About   Help   FAQ
Gene Expression Data
Assay Details
Assay
Reference: J:103446 McKee AE, et al., A genome-wide in situ hybridization map of RNA-binding proteins reveals anatomically restricted expression in the developing mouse brain. BMC Dev Biol. 2005 Jul 20;5:14
Assay type: RNA in situ
MGI Accession ID: MGI:3617978
Gene symbol: 2010015M23Rik
Gene name: RIKEN cDNA 2010015M23 gene
Probe: 2010015M23Rik cDNA1
Probe preparation: Antisense labelled with digoxigenin RNA
Visualized with: Alkaline phosphatase
Assay notes: The results of this assay were listed in Additional File 3, 2010015M23Rik.
Results
Specimen E13.5: embryonic day 13.5 (more )
Note: Authors indicate that there was restricted expression in the nervous system with distinguishable expression in non-neural tissue.
Structure Level Pattern Image Note
TS21: cerebral cortex Present R3191-11 Expression was detected in precortical tissue.
TS21: brain ventricular layer Present R3191-11
TS21: corpus striatum Present R3191-11
TS21: hindbrain Present R3191-11
TS21: olfactory epithelium Present R3191-11
TS21: spinal cord Present R3191-11

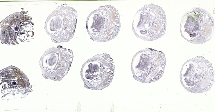
Specimen P0: postnatal day 0 (more )
Note: Authors indicate that there was either ubiquitous expression that is difficult to distinguish from background, or no expression. The authors observed uneven signals in different brain regions and annotated some structures as "Present".
Structure Level Pattern Image Note
TS27: cerebral cortex Present R3191-22 , R3191-21
TS27: corpus striatum Present R3191-22 , R3191-21
TS27: hindbrain Present R3191-22 , R3191-21
TS27: hippocampus Present R3191-22 , R3191-21
TS27: hypothalamus Present R3191-22 , R3191-21
TS27: main olfactory bulb Present R3191-22 , R3191-21
TS27: midbrain Present R3191-22 , R3191-21
TS27: olfactory epithelium Present R3191-22 , R3191-21
TS27: retina Present R3191-22 , R3191-21
TS27: spinal cord Present R3191-22 , R3191-21
TS27: thalamus Present R3191-22 , R3191-21
TS27: trigeminal ganglion Present R3191-22 , R3191-21


Contributing Projects:
Mouse Genome Database (MGD), Gene Expression Database (GXD), Mouse Models of Human Cancer database (MMHCdb) (formerly Mouse Tumor Biology (MTB)), Gene Ontology (GO)
Citing These Resources
Funding Information
Warranty Disclaimer, Privacy Notice, Licensing, & Copyright
Send questions and comments to User Support.
last database update
03/24/2026
MGI 6.24
The Jackson Laboratory