About   Help   FAQ
Gene Expression Data
Assay Details
Assay
Reference: J:101025 Yaylaoglu MB, et al., Comprehensive expression atlas of fibroblast growth factors and their receptors generated by a novel robotic in situ hybridization platform. Dev Dyn. 2005 Oct;234(2):371-86
Assay type: RNA in situ
MGI Accession ID: MGI:3766948
Gene symbol: Fgfr1
Gene name: fibroblast growth factor receptor 1
Probe: FG34 probe 21
Probe preparation: Antisense labelled with digoxigenin RNA
Visualized with: Alkaline phosphatase
Assay notes: Cryosections of fresh frozen material were fixed in 4% paraformaldehyde for 15-30 min. before further processing. A dual signal amplification strategy, termed catalyzed reporter deposition (CARD), was used for detection.
Results
Specimen 3A: embryonic day 14.5 (more )
Structure Level Pattern Image Note
TS22: dorsal root ganglion Present Regionally restricted 3A Expression is present in a subset of neurons.

Specimen 3E: embryonic day 14.5 (more )
Structure Level Pattern Image Note
TS22: thymus primordium Absent 3E

Specimen 3I: embryonic day 14.5 (more )
Structure Level Pattern Image Note
TS22: rib cartilage condensation Absent 3I There is no expression in the proliferating chondrocytes in the core region of the ribs.

Specimen 3M: embryonic day 14.5 (more )
Structure Level Pattern Image Note
TS22: intercostal muscle Absent 3M There is no expression in the intercostal muscle fibers attached to the sternum.

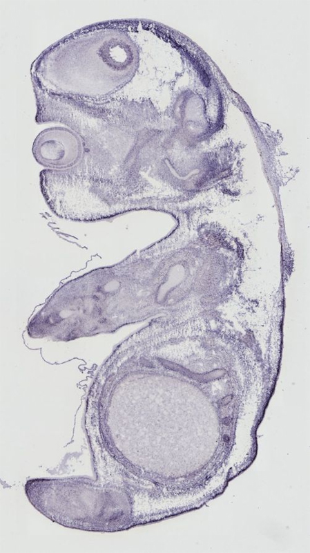
Specimen FG34: embryonic day 14.5 (more )
Structure Level Pattern Image Note
TS22: brain ventricular layer Strong FG34 There are high levels of transcript throughout the ventricular zone, including that of the spinal cord.
TS22: spinal cord ventricular layer Strong FG34 There are high levels of transcript throughout the ventricular zone, including that of the spinal cord.
TS22: brainstem Present Single cells FG34 There are scattered expressing cells in several brain regions.
TS22: corpus striatum Present Single cells FG34 There are scattered expressing cells in several brain regions.
TS22: pons Present Single cells FG34 There are scattered expressing cells in several brain regions.
TS22: spinal cord Present Single cells FG34 There are scattered expressing cells in several brain regions.
TS22: hippocampus Strong FG34
TS22: cortical plate Present FG34
TS22: embryo Present FG34 Expression is present in many tissues of mesodermal and mesenchymal origin.


Contributing Projects:
Mouse Genome Database (MGD), Gene Expression Database (GXD), Mouse Models of Human Cancer database (MMHCdb) (formerly Mouse Tumor Biology (MTB)), Gene Ontology (GO)
Citing These Resources
Funding Information
Warranty Disclaimer, Privacy Notice, Licensing, & Copyright
Send questions and comments to User Support.
last database update
03/24/2026
MGI 6.24
The Jackson Laboratory