Gene Expression Data
Assay Details
|
Assay
|
|
Reference:
|
J:85424
DeFelice M, et al., TTF-1 phosphorylation is required for peripheral lung morphogenesis, perinatal survival, and tissue-specific gene expression. J Biol Chem. 2003 Sep 12;278(37):35574-83
|
|
Assay type:
|
Immunohistochemistry
|
|
MGI Accession ID:
|
MGI:3702507
|
|
Gene symbol:
|
Nkx2-1
|
|
Gene name:
|
NK2 homeobox 1
|
|
|
Results
|
Specimen
2C:
embryonic day 18.0
(more )
Specimen
2C:
(close )
|
Genetic Background:
|
Not Specified
|
|
Age:
|
embryonic day 18.0
|
|
Sex:
|
Not Specified
|
|
Type:
|
section
|
|
Fixation:
|
4% Paraformaldehyde
|
|
Embedding:
|
Paraffin
|
| Structure |
Level |
Pattern |
Image |
Note |
| TS26: bronchiole epithelium |
Present |
|
2C
|
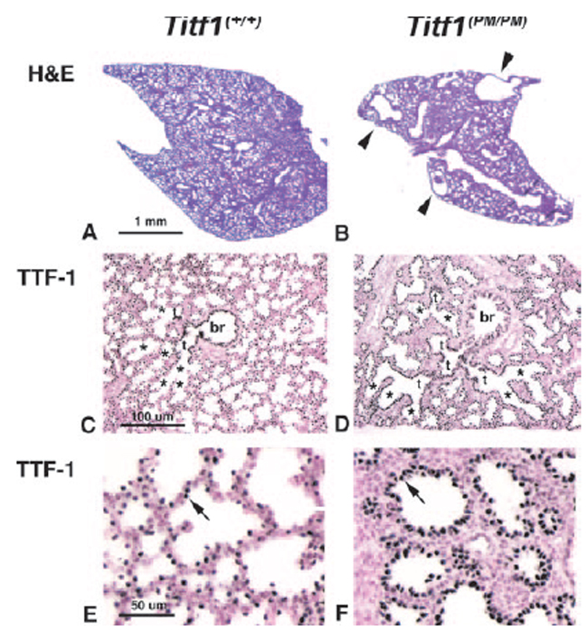
Expression was detected in the pulmonary epithelial cells lining the bronchioles and peripheral respiratory structures.
|
Specimen
2D:
(close )
|
Genetic Background:
|
involves: 129S2/SvPas * CD-1
|
|
Mutant Allele(s):
|
Nkx2-1tm1Jaw/Nkx2-1tm1Jaw
|
|
Age:
|
embryonic day 18.0
|
|
Sex:
|
Not Specified
|
|
Type:
|
section
|
|
Fixation:
|
4% Paraformaldehyde
|
|
Embedding:
|
Paraffin
|
| Structure |
Level |
Pattern |
Image |
Note |
| TS26: bronchiole epithelium |
Present |
|
2D
|
Expression was detected in the pulmonary epithelial cells lining the bronchioles and peripheral respiratory structures. The intensity and distribution of staining was similar to wild type.
|
Specimen
2E:
embryonic day 18.0
(more )
Specimen
2E:
(close )
|
Genetic Background:
|
Not Specified
|
|
Age:
|
embryonic day 18.0
|
|
Sex:
|
Not Specified
|
|
Type:
|
section
|
|
Fixation:
|
4% Paraformaldehyde
|
|
Embedding:
|
Paraffin
|
| Structure |
Level |
Pattern |
Image |
Note |
| TS26: bronchiole epithelium |
Present |
|
2E
|
Expression was detected in the pulmonary epithelial cells lining the bronchioles and peripheral respiratory structures.
|
Specimen
2F:
(close )
|
Genetic Background:
|
involves: 129S2/SvPas * CD-1
|
|
Mutant Allele(s):
|
Nkx2-1tm1Jaw/Nkx2-1tm1Jaw
|
|
Age:
|
embryonic day 18.0
|
|
Sex:
|
Not Specified
|
|
Type:
|
section
|
|
Fixation:
|
4% Paraformaldehyde
|
|
Embedding:
|
Paraffin
|
| Structure |
Level |
Pattern |
Image |
Note |
| TS26: bronchiole epithelium |
Present |
|
2F
|
Expression was detected in the pulmonary epithelial cells lining the bronchioles and peripheral respiratory structures. The intensity and distribution of staining was similar to wild type.
|
|