About   Help   FAQ
Gene Expression Data
Assay Details
Assay
Reference: J:10348 Kadomatsu K, et al., A retinoic acid responsive gene MK found in the teratocarcinoma system is expressed in spatially and temporally controlled manner during mouse embryogenesis. J Cell Biol. 1990 Mar;110(3):607-16
Assay type: RNA in situ
MGI Accession ID: MGI:4821438
Gene symbol: Mdk
Gene name: midkine
Probe: Mdk cDNA1
Probe preparation: Antisense labelled with S35 RNA
Results
Specimen 1b: embryonic day 5.5 (more )
Structure Level Pattern Image Note
TS8: embryo Absent 1b

Specimen 1e: embryonic day 7.5 (more )
Structure Level Pattern Image Note
TS11: embryo Present Uniform 1e
TS11: ectoplacental cone Absent 1e
TS28: decidua Absent 1e

Specimen 1h: embryonic day 9.5 (more )
Structure Level Pattern Image Note
TS15: embryo Present Uniform 1h
TS15: future brain Present 1h
TS15: gut Present 1h
TS15: otocyst Present 1h
TS15: somite Present 1h

Specimen 1o: embryonic day 7.5 (more )
Structure Level Pattern Image Note
TS11: embryo Present 1o
TS11: ectoplacental cone Absent 1o

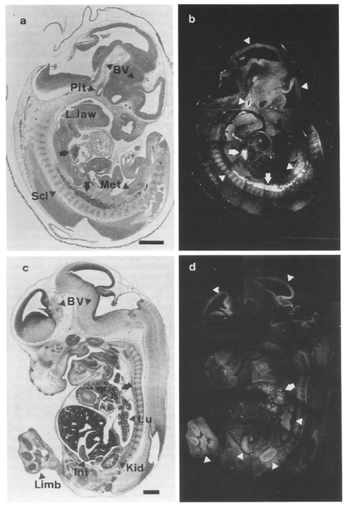
Specimen 2b: embryonic day 11.5 (more )
Structure Level Pattern Image Note
TS19: embryo Present Regionally restricted 2b Expression was detected at some level over the entire embryo.
TS19: brain Present Regionally restricted 2b Expression is in the brain ectoderm around the lens and brain ventricles.
TS19: future adenohypophysis Present 2b
TS19: jaw primordium Present 2b
TS19: limb Present 2b
TS19: lung Present 2b
TS19: metanephros Present 2b
TS19: pancreas primordium Present 2b
TS19: stomach Present 2b
TS19: sclerotome Present Regionally restricted 2b Expression is in the caudal half.
TS19: intestine Present Regionally restricted 2b Expression is in the small intestine.

Specimen 2d: embryonic day 13.5 (more )
Structure Level Pattern Image Note
TS21: brain Present Regionally restricted 2d Expression is in the brain ectoderm around the lens and brain ventricles.
TS21: adenohypophysis Present 2d
TS21: limb Present 2d
TS21: lower jaw Present 2d
TS21: lung Present 2d
TS21: metanephros Present 2d
TS21: pancreas Present 2d
TS21: stomach Present 2d
TS21: upper jaw Present 2d
TS21: intestine Present Regionally restricted 2d Expression is in the small intestine.
TS21: tail sclerotome Present Regionally restricted 2d Expression is in the caudal half.

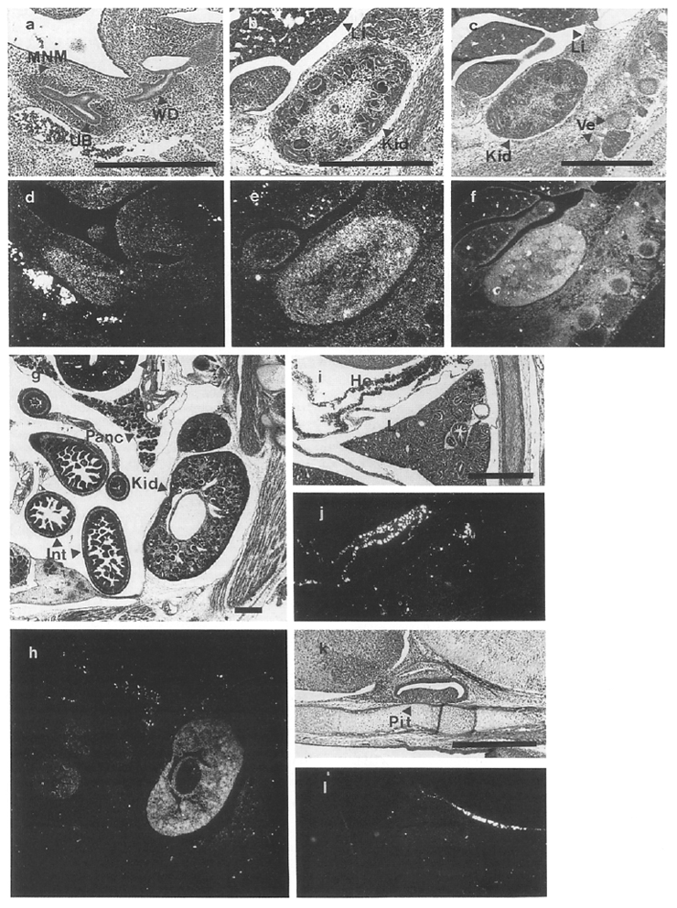
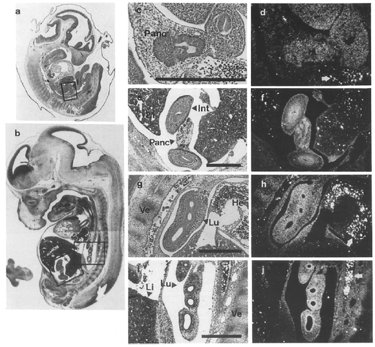
Specimen 3d: embryonic day 11.5 (more )
Structure Level Pattern Image Note
TS19: pancreas primordium Present Patchy 3d Expression corresponds to the endodermal epithelium.

Specimen 3f: embryonic day 13.5 (more )
Structure Level Pattern Image Note
TS21: pancreas Present Patchy 3f Expression corresponds to the endodermal epithelium.
TS21: intestine epithelium Very strong 3f
TS21: intestine mesenchyme Absent 3f

Specimen 3h: embryonic day 11.5 (more )
Structure Level Pattern Image Note
TS19: lung epithelium Very strong 3h
TS19: lung mesenchyme Weak 3h

Specimen 3j: embryonic day 13.5 (more )
Structure Level Pattern Image Note
TS21: lung epithelium Very strong 3j
TS21: lung mesenchyme Present 3j

Specimen 4d: embryonic day 11.5 (more )
Structure Level Pattern Image Note
TS19: Rathke's pouch Very strong 4d

Specimen 4e: embryonic day 13.5 (more )
Structure Level Pattern Image Note
TS21: adenohypophysis Very strong 4e

Specimen 4f: embryonic day 11.5 (more )
Structure Level Pattern Image Note
TS19: retina Very strong 4f
TS19: eye Weak 4f

Specimen 4j: embryonic day 13.5 (more )
Structure Level Pattern Image Note
TS21: cornea Very strong 4j
TS21: retina Very strong 4j
TS21: lens Weak 4j

Specimen 4k: embryonic day 11.5 (more )
Structure Level Pattern Image Note
TS19: brain Present Regionally restricted 4k Expression is in the brain ectoderm around the ventricles.

Specimen 4l: embryonic day 13.5 (more )
Structure Level Pattern Image Note
TS21: brain Present Regionally restricted 4l Expression is in the brain ectoderm around the ventricles.

Specimen 5d: embryonic day 11.5 (more )
Structure Level Pattern Image Note
TS19: sclerotome Very strong Regionally restricted 5d Expression is in the caudal half.

Specimen 5e: embryonic day 11.5 (more )
Structure Level Pattern Image Note
TS19: jaw primordium Present Uniform 5e Upper and lower jaw.

Specimen 5f: embryonic day 13.5 (more )
Structure Level Pattern Image Note
TS21: limb Present Uniform 5f Expression in the center of pre-cartilage was slightly less compared to the rest of the limb.

Specimen 6d: embryonic day 11.5 (more )
Structure Level Pattern Image Note
TS19: metanephric mesenchyme Present 6d
TS19: ureteric bud Present 6d

Specimen 6e: embryonic day 13.5 (more )
Structure Level Pattern Image Note
TS21: metanephros Present Patchy 6e

Specimen 6f: embryonic day 13.5 (more )
Structure Level Pattern Image Note
TS21: vertebral cartilage condensation Present Regionally restricted 6f Expression is in the peripheral region of each vertebral body.
TS21: metanephros Present Patchy 6f Expression is in epithelial cells.

Specimen 6h: embryonic day 15.5 (more )
Structure Level Pattern Image Note
TS23: metanephros Present Patchy 6h

Specimen 6j: embryonic day 15.5 (more )
Structure Level Pattern Image Note
TS23: metanephros Present 6j

Specimen 6l: embryonic day 15.5 (more )
Structure Level Pattern Image Note
TS23: metanephros Present 6l


Contributing Projects:
Mouse Genome Database (MGD), Gene Expression Database (GXD), Mouse Models of Human Cancer database (MMHCdb) (formerly Mouse Tumor Biology (MTB)), Gene Ontology (GO)
Citing These Resources
Funding Information
Warranty Disclaimer, Privacy Notice, Licensing, & Copyright
Send questions and comments to User Support.
last database update
12/30/2025
MGI 6.24
The Jackson Laboratory