About   Help   FAQ
Gene Expression Data
Assay Details
Assay
Reference: J:103446 McKee AE, et al., A genome-wide in situ hybridization map of RNA-binding proteins reveals anatomically restricted expression in the developing mouse brain. BMC Dev Biol. 2005 Jul 20;5:14
Assay type: RNA in situ
MGI Accession ID: MGI:3617566
Gene symbol: Rbm15b
Gene name: RNA binding motif protein 15B
Probe: 1810017N16Rik cDNA1
Probe preparation: Antisense labelled with digoxigenin RNA
Visualized with: Alkaline phosphatase
Assay notes: The results of this assay were listed in Additional File 3, row 1810017N16Rik.
Results
Specimen E13.5: embryonic day 13.5 (more )
Note: Authors indicate that there was restricted expression in the nervous system with distinguishable expression in non-neural tissue.
Structure Level Pattern Image Note
TS21: cerebral cortex Present R4371-11 Expression was detected in precortical tissue.
TS21: brain ventricular layer Present R4371-11
TS21: corpus striatum Present R4371-11
TS21: hindbrain Present R4371-11
TS21: olfactory epithelium Present R4371-11
TS21: retina Present R4371-11
TS21: spinal cord Present R4371-11
TS21: central nervous system ganglion Ambiguous R4371-11 Authors indicate that there was either ubiquitous or background expression.

Specimen P0: postnatal day 0 (more )
Note: Authors indicate that there was restricted expression in the nervous system with distinguishable expression in non-neural tissue.
Structure Level Pattern Image Note
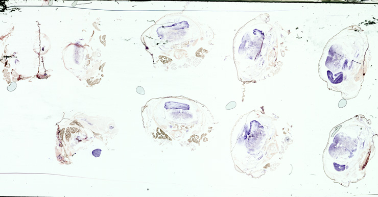
TS27: olfactory epithelium Present R4371-22 , R4371-21 , R4371-23
TS27: cerebral cortex Ambiguous R4371-21 , R4371-22 , R4371-23 Authors indicate that there was either ubiquitous or background expression.
TS27: hippocampus Ambiguous R4371-21 , R4371-22 , R4371-23 Authors indicate that there was either ubiquitous or background expression.
TS27: hypothalamus Ambiguous R4371-21 , R4371-22 , R4371-23 Authors indicate that there was either ubiquitous or background expression.
TS27: main olfactory bulb Ambiguous R4371-21 , R4371-22 , R4371-23 Authors indicate that there was either ubiquitous or background expression.
TS27: retina Ambiguous R4371-21 , R4371-22 , R4371-23 Authors indicate that there was either ubiquitous or background expression.
TS27: trigeminal ganglion Ambiguous R4371-21 , R4371-22 , R4371-23 Authors indicate that there was either ubiquitous or background expression.
TS27: corpus striatum Absent R4371-21 , R4371-23 , R4371-22
TS27: hindbrain Absent R4371-21 , R4371-23 , R4371-22
TS27: midbrain Absent R4371-21 , R4371-23 , R4371-22
TS27: spinal cord Absent R4371-21 , R4371-23 , R4371-22
TS27: thalamus Absent R4371-21 , R4371-23 , R4371-22


Contributing Projects:
Mouse Genome Database (MGD), Gene Expression Database (GXD), Mouse Models of Human Cancer database (MMHCdb) (formerly Mouse Tumor Biology (MTB)), Gene Ontology (GO)
Citing These Resources
Funding Information
Warranty Disclaimer, Privacy Notice, Licensing, & Copyright
Send questions and comments to User Support.
last database update
12/30/2025
MGI 6.24
The Jackson Laboratory