Gene Expression Data
Assay Details
|
Assay
|
|
Reference:
|
J:71181
Ko J, et al., p35 and p39 are essential for cyclin-dependent kinase 5 function during neurodevelopment. J Neurosci. 2001 Sep 1;21(17):6758-71
|
|
Assay type:
|
Immunohistochemistry
|
|
MGI Accession ID:
|
MGI:3701305
|
|
Gene symbol:
|
Calb1
|
|
Gene name:
|
calbindin 1
|
|
Antibody:
|
Anti-Calbindin D28k
|
|
Detection system:
|
Biotinylated secondary antibody/[Strept]avidin coupled to horseradish peroxidase
|
|
|
Results
|
Specimen
6G:
embryonic day 18.5
(more )
Specimen
6G:
(close )
|
Genetic Background:
|
involves: 129S4/SvJae * C57BL/6
|
|
Age:
|
embryonic day 18.5
|
|
Age Note:
|
Age of embryo at noon of plug day not specified in reference.
|
|
Sex:
|
Not Specified
|
|
Type:
|
section
|
|
Fixation:
|
4% Paraformaldehyde
|
|
Embedding:
|
Paraffin
|
| Structure |
Level |
Pattern |
Image |
Note |
| TS26: cerebellum |
Present |
Regionally restricted |
6G
|
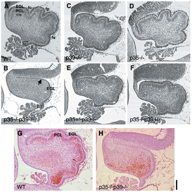
Expression was detected in the Purkinje cell layer.
|
Specimen
6H:
(close )
|
Genetic Background:
|
involves: 129S4/SvJae * C57BL/6
|
|
Mutant Allele(s):
|
Cdk5r1tm1Lht/Cdk5r1tm1Lht Cdk5r2tm1Lht/Cdk5r2tm1Lht
|
|
Age:
|
embryonic day 18.5
|
|
Age Note:
|
Age of embryo at noon of plug day not specified in reference.
|
|
Sex:
|
Not Specified
|
|
Type:
|
section
|
|
Fixation:
|
4% Paraformaldehyde
|
|
Embedding:
|
Paraffin
|
| Structure |
Level |
Pattern |
Image |
Note |
| TS26: cerebellum |
Present |
Regionally restricted |
6H
|
Expression was detected in the Purkinje cells as in wild-type, however, the labeled population is clustered ectopically.
|
|