About   Help   FAQ
Gene Expression Data
Assay Details
Assay
Reference: J:153498 Diez-Roux G, et al., A high-resolution anatomical atlas of the transcriptome in the mouse embryo. PLoS Biol. 2011;9(1):e1000582
Assay type: RNA in situ
MGI Accession ID: MGI:4822592
Gene symbol: Eola1
Gene name: endothelium and lymphocyte associated ASCH domain 1
Probe: IMAGE clone 2812606
Probe preparation: Antisense labelled with digoxigenin RNA
Visualized with: Alkaline phosphatase
Assay notes: Cryosections of fresh frozen material were fixed in 4% paraformaldehyde for 20 min. before further processing. A tyramide-biotin/streptavidin amplification step was included in the in situ hybridization procedure.
Results
Specimen euxassay_000235_05: embryonic day 14.5 (more )
Structure Level Pattern Image Note
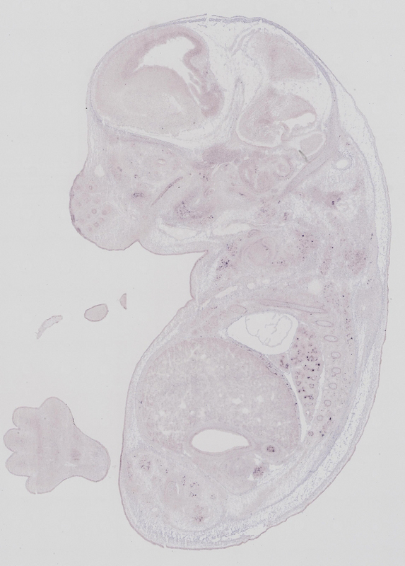
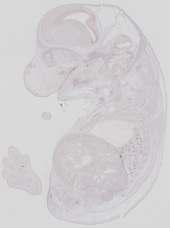
TS23: lung Moderate Regionally restricted euxassay_000235_05

Specimen euxassay_000235_06: embryonic day 14.5 (more )
Structure Level Pattern Image Note
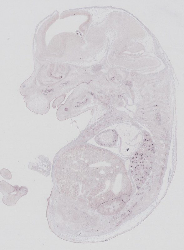
TS23: lung Moderate Regionally restricted euxassay_000235_06

Specimen euxassay_000235_07: embryonic day 14.5 (more )
Structure Level Pattern Image Note
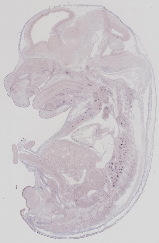
TS23: lung Moderate Regionally restricted euxassay_000235_07

Specimen euxassay_000235_08: embryonic day 14.5 (more )
Structure Level Pattern Image Note
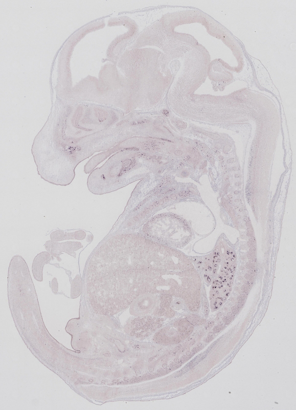
TS23: lung Moderate Regionally restricted euxassay_000235_08

Specimen euxassay_000235_09: embryonic day 14.5 (more )
Structure Level Pattern Image Note
TS23: lung Moderate Regionally restricted euxassay_000235_09

Specimen euxassay_000235_10: embryonic day 14.5 (more )
Structure Level Pattern Image Note
TS23: lung Moderate Regionally restricted euxassay_000235_10

Specimen euxassay_000235_11: embryonic day 14.5 (more )
Structure Level Pattern Image Note
TS23: lung Moderate Regionally restricted euxassay_000235_11

Specimen euxassay_000235_12: embryonic day 14.5 (more )
Structure Level Pattern Image Note
TS23: lung Moderate Regionally restricted euxassay_000235_12

Specimen euxassay_000235_13: embryonic day 14.5 (more )
Structure Level Pattern Image Note
TS23: pituitary gland Moderate Regionally restricted euxassay_000235_13
TS23: lung Moderate Regionally restricted euxassay_000235_13

Specimen euxassay_000235_14: embryonic day 14.5 (more )
Structure Level Pattern Image Note
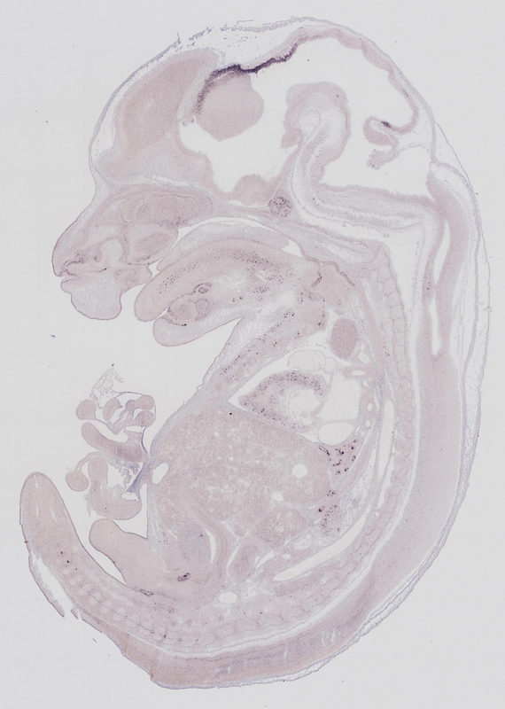
TS23: pituitary gland Moderate Regionally restricted euxassay_000235_14
TS23: lung Moderate Regionally restricted euxassay_000235_14
TS23: diencephalon roof plate Strong Regionally restricted euxassay_000235_14
TS23: esophagus Weak Regionally restricted euxassay_000235_14
TS23: urethra Moderate Regionally restricted euxassay_000235_14 Originally this result was annotated to a male-specific term, but as the specimen was not sexed, it is likely the data annotator intended to use a non-sex specific term.
TS23: naris Weak Regionally restricted euxassay_000235_14

Specimen euxassay_000235_15: embryonic day 14.5 (more )
Structure Level Pattern Image Note
TS23: pituitary gland Weak Regionally restricted euxassay_000235_15
TS23: lung Moderate Regionally restricted euxassay_000235_15
TS23: diencephalon roof plate Strong Regionally restricted euxassay_000235_15
TS23: esophagus Weak Regionally restricted euxassay_000235_15
TS23: urethra Moderate Regionally restricted euxassay_000235_15 Originally this result was annotated to a male-specific term, but as the specimen was not sexed, it is likely the data annotator intended to use a non-sex specific term.
TS23: naris Weak Regionally restricted euxassay_000235_15

Specimen euxassay_000235_16: embryonic day 14.5 (more )
Structure Level Pattern Image Note
TS23: pituitary gland Weak Regionally restricted euxassay_000235_16
TS23: lung Moderate Regionally restricted euxassay_000235_16
TS23: diencephalon roof plate Strong Regionally restricted euxassay_000235_16
TS23: esophagus Weak Regionally restricted euxassay_000235_16
TS23: urethra Moderate Regionally restricted euxassay_000235_16 Originally this result was annotated to a male-specific term, but as the specimen was not sexed, it is likely the data annotator intended to use a non-sex specific term.

Specimen euxassay_000235_17: embryonic day 14.5 (more )
Structure Level Pattern Image Note
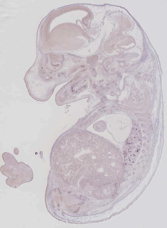
TS23: lung Moderate Regionally restricted euxassay_000235_17

Specimen euxassay_000235_18: embryonic day 14.5 (more )
Structure Level Pattern Image Note
TS23: lung Moderate Regionally restricted euxassay_000235_18
TS23: naris Weak Regionally restricted euxassay_000235_18

Specimen euxassay_000235_19: embryonic day 14.5 (more )
Structure Level Pattern Image Note
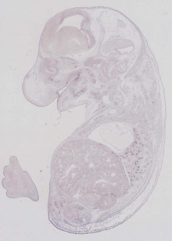
TS23: lung Moderate Regionally restricted euxassay_000235_19
TS23: naris Weak Regionally restricted euxassay_000235_19

Specimen euxassay_000235_20: embryonic day 14.5 (more )
Structure Level Pattern Image Note
TS23: lung Moderate Regionally restricted euxassay_000235_20

Specimen euxassay_000235_21: embryonic day 14.5 (more )
Structure Level Pattern Image Note
TS23: lung Moderate Regionally restricted euxassay_000235_21

Specimen euxassay_000235_22: embryonic day 14.5 (more )
Structure Level Pattern Image Note
TS23: lung Moderate Regionally restricted euxassay_000235_22

Specimen euxassay_000235_23: embryonic day 14.5 (more )
Structure Level Pattern Image Note
TS23: lung Moderate Regionally restricted euxassay_000235_23

Specimen euxassay_000235_24: embryonic day 14.5 (more )
Structure Level Pattern Image Note
TS23: lung Moderate Regionally restricted euxassay_000235_24


Contributing Projects:
Mouse Genome Database (MGD), Gene Expression Database (GXD), Mouse Models of Human Cancer database (MMHCdb) (formerly Mouse Tumor Biology (MTB)), Gene Ontology (GO)
Citing These Resources
Funding Information
Warranty Disclaimer, Privacy Notice, Licensing, & Copyright
Send questions and comments to User Support.
last database update
01/20/2026
MGI 6.24
The Jackson Laboratory