About   Help   FAQ
Gene Expression Data
Assay Details
Assay
Reference: J:15712 Valarche I, et al., The mouse homeodomain protein Phox2 regulates Ncam promoter activity in concert with Cux/CDP and is a putative determinant of neurotransmitter phenotype. Development. 1993 Nov;119(3):881-96
Assay type: RNA in situ
MGI Accession ID: MGI:3846219
Gene symbol: Ncam1
Gene name: neural cell adhesion molecule 1
Probe: DW3-le
Probe preparation: Antisense labelled with S35 RNA
Visualized with: Autoradiography
Results
Specimen 6 NCAM top: embryonic day 13.5 (more )
Structure Level Pattern Image Note
TS21: dorsal root ganglion Present 6_NCAM top

Specimen 6 NCAM center: embryonic day 13.5 (more )
Structure Level Pattern Image Note
TS21: spinal cord Present 6_NCAM center

Specimen 6 NCAM bottom: embryonic day 13.5 (more )
Structure Level Pattern Image Note
TS21: gland Present 6_NCAM bottom

Specimen 7A: embryonic day 13.0 (more )
Structure Level Pattern Image Note
TS21: superior cervical ganglion Present 7A Expression in sympathetic (superior cervical) ganglia.
TS21: parasympathetic nervous system Present Regionally restricted 7A Expression in parasympathetic (submandibular and sphenopalatine) ganglia.
TS21: inferior vagus ganglion Present 7A Expression in the nodose (X) and trigeminal (V) ganglia.
TS21: trigeminal ganglion Present 7A Expression in the nodose (X) and trigeminal (V) ganglia.

Specimen 7C: embryonic day 13.0 (more )
Structure Level Pattern Image Note
TS21: enteric nervous system Present Regionally restricted 7C Expression in enteric ganglia (in the wall of the stomach).
TS21: gland Present Regionally restricted 7C Expression in the anlage of the adrenal medulla.

Specimen not shown E10: embryonic day 10.0 (more )
Structure Level Pattern Image Note
TS16: peripheral nervous system Absent No expression in paraaortic clusters of cells.

Specimen not shown E10.5: embryonic day 10.5 (more )
Structure Level Pattern Image Note
TS17: sympathetic nervous system Present Regionally restricted Expression in paraaortic clusters of cells.

Specimen 9A: embryonic day 10.5 (more )
Structure Level Pattern Image Note
TS17: future spinal cord Present 9A Expression along the mesencephalon and rhombencephalon, extending caudally into the spinal cord region.
TS17: hindbrain Present 9A Expression along the mesencephalon and rhombencephalon, extending caudally into the spinal cord region.
TS17: midbrain Present 9A Expression along the mesencephalon and rhombencephalon, extending caudally into the spinal cord region.
TS17: midbrain-hindbrain junction Absent 9A Expression is interrupted at the mes-metencephalic border.
TS17: 4th branchial arch Strong 9A Strong expression in the 4th branchial arch.

Specimen 11A: embryonic day 10.5 (more )
Structure Level Pattern Image Note
TS17: hindbrain lateral wall Present Regionally restricted 11A Expression in postmitotic neurons in the basal and alar plates.

Specimen 11C: embryonic day 10.5 (more )
Structure Level Pattern Image Note
TS17: midbrain lateral wall Present Regionally restricted 11C Expression in postmitotic neurons in the basal and alar plates.
TS17: rhombomere 4 lateral wall Present Regionally restricted 11C Expression in postmitotic neurons in the basal and alar plates.

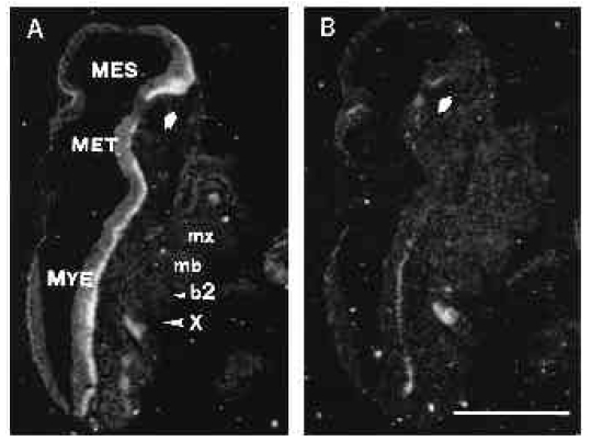
Specimen 12A: embryonic day 13.5 (more )
Structure Level Pattern Image Note
TS21: metencephalon Strong 12A
TS21: midbrain Strong 12A


Contributing Projects:
Mouse Genome Database (MGD), Gene Expression Database (GXD), Mouse Models of Human Cancer database (MMHCdb) (formerly Mouse Tumor Biology (MTB)), Gene Ontology (GO)
Citing These Resources
Funding Information
Warranty Disclaimer, Privacy Notice, Licensing, & Copyright
Send questions and comments to User Support.
last database update
12/30/2025
MGI 6.24
The Jackson Laboratory