About   Help   FAQ
Gene Expression Data
Assay Details
Assay
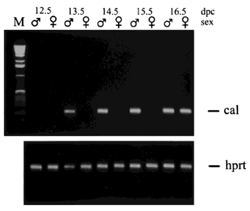
Reference: J:57920 Kraszucka K, et al., Developmental stage- and germ cell-regulated expression of a calcium-binding protein mRNA in mouse Sertoli cells. Mol Reprod Dev. 1999 Nov;54(3):232-43
Assay type: RT-PCR
MGI Accession ID: MGI:3702674
Gene symbol: S100a11
Gene name: S100 calcium binding protein A11
Probe: SIG1, GH2A4
Visualized with: Ethidium bromide
Results
Image: 4 ©

 Sample Information Bands Other Sample Information
Lane AgeStructure 220 bp Amount Genetic BackgroundMutant Allele(s)Sex
M Mol. Wt. Marker Lane
12.5 Male E12.5 TS20: testis Absent 5 µg; total RNA Not Specified Male
12.5 Female E12.5 TS20: ovary Absent 5 µg; total RNA Not Specified Female
13.5 Male E13.5 TS21: testis Present 5 µg; total RNA Not Specified Male
13.5 Female E13.5 TS21: ovary Absent 5 µg; total RNA Not Specified Female
14.5 Male E14.5 TS22: testis Present 5 µg; total RNA Not Specified Male
14.5 Female E14.5 TS22: ovary Absent 5 µg; total RNA Not Specified Female
15.5 Male E15.5 TS23: testis Present 5 µg; total RNA Not Specified Male
15.5 Female E15.5 TS23: ovary Absent 5 µg; total RNA Not Specified Female
16.5 Male E16.5 TS24: testis Present 5 µg; total RNA Not Specified Male
16.5 Female E16.5 TS24: ovary Present 5 µg; total RNA Not Specified Female

Contributing Projects:
Mouse Genome Database (MGD), Gene Expression Database (GXD), Mouse Models of Human Cancer database (MMHCdb) (formerly Mouse Tumor Biology (MTB)), Gene Ontology (GO)
Citing These Resources
Funding Information
Warranty Disclaimer, Privacy Notice, Licensing, & Copyright
Send questions and comments to User Support.
last database update
01/20/2026
MGI 6.24
The Jackson Laboratory