About   Help   FAQ
Gene Expression Data
Assay Details
Assay
Reference: J:56624 Nakamura T, et al., DANCE, a novel secreted RGD protein expressed in developing, atherosclerotic, and balloon-injured arteries. J Biol Chem. 1999 Aug 6;274(32):22476-83
Assay type: RNA in situ
MGI Accession ID: MGI:3848491
Gene symbol: Fbln5
Gene name: fibulin 5
Probe: DANCE cDNA
Probe preparation: Antisense labelled with S35 RNA
Visualized with: Autoradiography
Assay notes: Darkfield/brightfield pairs.
Results
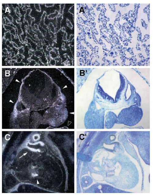
Specimen 5A,A': embryonic day 8.5 (more )
Structure Level Pattern Image Note
TS28: placenta Present Regionally restricted 5A/A' Expression is in the endothelial cells.

Specimen Not shown: embryonic day 8.5 (more )
Structure Level Pattern Image Note
TS13: embryo Absent

Specimen 5B,B': embryonic day 9.5 (more )
Structure Level Pattern Image Note
TS15: migrating neural crest Present 5B/B'
TS15: pericardial component Present 5B/B'
TS15: central nervous system Absent 5B/B'

Specimen 5C,C': embryonic day 12.5 (more )
Structure Level Pattern Image Note
TS20: endocardial cushion Present 5C/C'
TS20: outflow tract Present 5C/C'
TS20: dorsal aorta Present Regionally restricted 5C/C' Expression is in endothelial cells and in smooth muscle cells.

Specimen 6A,A': embryonic day 12.5 (more )
Structure Level Pattern Image Note
TS20: head mesenchyme Present 6A/A'
TS20: trunk mesenchyme Present Regionally restricted 6A/A' Expression is in intersomitic mesenchyme and other mesenchymal tissues.

Specimen Not shown: embryonic day 14.5 (more )
Structure Level Pattern Image Note
TS22: dorsal aorta Strong
TS22: head mesenchyme Present
TS22: outflow tract Present
TS22: sympathetic ganglion Present
TS22: embryo mesenchyme Present Regionally restricted Expression is in mesenchymal tissues in proximity to developing cartilage.
TS22: adrenal gland Absent

Specimen 7A,A': postnatal adult (more )
Structure Level Pattern Image Note
TS28: aorta Strong Regionally restricted 7A/A' Expression is in intercostal branching points in the thoracic aorta.


Contributing Projects:
Mouse Genome Database (MGD), Gene Expression Database (GXD), Mouse Models of Human Cancer database (MMHCdb) (formerly Mouse Tumor Biology (MTB)), Gene Ontology (GO)
Citing These Resources
Funding Information
Warranty Disclaimer, Privacy Notice, Licensing, & Copyright
Send questions and comments to User Support.
last database update
01/06/2026
MGI 6.24
The Jackson Laboratory