate Regionally restricted euxassay_005109_17
TS23: trigeminal ganglion Moderate Regionally restricted euxassay_005109_17
TS23: submandibular gland primordium Moderate Regionally restricted euxassay_005109_17
TS23: olfactory epithelium Moderate Regionally restricted euxassay_005109_17
TS23: upper jaw molar Moderate Regionally restricted euxassay_005109_17
TS23: lower jaw molar Moderate Regionally restricted euxassay_005109_17
TS23: upper jaw incisor Moderate Regionally restricted euxassay_005109_17
TS23: lower jaw incisor Moderate Regionally restricted euxassay_005109_17
TS23: cranial musculature Moderate Regionally restricted euxassay_005109_17
TS23: brain Moderate Regionally restricted euxassay_005109_17

Specimen euxassay_005109_18: embryonic day 14.5 (more )
Structure Level Pattern Image Note
TS23: liver Strong Regionally restricted euxassay_005109_18
TS23: lung Moderate Regionally restricted euxassay_005109_18
TS23: trigeminal ganglion Moderate Regionally restricted euxassay_005109_18
TS23: olfactory epithelium Moderate Regionally restricted euxassay_005109_18
TS23: nasal cavity respiratory epithelium Moderate Regionally restricted euxassay_005109_18
TS23: naris Moderate Regionally restricted euxassay_005109_18
TS23: upper jaw molar Moderate Regionally restricted euxassay_005109_18
TS23: lower jaw molar Moderate Regionally restricted euxassay_005109_18
TS23: cranial musculature Moderate Regionally restricted euxassay_005109_18
TS23: brain Moderate Regionally restricted euxassay_005109_18

Specimen euxassay_005109_19: embryonic day 14.5 (more )
Structure Level Pattern Image Note
TS23: liver Strong Regionally restricted euxassay_005109_19
TS23: lung Moderate Regionally restricted euxassay_005109_19
TS23: trigeminal ganglion Moderate Regionally restricted euxassay_005109_19
TS23: olfactory epithelium Moderate Regionally restricted euxassay_005109_19
TS23: cranial musculature Moderate Regionally restricted euxassay_005109_19
TS23: brain Moderate Regionally restricted euxassay_005109_19

Specimen euxassay_005109_20: embryonic day 14.5 (more )
Structure Level Pattern Image Note
TS23: liver Strong Regionally restricted euxassay_005109_20
TS23: lung Moderate Regionally restricted euxassay_005109_20
TS23: trigeminal ganglion Moderate Regionally restricted euxassay_005109_20
TS23: orbito-sphenoid Weak Regionally restricted euxassay_005109_20
TS23: cranial musculature Moderate Regionally restricted euxassay_005109_20
TS23: brain Moderate Regionally restricted euxassay_005109_20

Specimen euxassay_005109_21: embryonic day 14.5 (more )
Structure Level Pattern Image Note
TS23: liver Strong Regionally restricted euxassay_005109_21
TS23: vibrissa Moderate Regionally restricted euxassay_005109_21
TS23: orbito-sphenoid Moderate Regionally restricted euxassay_005109_21
TS23: cranial musculature Moderate Regionally restricted euxassay_005109_21
TS23: brain Moderate Regionally restricted euxassay_005109_21

Specimen euxassay_005109_22: embryonic day 14.5 (more )
Structure Level Pattern Image Note
TS23: liver Strong Regionally restricted euxassay_005109_22
TS23: vibrissa Moderate Regionally restricted euxassay_005109_22
TS23: cranial musculature Moderate Regionally restricted euxassay_005109_22
TS23: brain Moderate Regionally restricted euxassay_005109_22


Contributing Projects:
Mouse Genome Database (MGD), Gene Expression Database (GXD), Mouse Models of Human Cancer database (MMHCdb) (formerly Mouse Tumor Biology (MTB)), Gene Ontology (GO)
Citing These Resources
Funding Information
Warranty Disclaimer, Privacy Notice, Licensing, & Copyright
Send questions and comments to User Support.
last database update
01/28/2026
MGI 6.24
The Jackson Laboratory