About   Help   FAQ
Gene Expression Data
Assay Details
Assay
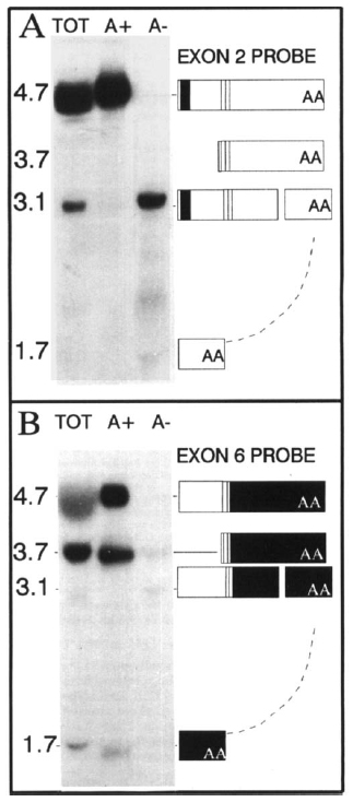
Reference: J:21203 Newell S, et al., Discriminating translation of insulin-like growth factor-II (IGF-II) during mouse embryogenesis. Mol Reprod Dev. 1994 Nov;39(3):249-58
Assay type: Northern blot
MGI Accession ID: MGI:3607919
Gene symbol: Igf2
Gene name: insulin-like growth factor 2
Probe: exon 6 cDNA
Probe preparation: Double stranded labelled with P32 DNA
Visualized with: Autoradiography
Results
Image: 2B ©

 Sample Information Bands Other Sample Information
Lane AgeStructure 4.7 kb 3.7 kb 3.1 kb 1.7 kb Amount Genetic BackgroundMutant Allele(s)Sex
TOT E12.5 TS20: embryo Present Present Weak Present Not Specified; total RNA Not Specified Not Specified
A+ E12.5 TS20: embryo Present Present Weak Present Not Specified; poly-A+ RNA Not Specified Not Specified
A- Control

Contributing Projects:
Mouse Genome Database (MGD), Gene Expression Database (GXD), Mouse Models of Human Cancer database (MMHCdb) (formerly Mouse Tumor Biology (MTB)), Gene Ontology (GO)
Citing These Resources
Funding Information
Warranty Disclaimer, Privacy Notice, Licensing, & Copyright
Send questions and comments to User Support.
last database update
12/30/2025
MGI 6.24
The Jackson Laboratory