About   Help   FAQ
Gene Expression Data
Assay Details
Assay
Reference: J:16397 Oliver G, et al., Prox 1, a prospero-related homeobox gene expressed during mouse development. Mech Dev. 1993 Nov;44(1):3-16
Assay type: RNA in situ
MGI Accession ID: MGI:3842506
Gene symbol: Prox1
Gene name: prospero homeobox 1
Probe: Prox1 homeobox probe
Probe preparation: Antisense labelled with P33 RNA
Visualized with: Autoradiography
Results
Specimen Not shown: embryonic day 10.0-10.5 (more )
Structure Level Pattern Image Note
TS17: future spinal cord Weak This is the first expression seen in the central nervous system.
TS17: optic cup Weak There is weak expression in the optic vesicles.

Specimen Not shown: embryonic day 10.5 (more )
Structure Level Pattern Image Note
TS17: heart Present
TS17: pancreas primordium Present Expression is present in the enlarged endodermal portion of the dorsal pancreas.

Specimen 3A/B: embryonic day 12.5 (more )
Note: This is a parasagittal section.
Structure Level Pattern Image Note
TS20: central nervous system Present Regionally restricted 3A/B Expression is found all along the antero-posterior axis of the developing neural tube.
TS20: alar columns Present Regionally restricted 3A/B Expression is found all along the antero-posterior axis of the developing neural tube, with a restriction to the dorsal alar plate.

Specimen 3C/D: embryonic day 12.5 (more )
Note: This is an oblique section.
Structure Level Pattern Image Note
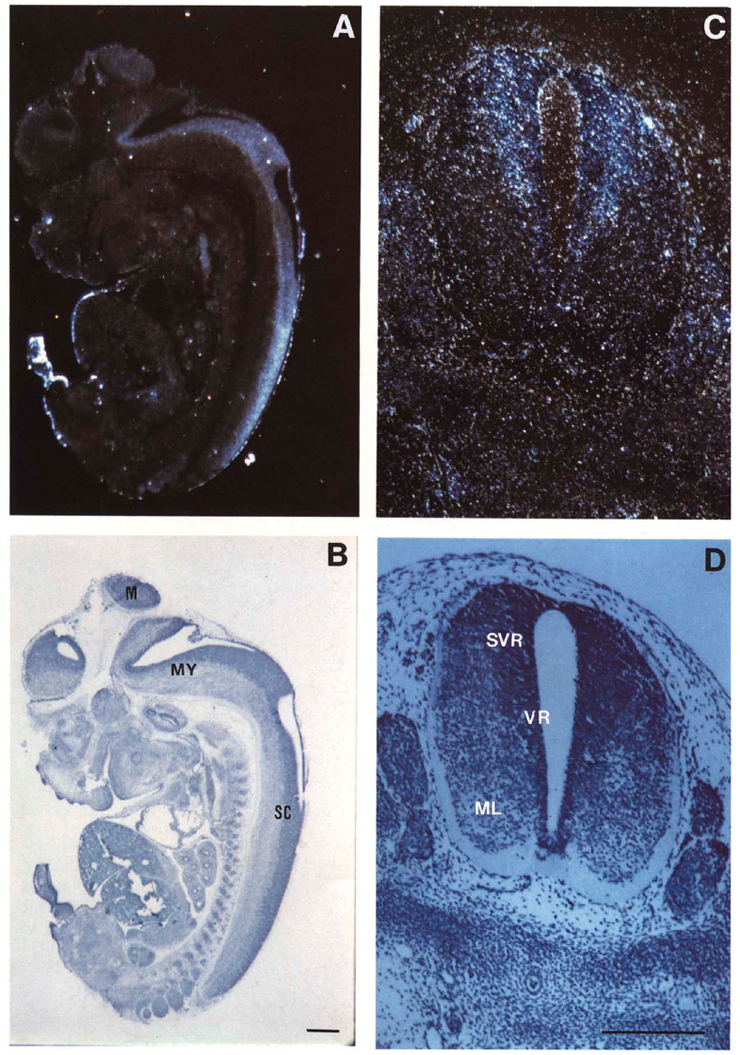
TS20: spinal cord lateral wall Present Regionally restricted 3C/D Expression is present in postmitotic subventricular neurons in the subventricular region of the tube. There maybe a few labeled cells present in the ventricular region as well.

Specimen 4A/B: embryonic day 12.5 (more )
Note: This is a parasagittal section.
Structure Level Pattern Image Note
TS20: forebrain Present 4A/B Expression is mainly in the subventricular region containing undifferentiated neurons.
TS20: ganglionic eminence Present 4A/B Expression is mainly in the subventricular region containing undifferentiated neurons.
TS20: medulla oblongata Present 4A/B Expression is mainly in the subventricular region containing undifferentiated neurons.
TS20: telencephalon Present 4A/B Areas of expression include the hippocampus.

Specimen 4C/D: embryonic day 12.5 (more )
Note: This is a parasagittal section.
Structure Level Pattern Image Note
TS20: forebrain Present 4C/D Expression is mainly in the subventricular region containing undifferentiated neurons.
TS20: ganglionic eminence Present 4C/D Expression is mainly in the subventricular region containing undifferentiated neurons.
TS20: medulla oblongata Present 4C/D Expression is mainly in the subventricular region containing undifferentiated neurons.
TS20: midbrain Weak Regionally restricted 4C/D There is weak expression in the roof.
TS20: diencephalon Present Regionally restricted 4C/D Expression is present in the mammillary area.
TS20: thalamus Present Regionally restricted 4C/D Expression levels are strong in the ventral thalmus and moderate in the dorsal thalamus.
TS20: epithalamus Present Non-Uniform 4C/D There is moderate expression in the habenula and faint expression in the epithalmic region.

Specimen 4E/F: embryonic day 12.5 (more )
Note: This is a parasagittal section.
Structure Level Pattern Image Note
TS20: forebrain Present 4E/F Expression is mainly in the subventricular region containing undifferentiated neurons.
TS20: ganglionic eminence Present 4E/F Expression is mainly in the subventricular region containing undifferentiated neurons.
TS20: medulla oblongata Present 4E/F Expression is mainly in the subventricular region containing undifferentiated neurons.
TS20: pons Present 4E/F Expression is mainly in the subventricular region containing undifferentiated neurons.
TS20: telencephalon Present 4E/F Expression is mainly in the subventricular region containing undifferentiated neurons.
TS20: pancreas Present 4E/F
TS20: cerebellum primordium Absent 4E/F
TS20: epithalamus Present Non-Uniform 4E/F There is moderate expression in the habenula and faint expression in the epithalmic region.
TS20: thalamus Present Non-Uniform 4E/F Expression levels are strong in the ventral thalmus and moderate in the dorsal thalamus.
TS20: diencephalon Present 4E/F Areas of expression include the mammillary area.
TS20: optic chiasma Present 4E/F

Specimen 4G/H: embryonic day 12.5 (more )
Note: This is a parasagittal section.
Structure Level Pattern Image Note
TS20: forebrain Present 4G/H Expression is mainly in the subventricular region containing undifferentiated neurons.
TS20: ganglionic eminence Present 4G/H Expression is mainly in the subventricular region containing undifferentiated neurons.
TS20: medulla oblongata Present 4G/H Expression is mainly in the subventricular region containing undifferentiated neurons.
TS20: pons Present 4G/H Expression is mainly in the subventricular region containing undifferentiated neurons.
TS20: telencephalon Present 4G/H Expression is mainly in the subventricular region containing undifferentiated neurons.
TS20: midbrain Present 4G/H Areas of expression include the tegmentum.
TS20: cerebellum primordium Absent 4G/H
TS20: thalamus Present Non-Uniform 4G/H Expression levels are strong in the ventral thalmus and moderate in the dorsal thalamus.
TS20: diencephalon Present 4G/H Areas of expression include the mammillary area.
TS20: hypothalamus Present Regionally restricted 4G/H Areas of expression include the postoptic area.

Specimen 5A/B: embryonic day 12.5 (more )
Note: This is a transverse section.
Structure Level Pattern Image Note
TS20: ganglionic eminence Present Regionally restricted 5A/B Expression is restricted to the subventricular region containing undifferentiated neurons.
TS20: hypothalamus Present Regionally restricted 5A/B Expression is restricted to the subventricular region containing undifferentiated neurons.
TS20: medulla oblongata Present Regionally restricted 5A/B Expression is restricted to the subventricular region containing undifferentiated neurons.
TS20: hypothalamus ventricular layer Absent 5A/B
TS20: medulla oblongata ventricular layer Absent 5A/B

Specimen 5C/D: embryonic day 12.5 (more )
Note: This is a transverse section.
Structure Level Pattern Image Note
TS20: ganglionic eminence Present Regionally restricted 5C/D Expression is restricted to the subventricular region containing undifferentiated neurons.
TS20: hypothalamus Present Regionally restricted 5C/D Expression is restricted to the subventricular region containing undifferentiated neurons.
TS20: hypothalamus ventricular layer Absent 5C/D

Specimen 5E/F: embryonic day 12.5 (more )
Note: This is a transverse section.
Structure Level Pattern Image Note
TS20: medulla oblongata Present Regionally restricted 5E/F Expression is restricted to the subventricular region containing undifferentiated neurons.
TS20: medulla oblongata ventricular layer Absent 5E/F
TS20: ganglionic eminence Present Regionally restricted 5E/F , 5G/H Expression is restricted to the subventricular region containing undifferentiated neurons.
TS20: optic chiasma Present Regionally restricted 5G/H , 5E/F Expression is present in the subventricular region of the optic chiasm.

Specimen Not shown: embryonic day 18.5 (more )
Structure Level Pattern Image Note
TS26: central nervous system Trace

Specimen 6A/B: embryonic day 14.5 (more )
Note: This is a sagittal section.
Structure Level Pattern Image Note
TS22: brain Present 6A/B Expression levels are decreasing.
TS22: spinal cord Present 6A/B Expression levels are decreasing.
TS22: hippocampus Present 6A/B
TS22: thalamus Present Non-Uniform 6A/B The strongest expression in the brain at this time is found in the dorsal thalamus; expression in the ventral thalamus is much weaker.
TS22: telencephalon Present Regionally restricted 6A/B Expression is present at the base of the telencephalon.
TS22: heart Present 6A/B
TS22: liver Present 6A/B
TS22: intercostal muscle Present 6A/B
TS22: tongue muscle Present 6A/B

Specimen 7A/B: embryonic day 14.5 (more )
Note: This is a sagittal section.
Structure Level Pattern Image Note
TS22: skeletal muscle Present 7A/B There is transient expression most developing skeletal muscles, including those in the neck and trunk.
TS22: extrinsic ocular muscle Present 7A/B
TS22: forelimb musculature Present 7A/B
TS22: hindlimb musculature Present 7A/B
TS22: intercostal muscle Present 7A/B
TS22: heart Present 7A/B
TS22: liver Present 7A/B

Specimen Not shown: embryonic day 15.5 (more )
Structure Level Pattern Image Note
TS23: skeletal muscle Present Expression is detected in most skeletal muscles of the embryo.

Specimen Not shown: embryonic day 16.0-16.5 (more )
Structure Level Pattern Image Note
TS24: skeletal muscle Absent

Specimen 8A/B: embryonic day 12.5 (more )
Note: This is a transverse section.
Structure Level Pattern Image Note
TS20: lens vesicle Strong Regionally restricted 8A/B Strong expression is present in the non-dividing region of the lens.
TS20: lens vesicle anterior epithelium Absent 8A/B There is no expression in the mitotically active lens epithelium.
TS20: neural retinal epithelium Absent 8A/B

Specimen 9A/B: embryonic day 12.5 (more )
Structure Level Pattern Image Note
TS20: pancreatic duct Present 9A/B Expression is present in the excretory ducts.

Specimen Not shown: embryonic day 14.5 (more )
Structure Level Pattern Image Note
TS22: pancreas Present


Contributing Projects:
Mouse Genome Database (MGD), Gene Expression Database (GXD), Mouse Models of Human Cancer database (MMHCdb) (formerly Mouse Tumor Biology (MTB)), Gene Ontology (GO)
Citing These Resources
Funding Information
Warranty Disclaimer, Privacy Notice, Licensing, & Copyright
Send questions and comments to User Support.
last database update
12/30/2025
MGI 6.24
The Jackson Laboratory