About   Help   FAQ
Gene Expression Data
Assay Details
Assay
Reference: J:83663 Atchison FW, et al., Pin1 regulates the timing of mammalian primordial germ cell proliferation. Development. 2003 Aug;130(15):3579-86
Assay type: Immunohistochemistry
MGI Accession ID: MGI:3639528
Gene symbol: Gcna
Gene name: germ cell nuclear acidic protein
Antibody: anti-GCNA (10D9G11)
Detection system: Secondary antibody
Results
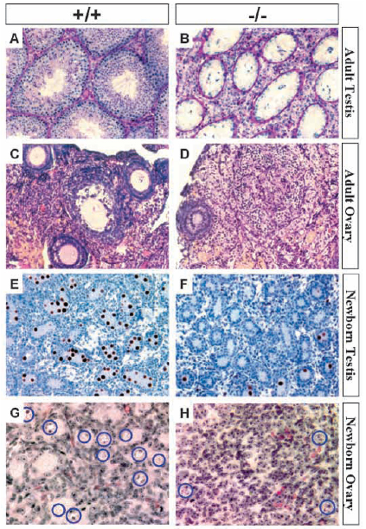
Specimen 1E: postnatal newborn (more )
Structure Level Pattern Image Note
TS27: testis Present Regionally restricted 1E Expression was detected in gonocytes in testis cords.

Specimen 1F: postnatal newborn; Pin1tm1Tuc/Pin1tm1Tuc (more )
Structure Level Pattern Image Note
TS27: testis Present Regionally restricted 1F Expression was detected in gonocytes in testis cords as in wild type, but there were many fewer in the mutant.


Contributing Projects:
Mouse Genome Database (MGD), Gene Expression Database (GXD), Mouse Models of Human Cancer database (MMHCdb) (formerly Mouse Tumor Biology (MTB)), Gene Ontology (GO)
Citing These Resources
Funding Information
Warranty Disclaimer, Privacy Notice, Licensing, & Copyright
Send questions and comments to User Support.
last database update
03/24/2026
MGI 6.24
The Jackson Laboratory