About   Help   FAQ
Gene Expression Data
Assay Details
Assay
Reference: J:3110 Shamley DR, et al., Ontogeny of calbindin-D28K and calbindin-D9K in the mouse kidney, duodenum, cerebellum and placenta. Development. 1992 Oct;116(2):491-6
Assay type: Immunohistochemistry
MGI Accession ID: MGI:3775232
Gene symbol: Calb1
Gene name: calbindin 1
Antibody: anti-CaBP 28K
Detection system: Secondary antibody coupled to horseradish peroxidase
Results
Specimen E11 not shown: embryonic day 10.5 (more )
Structure Level Pattern Image Note
TS17: nephric duct, mesonephric portion Present Regionally restricted Expression first observed in mesonephric duct and tubules.
TS17: mesonephric tubule Present Expression first observed in mesonephric duct and tubules.

Specimen E12 not shown: embryonic day 11.5 (more )
Structure Level Pattern Image Note
TS19: metanephros Present Expression first observed in metanephric duct.

Specimen E15 not shown: embryonic day 14.5 (more )
Structure Level Pattern Image Note
TS22: mesonephros Absent No expression in the mesonephros.

Specimen 3B: embryonic day 14.5 (more )
Structure Level Pattern Image Note
TS22: renal tubule Present 3B Expression in metanephric tubules.

Specimen 4: embryonic day 15.5 (more )
Structure Level Pattern Image Note
TS23: duodenum Present Regionally restricted 4 Generally diffuse cytoplasmic expression in short, thick immature duodenal villi. Some expression extending into apical cytoplasmic process of an 'open type' gut endocrine cell.

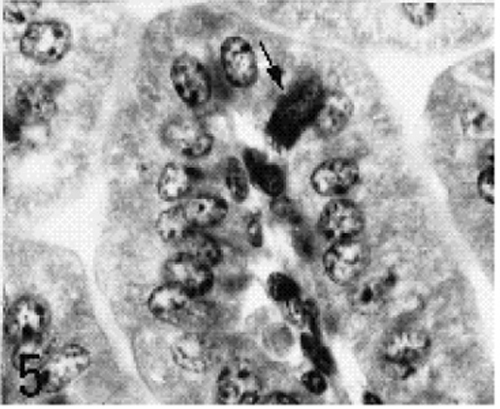
Specimen 5: embryonic day 17.5 (more )
Structure Level Pattern Image Note
TS25: duodenum Present Regionally restricted 5 Expression in mature duodenal villus, concentrated around nucleus and base of cell.

Specimen 6: embryonic day 14.5 (more )
Structure Level Pattern Image Note
TS22: duodenum Present Regionally restricted 6 Expression in duodenum in myenteric ganglion cells and nerve fiber and in enteric nerve entering the gut wall.
TS22: enteric nervous system Present Regionally restricted 6 Expression in duodenum in myenteric ganglion cells and nerve fiber and in enteric nerve entering the gut wall.

Specimen E18 not shown: embryonic day 17.5 (more )
Structure Level Pattern Image Note
TS25: cerebellum Absent No expression in Purkinje cells.

Specimen 9: embryonic day 18.5 (more )
Structure Level Pattern Image Note
TS26: cerebellum Present Regionally restricted 9 Expression in a distinct layer of Purkinje cells in the cerebellar cortex.

Specimen adult not shown: postnatal adult (more )
Structure Level Pattern Image Note
TS28: metanephros Present


Contributing Projects:
Mouse Genome Database (MGD), Gene Expression Database (GXD), Mouse Models of Human Cancer database (MMHCdb) (formerly Mouse Tumor Biology (MTB)), Gene Ontology (GO)
Citing These Resources
Funding Information
Warranty Disclaimer, Privacy Notice, Licensing, & Copyright
Send questions and comments to User Support.
last database update
12/30/2025
MGI 6.24
The Jackson Laboratory