About   Help   FAQ
Gene Expression Data
Assay Details
Assay
Reference: J:56670 Washabaugh CH, et al., Creatine kinase transcript accumulation: effect of nerve during muscle development. Dev Dyn. 1999 Aug;215(4):285-96
Assay type: RNA in situ
MGI Accession ID: MGI:3589375
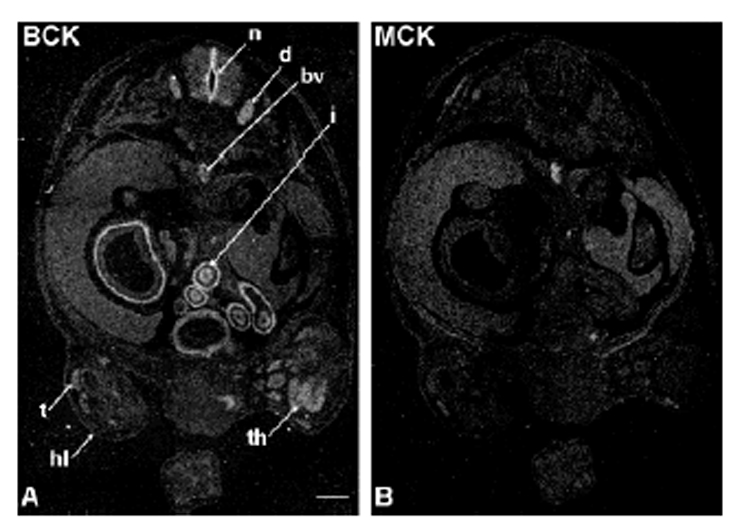
Gene symbol: Ckm
Gene name: creatine kinase, muscle
Probe: MCK cDNA
Probe preparation: Antisense labelled with S35 RNA
Visualized with: Autoradiography
Results
Specimen 2B: embryonic day 14.0 (more )
Structure Level Pattern Image Note
TS22: hindlimb musculature Trace 2B
TS22: pectoral girdle and thoracic body wall musculature Trace 2B
TS22: intestine Absent 2B Absent in smooth muscle.
TS22: spinal cord Absent 2B

Specimen 3A: embryonic day 18.5 (more )
Structure Level Pattern Image Note
TS26: hindlimb musculature Present Graded 3A The signal is more prominent in the anterior than in the posterior compartment muscles of the crus.

Specimen 3C: embryonic day 19.5 (more )
Structure Level Pattern Image Note
TS26: hindlimb musculature Strong 3C


Contributing Projects:
Mouse Genome Database (MGD), Gene Expression Database (GXD), Mouse Models of Human Cancer database (MMHCdb) (formerly Mouse Tumor Biology (MTB)), Gene Ontology (GO)
Citing These Resources
Funding Information
Warranty Disclaimer, Privacy Notice, Licensing, & Copyright
Send questions and comments to User Support.
last database update
01/20/2026
MGI 6.24
The Jackson Laboratory