About   Help   FAQ
Gene Expression Data
Assay Details
Assay
Reference: J:28312 Cserjesi P, et al., Expression of the novel basic helix-loop-helix gene eHAND in neural crest derivatives and extraembryonic membranes during mouse development. Dev Biol. 1995 Aug;170(2):664-78
Assay type: RNA in situ
MGI Accession ID: MGI:3603938
Gene symbol: Hand1
Gene name: heart and neural crest derivatives expressed 1
Probe: eHand cDNA6
Probe preparation: Antisense labelled with S35 RNA
Visualized with: Autoradiography
Results
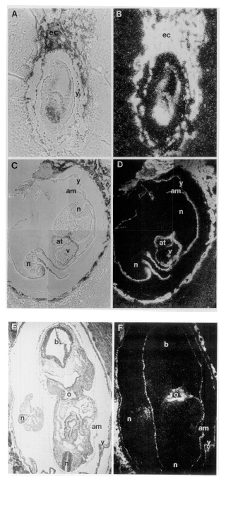
Specimen 2A/B: embryonic day 7.5 (more )
Note: This is a tangential section.
Structure Level Pattern Image Note
TS11: trophectoderm Strong 2A/B Expression was at high levels in all trophoblast cells.
TS11: ectoplacental cone Strong Regionally restricted 2A/B Expression is restricted to trophoblast cells.
TS11: chorion Present 2A/B
TS11: extraembryonic mesoderm Present 2A/B
TS11: yolk sac Present 2A/B
TS11: embryo Absent 2A/B

Specimen 2C/D: embryonic day 8.5 (more )
Note: This is a frontal section.
Structure Level Pattern Image Note
TS13: heart Strong 2C/D
TS13: pericardial component Strong 2C/D
TS13: lateral plate mesoderm Strong Regionally restricted 2C/D Expression is present in distal region.
TS13: extraembryonic component Present 2C/D Expression is present in trophoblast cells and extraembryonic membranes, including the yolk sac, throughout development.
TS13: neural tube Absent 2C/D

Specimen 2E/F: embryonic day 9.5 (more )
Note: This is a frontal section.
Structure Level Pattern Image Note
TS15: outflow tract Present 2E/F
TS15: extraembryonic component Present 2E/F Expression is present in trophoblast cells and extraembryonic membranes, including the yolk sac, throughout development.
TS15: central nervous system Absent 2E/F

Specimen 3A/B: embryonic day 10.5 (more )
Structure Level Pattern Image Note
TS17: sympathetic nervous system Present 3A/B Expression is present in the sympathetic ganglion primordium.
TS17: limb Weak Regionally restricted 3A/B Expression is present in the distal posterior region of the limb bud.
TS17: central nervous system Absent 3A/B
TS17: dorsal root ganglion Absent 3A/B Expression is not seen in sensory or motor ganglia (STRUCTURE?)

Specimen Not shown: embryonic day 10.5 (more )
Structure Level Pattern Image Note
TS17: heart Present

Specimen 3C/D: embryonic day 11.5 (more )
Note: This is a sagittal section.
Structure Level Pattern Image Note
TS19: autonomic nervous system Strong Regionally restricted 3C/D Expression is present in both autonomic ganglion and enteric system.
TS19: enteric nervous system Strong Regionally restricted 3C/D Expression is present in both autonomic ganglion and enteric system.
TS19: thoracic ganglion Strong 3C/D Expression is present in the sympathetic trunk.
TS19: 1st branchial arch Strong 3C/D Expression is present in the first pharyngeal arch.
TS19: outflow tract Present 3C/D
TS19: hindgut Strong 3C/D
TS19: midgut Strong 3C/D

Specimen 3E/F: embryonic day 12.5 (more )
Note: This is a frontal section.
Structure Level Pattern Image Note
TS20: tongue Present Regionally restricted 3E/F Expression is present in septal regions of the tongue.
TS20: mandibular process Present 3E/F
TS20: nasal cavity epithelium Absent 3E/F Expression is present in the neural epithelium of the developing nose.
TS20: head Absent 3E/F There is no expression in the developing facial skeleton.
TS20: skeleton Absent 3E/F There is no expression in the developing facial skeleton.
TS20: central nervous system Absent 3E/F

Specimen 4A/B: embryonic day 13.5 (more )
Note: This is a sagittal section.
Structure Level Pattern Image Note
TS21: heart valve Present 4A/B
TS21: intestine Present 4A/B
TS21: mandible Present 4A/B
TS21: tongue Present 4A/B
TS21: thoracic ganglion Present 4A/B Expression is present in the sympathetic trunk. Ganglia showing expression include the stellate and paraaortic.
TS21: enteric nervous system Present Regionally restricted 4A/B Expression is present in the enteric system.
TS21: gland Present Regionally restricted 4A/B Expression is present in the adrenal medulla. STRUCTURE

Specimen 4C/D: embryonic day 14.5 (more )
Note: This is a sagittal section.
Structure Level Pattern Image Note
TS22: heart valve Present 4C/D
TS22: mandible Present 4C/D
TS22: tongue Present 4C/D
TS22: thoracic ganglion Present 4C/D Expression is present in the sympathetic trunk.
TS22: enteric nervous system Present 4C/D Expression is present in the enteric system.
TS22: cranial nerve Absent 4C/D

Specimen 5A/D: embryonic day 15.5 (more )
Structure Level Pattern Image Note
TS23: thoracic ganglion Present 5A/D Expression is present in the sympathetic trunk. Ganglia expressing include the superior cervical.
TS23: central nervous system Absent 5A/D

Specimen 5B/E: embryonic day 15.5 (more )
Note: This is a sagittal section.
Structure Level Pattern Image Note
TS23: adrenal medulla Strong Single cells 5B/E Expression is present in clusters of cells.

Specimen 5C/F: embryonic day 15.5 (more )
Structure Level Pattern Image Note
TS23: enteric nervous system Present 5C/F Expression is present in peripheral layers of tissue containing smooth muscle and the enteric neural plexus.
TS23: smooth muscle tissue Present 5C/F Expression is present in peripheral layers of tissue containing smooth muscle and the enteric neural plexus.

Specimen Not shown: postnatal adult (more )
Structure Level Pattern Image Note
TS28: adrenal gland Absent
TS28: intestine Absent


Contributing Projects:
Mouse Genome Database (MGD), Gene Expression Database (GXD), Mouse Models of Human Cancer database (MMHCdb) (formerly Mouse Tumor Biology (MTB)), Gene Ontology (GO)
Citing These Resources
Funding Information
Warranty Disclaimer, Privacy Notice, Licensing, & Copyright
Send questions and comments to User Support.
last database update
12/30/2025
MGI 6.24
The Jackson Laboratory