About   Help   FAQ
Gene Expression Data
Assay Details
Assay
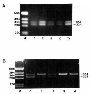
Reference: J:10840 Telford NA, et al., Expression of genes for insulin and insulin-like growth factors and receptors in early postimplantation mouse embryos and embryonal carcinoma cells. Mol Reprod Dev. 1990 Oct;27(2):81-92
Assay type: RT-PCR
MGI Accession ID: MGI:3803314
Gene symbol: Insr
Gene name: insulin receptor
Probe: Insr-pC, Insr-pD
Visualized with: Ethidium bromide
Results
Image: 2A 324bp ©

 Sample Information Bands Other Sample Information
Lane AgeStructure 324 bp Amount Genetic BackgroundMutant Allele(s)Sex
M Mol. Wt. Marker Lane
B E4.5 TS5: blastocyst-stage conceptus Present Not Specified; total RNA CD-1 Not Specified
7 E7.5 TS11: embryo Present 1 µg; total RNA CD-1 Not Specified
8 E8.5 TS13: embryo Present 1 µg; total RNA CD-1 Not Specified
D E7.5 TS28: decidua Present 1 µg; total RNA CD-1 Not Specified
Tr Cultured cells: no data stored

Contributing Projects:
Mouse Genome Database (MGD), Gene Expression Database (GXD), Mouse Models of Human Cancer database (MMHCdb) (formerly Mouse Tumor Biology (MTB)), Gene Ontology (GO)
Citing These Resources
Funding Information
Warranty Disclaimer, Privacy Notice, Licensing, & Copyright
Send questions and comments to User Support.
last database update
12/30/2025
MGI 6.24
The Jackson Laboratory