About   Help   FAQ
Gene Expression Data
Assay Details
Assay
Reference: J:153498 Diez-Roux G, et al., A high-resolution anatomical atlas of the transcriptome in the mouse embryo. PLoS Biol. 2011;9(1):e1000582
Assay type: RNA in situ
MGI Accession ID: MGI:4822580
Gene symbol: Sanbr
Gene name: SANT and BTB domain regulator of CSR
Probe: IMAGE clone 821031
Probe preparation: Antisense labelled with digoxigenin RNA
Visualized with: Alkaline phosphatase
Assay notes: Cryosections of fresh frozen material were fixed in 4% paraformaldehyde for 20 min. before further processing. A tyramide-biotin/streptavidin amplification step was included in the in situ hybridization procedure.
Results
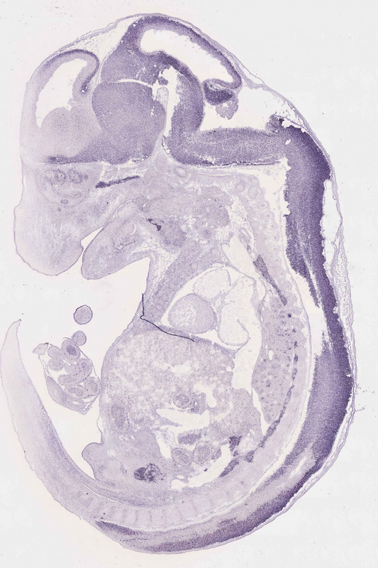
Specimen euxassay_002579_01: embryonic day 14.5 (more )
Structure Level Pattern Image Note
TS23: brain Strong Uniform euxassay_002579_01
TS23: neural retina Strong Regionally restricted euxassay_002579_01

Specimen euxassay_002579_02: embryonic day 14.5 (more )
Structure Level Pattern Image Note
TS23: brain Strong Uniform euxassay_002579_02
TS23: neural retina Strong Regionally restricted euxassay_002579_02

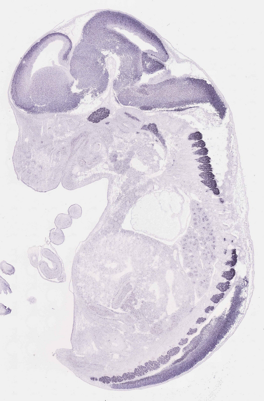
Specimen euxassay_002579_03: embryonic day 14.5 (more )
Structure Level Pattern Image Note
TS23: brain Strong Uniform euxassay_002579_03

Specimen euxassay_002579_04: embryonic day 14.5 (more )
Structure Level Pattern Image Note
TS23: brain Strong Uniform euxassay_002579_04
TS23: trigeminal ganglion Strong Regionally restricted euxassay_002579_04
TS23: facial ganglion Strong Regionally restricted euxassay_002579_04

Specimen euxassay_002579_05: embryonic day 14.5 (more )
Structure Level Pattern Image Note
TS23: brain Strong Uniform euxassay_002579_05
TS23: facial ganglion Strong Regionally restricted euxassay_002579_05
TS23: trigeminal ganglion Strong Regionally restricted euxassay_002579_05

Specimen euxassay_002579_06: embryonic day 14.5 (more )
Structure Level Pattern Image Note
TS23: brain Strong Uniform euxassay_002579_06
TS23: vestibulo-cochlear ganglion Strong Regionally restricted euxassay_002579_06
TS23: trigeminal ganglion Strong Regionally restricted euxassay_002579_06
TS23: facial ganglion Strong Regionally restricted euxassay_002579_06
TS23: olfactory epithelium Moderate Regionally restricted euxassay_002579_06

Specimen euxassay_002579_07: embryonic day 14.5 (more )
Structure Level Pattern Image Note
TS23: brain Strong Uniform euxassay_002579_07
TS23: glossopharyngeal ganglion Strong Regionally restricted euxassay_002579_07
TS23: trigeminal ganglion Strong Regionally restricted euxassay_002579_07
TS23: vestibulo-cochlear ganglion Strong Regionally restricted euxassay_002579_07
TS23: olfactory epithelium Moderate Regionally restricted euxassay_002579_07

Specimen euxassay_002579_08: embryonic day 14.5 (more )
Structure Level Pattern Image Note
TS23: brain Strong Uniform euxassay_002579_08
TS23: glossopharyngeal ganglion Strong Regionally restricted euxassay_002579_08
TS23: trigeminal ganglion Strong Regionally restricted euxassay_002579_08
TS23: vestibulo-cochlear ganglion Strong Regionally restricted euxassay_002579_08
TS23: olfactory epithelium Moderate Regionally restricted euxassay_002579_08

Specimen euxassay_002579_09: embryonic day 14.5 (more )
Structure Level Pattern Image Note
TS23: brain Strong Uniform euxassay_002579_09
TS23: dorsal root ganglion Strong Regionally restricted euxassay_002579_09
TS23: olfactory epithelium Moderate Regionally restricted euxassay_002579_09
TS23: cervical ganglion Moderate Regionally restricted euxassay_002579_09

Specimen euxassay_002579_10: embryonic day 14.5 (more )
Structure Level Pattern Image Note
TS23: brain Strong Uniform euxassay_002579_10
TS23: dorsal root ganglion Strong Regionally restricted euxassay_002579_10
TS23: olfactory epithelium Moderate Regionally restricted euxassay_002579_10
TS23: cervico-thoracic ganglion Moderate Regionally restricted euxassay_002579_10

Specimen euxassay_002579_11: embryonic day 14.5 (more )
Structure Level Pattern Image Note
TS23: brain Strong Uniform euxassay_002579_11
TS23: spinal cord Strong Uniform euxassay_002579_11
TS23: dorsal root ganglion Strong Regionally restricted euxassay_002579_11
TS23: olfactory epithelium Moderate Regionally restricted euxassay_002579_11

Specimen euxassay_002579_12: embryonic day 14.5 (more )
Structure Level Pattern Image Note
TS23: spinal cord Strong Uniform euxassay_002579_12
TS23: brain Strong Uniform euxassay_002579_12
TS23: dorsal root ganglion Strong Regionally restricted euxassay_002579_12
TS23: olfactory epithelium Moderate Regionally restricted euxassay_002579_12

Specimen euxassay_002579_13: embryonic day 14.5 (more )
Structure Level Pattern Image Note
TS23: brain Strong Uniform euxassay_002579_13
TS23: spinal cord Strong Uniform euxassay_002579_13
TS23: dorsal root ganglion Strong Regionally restricted euxassay_002579_13
TS23: olfactory epithelium Moderate Regionally restricted euxassay_002579_13

Specimen euxassay_002579_14: embryonic day 14.5 (more )
Structure Level Pattern Image Note
TS23: spinal cord Strong Uniform euxassay_002579_14
TS23: brain Strong Uniform euxassay_002579_14
TS23: dorsal root ganglion Strong Regionally restricted euxassay_002579_14
TS23: olfactory epithelium Weak Regionally restricted euxassay_002579_14
TS23: thoracic ganglion Moderate Regionally restricted euxassay_002579_14

Specimen euxassay_002579_15: embryonic day 14.5 (more )
Structure Level Pattern Image Note
TS23: spinal cord Strong Uniform euxassay_002579_15
TS23: brain Strong Uniform euxassay_002579_15
TS23: olfactory epithelium Moderate Regionally restricted euxassay_002579_15
TS23: thoracic ganglion Moderate Regionally restricted euxassay_002579_15

Specimen euxassay_002579_16: embryonic day 14.5 (more )
Structure Level Pattern Image Note
TS23: spinal cord Strong Uniform euxassay_002579_16
TS23: brain Strong Uniform euxassay_002579_16
TS23: olfactory epithelium Weak Regionally restricted euxassay_002579_16
TS23: cervico-thoracic ganglion Moderate Regionally restricted euxassay_002579_16
TS23: thoracic ganglion Moderate Regionally restricted euxassay_002579_16

Specimen euxassay_002579_17: embryonic day 14.5 (more )
Structure Level Pattern Image Note
TS23: spinal cord Strong Uniform euxassay_002579_17
TS23: brain Strong Uniform euxassay_002579_17
TS23: trigeminal ganglion Strong Regionally restricted euxassay_002579_17
TS23: dorsal root ganglion Strong Regionally restricted euxassay_002579_17
TS23: cervical ganglion Moderate Regionally restricted euxassay_002579_17
TS23: cervico-thoracic ganglion Moderate Regionally restricted euxassay_002579_17

Specimen euxassay_002579_18: embryonic day 14.5 (more )
Structure Level Pattern Image Note
TS23: spinal cord Strong Uniform euxassay_002579_18
TS23: brain Strong Uniform euxassay_002579_18
TS23: vagus ganglion Strong Regionally restricted euxassay_002579_18
TS23: trigeminal ganglion Strong Regionally restricted euxassay_002579_18
TS23: vestibulo-cochlear ganglion Strong Regionally restricted euxassay_002579_18
TS23: dorsal root ganglion Strong Regionally restricted euxassay_002579_18
TS23: cervical ganglion Moderate Regionally restricted euxassay_002579_18

Specimen euxassay_002579_19: embryonic day 14.5 (more )
Structure Level Pattern Image Note
TS23: spinal cord Strong Uniform euxassay_002579_19
TS23: brain Strong Uniform euxassay_002579_19
TS23: glossopharyngeal ganglion Strong Regionally restricted euxassay_002579_19
TS23: vestibulo-cochlear ganglion Strong Regionally restricted euxassay_002579_19
TS23: trigeminal ganglion Strong Regionally restricted euxassay_002579_19
TS23: facial ganglion Strong Regionally restricted euxassay_002579_19
TS23: dorsal root ganglion Strong Regionally restricted euxassay_002579_19

Specimen euxassay_002579_20: embryonic day 14.5 (more )
Structure Level Pattern Image Note
TS23: brain Strong Uniform euxassay_002579_20
TS23: glossopharyngeal ganglion Strong Regionally restricted euxassay_002579_20
TS23: vestibulo-cochlear ganglion Strong Regionally restricted euxassay_002579_20
TS23: trigeminal ganglion Strong Regionally restricted euxassay_002579_20
TS23: facial ganglion Strong Regionally restricted euxassay_002579_20
TS23: dorsal root ganglion Strong Regionally restricted euxassay_002579_20

Specimen euxassay_002579_21: embryonic day 14.5 (more )
Structure Level Pattern Image Note
TS23: brain Strong Uniform euxassay_002579_21
TS23: trigeminal ganglion Strong Regionally restricted euxassay_002579_21
TS23: facial ganglion Strong Regionally restricted euxassay_002579_21
TS23: neural retina Strong Regionally restricted euxassay_002579_21

Specimen euxassay_002579_22: embryonic day 14.5 (more )
Structure Level Pattern Image Note
TS23: brain Strong Uniform euxassay_002579_22
TS23: trigeminal ganglion Strong Regionally restricted euxassay_002579_22
TS23: facial ganglion Strong Regionally restricted euxassay_002579_22
TS23: neural retina Strong Regionally restricted euxassay_002579_22

Specimen euxassay_002579_23: embryonic day 14.5 (more )
Structure Level Pattern Image Note
TS23: brain Strong Uniform euxassay_002579_23
TS23: trigeminal ganglion Strong Regionally restricted euxassay_002579_23
TS23: neural retina Strong Regionally restricted euxassay_002579_23


Contributing Projects:
Mouse Genome Database (MGD), Gene Expression Database (GXD), Mouse Models of Human Cancer database (MMHCdb) (formerly Mouse Tumor Biology (MTB)), Gene Ontology (GO)
Citing These Resources
Funding Information
Warranty Disclaimer, Privacy Notice, Licensing, & Copyright
Send questions and comments to User Support.
last database update
12/30/2025
MGI 6.24
The Jackson Laboratory