About   Help   FAQ
Gene Expression Data
Assay Details
Assay
Reference: J:127127 Yoshimura T, et al., Gene expression pattern of Cue110: A member of the uncharacterized UPF0224 gene family preferentially expressed in germ cells. Gene Expr Patterns. 2007 Dec;8(1):27-35
Assay type: RNA in situ
MGI Accession ID: MGI:3769555
Gene symbol: Gtsf1
Gene name: gametocyte specific factor 1
Probe: Gtsf1 cDNA1
Probe preparation: Antisense labelled with digoxigenin RNA
Visualized with: Alkaline phosphatase
Results
Specimen 4 I-II: postnatal week 8 (more )
Structure Level Pattern Image Note
TS28: spermatocyte Weak Single cells 4_I-II Expression is in the preleptotene spermatocytes.
TS28: spermatogonium Absent 4_I-II
TS28: spermatozoon Absent 4_I-II

Specimen 4 IV-VI: postnatal week 8 (more )
Structure Level Pattern Image Note
TS28: spermatid Present Regionally restricted 4_IV-VI Expression is in round spermatids.
TS28: spermatogonium Absent 4_IV-VI
TS28: spermatozoon Absent 4_IV-VI

Specimen 4 VII-VIII: postnatal week 8 (more )
Structure Level Pattern Image Note
TS28: spermatid Strong Single cells 4_VII-VIII , 4_VII-VIII enlarged Expression is in late round spermatids.
TS28: spermatogonium Absent 4_VII-VIII , 4_VII-VIII enlarged
TS28: spermatozoon Absent 4_VII-VIII , 4_VII-VIII enlarged

Specimen 4 X-XII: postnatal week 8 (more )
Structure Level Pattern Image Note
TS28: spermatogonium Absent 4_X-XII
TS28: spermatozoon Absent 4_X-XII

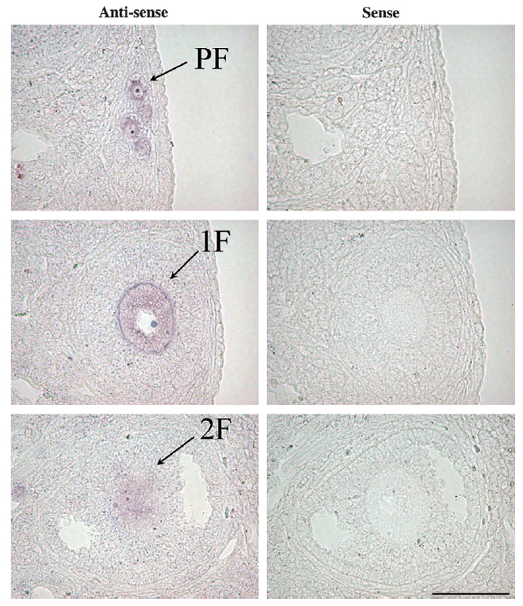
Specimen 5 top panel: postnatal week 7 (more )
Structure Level Pattern Image Note
TS28: primary oocyte Weak 5_top Expresion is in the primary oocytes in primordial follicles.

Specimen 5 middle panel: postnatal week 7 (more )
Structure Level Pattern Image Note
TS28: oocyte of primary follicle Weak 5_middle Expresion is in oocytes in primary follicles.

Specimen 5 bottom panel: postnatal week 7 (more )
Structure Level Pattern Image Note
TS28: oocyte of secondary follicle Weak 5_bottom Expresion is in the oocytes in secondary follicles.


Contributing Projects:
Mouse Genome Database (MGD), Gene Expression Database (GXD), Mouse Models of Human Cancer database (MMHCdb) (formerly Mouse Tumor Biology (MTB)), Gene Ontology (GO)
Citing These Resources
Funding Information
Warranty Disclaimer, Privacy Notice, Licensing, & Copyright
Send questions and comments to User Support.
last database update
12/30/2025
MGI 6.24
The Jackson Laboratory