About   Help   FAQ
Gene Expression Data
Assay Details
Assay
Reference: J:153498 Diez-Roux G, et al., A high-resolution anatomical atlas of the transcriptome in the mouse embryo. PLoS Biol. 2011;9(1):e1000582
Assay type: RNA in situ
MGI Accession ID: MGI:4822589
Gene symbol: Rab5if
Gene name: RAB5 interacting factor
Probe: MGC clone 30558
Probe preparation: Antisense labelled with digoxigenin RNA
Visualized with: Alkaline phosphatase
Assay notes: Cryosections of fresh frozen material were fixed in 4% paraformaldehyde for 20 min. before further processing. A tyramide-biotin/streptavidin amplification step was included in the in situ hybridization procedure.
Results
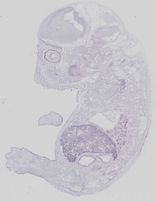
Specimen euxassay_001851_01: embryonic day 14.5 (more )
Structure Level Pattern Image Note
TS23: liver lobe Strong Uniform euxassay_001851_01

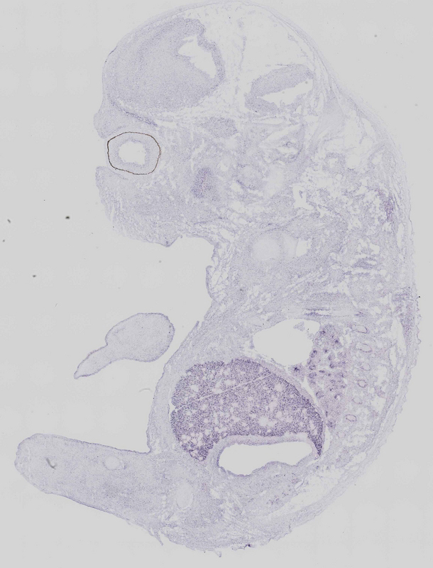
Specimen euxassay_001851_02: embryonic day 14.5 (more )
Structure Level Pattern Image Note
TS23: liver lobe Strong Uniform euxassay_001851_02

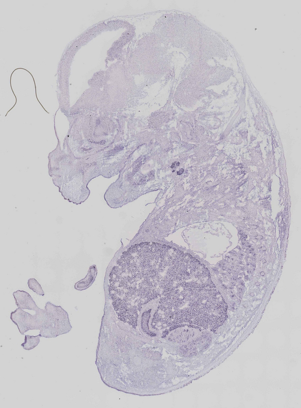
Specimen euxassay_001851_03: embryonic day 14.5 (more )
Structure Level Pattern Image Note
TS23: liver lobe Strong Uniform euxassay_001851_03

Specimen euxassay_001851_04: embryonic day 14.5 (more )
Structure Level Pattern Image Note
TS23: liver lobe Strong Uniform euxassay_001851_04

Specimen euxassay_001851_05: embryonic day 14.5 (more )
Structure Level Pattern Image Note
TS23: liver lobe Strong Uniform euxassay_001851_05
TS23: submandibular gland primordium Strong Regionally restricted euxassay_001851_05

Specimen euxassay_001851_06: embryonic day 14.5 (more )
Structure Level Pattern Image Note
TS23: liver lobe Strong Uniform euxassay_001851_06
TS23: submandibular gland primordium Strong Regionally restricted euxassay_001851_06
TS23: adrenal gland Moderate Regionally restricted euxassay_001851_06

Specimen euxassay_001851_07: embryonic day 14.5 (more )
Structure Level Pattern Image Note
TS23: liver lobe Strong Uniform euxassay_001851_07
TS23: submandibular gland primordium Strong Regionally restricted euxassay_001851_07
TS23: adrenal gland Moderate Regionally restricted euxassay_001851_07

Specimen euxassay_001851_08: embryonic day 14.5 (more )
Structure Level Pattern Image Note
TS23: liver lobe Strong Uniform euxassay_001851_08
TS23: thymus primordium Moderate Regionally restricted euxassay_001851_08

Specimen euxassay_001851_09: embryonic day 14.5 (more )
Structure Level Pattern Image Note
TS23: liver lobe Strong Uniform euxassay_001851_09
TS23: esophagus Moderate Regionally restricted euxassay_001851_09
TS23: thymus primordium Weak Regionally restricted euxassay_001851_09

Specimen euxassay_001851_10: embryonic day 14.5 (more )
Structure Level Pattern Image Note
TS23: liver lobe Strong Uniform euxassay_001851_10
TS23: thymus primordium Weak Regionally restricted euxassay_001851_10
TS23: hindgut Moderate Regionally restricted euxassay_001851_10

Specimen euxassay_001851_11: embryonic day 14.5 (more )
Structure Level Pattern Image Note
TS23: liver lobe Strong Uniform euxassay_001851_11
TS23: thymus primordium Weak Regionally restricted euxassay_001851_11
TS23: rectum Moderate Regionally restricted euxassay_001851_11
TS23: hindgut Moderate Regionally restricted euxassay_001851_11

Specimen euxassay_001851_12: embryonic day 14.5 (more )
Structure Level Pattern Image Note
TS23: liver lobe Moderate Uniform euxassay_001851_12
TS23: thymus primordium Weak Regionally restricted euxassay_001851_12

Specimen euxassay_001851_13: embryonic day 14.5 (more )
Structure Level Pattern Image Note
TS23: liver lobe Moderate Uniform euxassay_001851_13

Specimen euxassay_001851_14: embryonic day 14.5 (more )
Structure Level Pattern Image Note
TS23: liver lobe Moderate Uniform euxassay_001851_14
TS23: submandibular gland primordium Strong Regionally restricted euxassay_001851_14
TS23: adrenal gland Moderate Regionally restricted euxassay_001851_14

Specimen euxassay_001851_15: embryonic day 14.5 (more )
Structure Level Pattern Image Note
TS23: liver lobe Strong Uniform euxassay_001851_15
TS23: submandibular gland primordium Strong Regionally restricted euxassay_001851_15
TS23: adrenal gland Moderate Regionally restricted euxassay_001851_15

Specimen euxassay_001851_16: embryonic day 14.5 (more )
Structure Level Pattern Image Note
TS23: liver lobe Strong Uniform euxassay_001851_16
TS23: submandibular gland primordium Strong Regionally restricted euxassay_001851_16

Specimen euxassay_001851_17: embryonic day 14.5 (more )
Structure Level Pattern Image Note
TS23: liver lobe Strong Uniform euxassay_001851_17

Specimen euxassay_001851_18: embryonic day 14.5 (more )
Structure Level Pattern Image Note
TS23: liver lobe Strong Uniform euxassay_001851_18

Specimen euxassay_001851_19: embryonic day 14.5 (more )
Structure Level Pattern Image Note
TS23: liver lobe Strong Uniform euxassay_001851_19


Contributing Projects:
Mouse Genome Database (MGD), Gene Expression Database (GXD), Mouse Models of Human Cancer database (MMHCdb) (formerly Mouse Tumor Biology (MTB)), Gene Ontology (GO)
Citing These Resources
Funding Information
Warranty Disclaimer, Privacy Notice, Licensing, & Copyright
Send questions and comments to User Support.
last database update
01/20/2026
MGI 6.24
The Jackson Laboratory