About   Help   FAQ
Gene Expression Data
Assay Details
Assay
Reference: J:119032 Tsuda M, et al., Implication of nanos2-3'UTR in the expression and function of nanos2. Mech Dev. 2006 Jun;123(6):440-9
Assay type: In situ reporter (knock in)
MGI Accession ID: MGI:3768264
Gene symbol: Nanos2
Gene name: nanos C2HC-type zinc finger 2
Reporter: lacZ
Direct Detection
Assay notes: Fixative was 2% PFA, 0.2% glutaraldehyde.
Results
Specimen 2B oocyte L/+: postnatal; Nanos2tm1Ysa/Nanos2+ (more )
Structure Level Pattern Image Note
TS28: oocyte Present 2B oocyte L+

Specimen 2B 1 cell L/+: embryonic day 0.5; Nanos2tm1Ysa/Nanos2+ (more )
Structure Level Pattern Image Note
TS1: 1-cell stage conceptus Present 2B 1 cell L+

Specimen 2B oocyte L-3'UTR/+: postnatal; Nanos2tm2Ysa/Nanos2+ (more )
Structure Level Pattern Image Note
TS28: oocyte Absent 2B oocyte L3UTR

Specimen 2B 1 cell L-3'UTR/+: embryonic day 0.5; Nanos2tm2Ysa/Nanos2+ (more )
Structure Level Pattern Image Note
TS1: 1-cell stage conceptus Absent 2B 1 cell L3UTR

Specimen 2D L+ E13.5: embryonic day 13.5; Nanos2tm1Ysa/Nanos2+ (more )
Structure Level Pattern Image Note
TS21: testis Present 2D L+ E13.5

Specimen 2D L+ E15.5: embryonic day 15.5; Nanos2tm1Ysa/Nanos2+ (more )
Structure Level Pattern Image Note
TS23: testis Strong 2D L+ E15.5

Specimen 2D L+ E17.5: embryonic day 17.5; Nanos2tm1Ysa/Nanos2+ (more )
Structure Level Pattern Image Note
TS25: testis Present 2D L+ E17.5

Specimen 2D L+ 3W: postnatal week 3; Nanos2tm1Ysa/Nanos2+ (more )
Structure Level Pattern Image Note
TS28: testis Present 2D L+ 3W

Specimen 2D L3UTR E13.5: embryonic day 13.5; Nanos2tm2Ysa/Nanos2+ (more )
Structure Level Pattern Image Note
TS21: testis Present 2D L3UTR E13.5

Specimen 2D L3UTR E15.5: embryonic day 15.5; Nanos2tm2Ysa/Nanos2+ (more )
Structure Level Pattern Image Note
TS23: testis Strong 2D L3UTR E15.5

Specimen 2D L3UTR E17.5: embryonic day 17.5; Nanos2tm2Ysa/Nanos2+ (more )
Structure Level Pattern Image Note
TS25: testis Strong 2D L3UTR E17.5

Specimen 2D L3UTR 3W: postnatal week 3; Nanos2tm2Ysa/Nanos2+ (more )
Structure Level Pattern Image Note
TS28: testis Strong 2D L3UTR 3W

Specimen 3 E15.5: embryonic day 15.5; Nanos2tm2Ysa/Nanos2+ (more )
Structure Level Pattern Image Note
TS23: germ cell of testis Present 3_E15.5

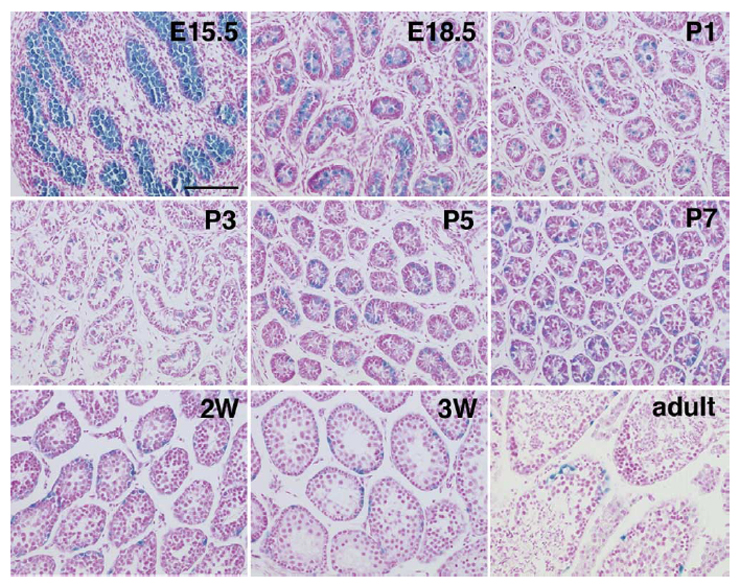
Specimen 3 E18.5: embryonic day 18.5; Nanos2tm2Ysa/Nanos2+ (more )
Structure Level Pattern Image Note
TS26: germ cell of testis Present 3_E18.5

Specimen 3 P1: postnatal day 1; Nanos2tm2Ysa/Nanos2+ (more )
Structure Level Pattern Image Note
TS27: germ cell of testis Present 3_P1

Specimen 3 P3: postnatal day 3; Nanos2tm2Ysa/Nanos2+ (more )
Structure Level Pattern Image Note
TS27: germ cell of testis Weak 3_P3

Specimen 3 P5: postnatal day 5; Nanos2tm2Ysa/Nanos2+ (more )
Structure Level Pattern Image Note
TS28: spermatogonium Present Single cells 3_P5 Expression was confined to a particular subset of spermatogonia that are distributed on the periphery of the seminiferous tubules.

Specimen 3 P7: postnatal day 7; Nanos2tm2Ysa/Nanos2+ (more )
Structure Level Pattern Image Note
TS28: spermatogonium Present Single cells 3_P7 Expression was confined to a particular subset of spermatogonia that are distributed on the periphery of the seminiferous tubules.

Specimen 3 2W: postnatal week 2; Nanos2tm2Ysa/Nanos2+ (more )
Structure Level Pattern Image Note
TS28: spermatogonium Present Single cells 3_2W Expression was confined to a particular subset of spermatogonia that are distributed on the periphery of the seminiferous tubules.

Specimen 3 3W: postnatal week 3; Nanos2tm2Ysa/Nanos2+ (more )
Structure Level Pattern Image Note
TS28: germ cell of testis Present Single cells 3_3W

Specimen 3 adult: postnatal adult; Nanos2tm2Ysa/Nanos2+ (more )
Structure Level Pattern Image Note
TS28: spermatogonium Present Single cells 3_adult Expression was confined to a particular subset of spermatogonia that are distributed on the periphery of the seminiferous tubules.

Specimen 7G: postnatal week 3; Nanos2tm1Ysa/Nanos2tm3Ysa (more )
Structure Level Pattern Image Note
TS28: germ cell of testis Present Single cells 7G Expression is in the periphery of some of the tubules.


Contributing Projects:
Mouse Genome Database (MGD), Gene Expression Database (GXD), Mouse Models of Human Cancer database (MMHCdb) (formerly Mouse Tumor Biology (MTB)), Gene Ontology (GO)
Citing These Resources
Funding Information
Warranty Disclaimer, Privacy Notice, Licensing, & Copyright
Send questions and comments to User Support.
last database update
01/20/2026
MGI 6.24
The Jackson Laboratory