About   Help   FAQ
Gene Expression Data
Assay Details
Assay
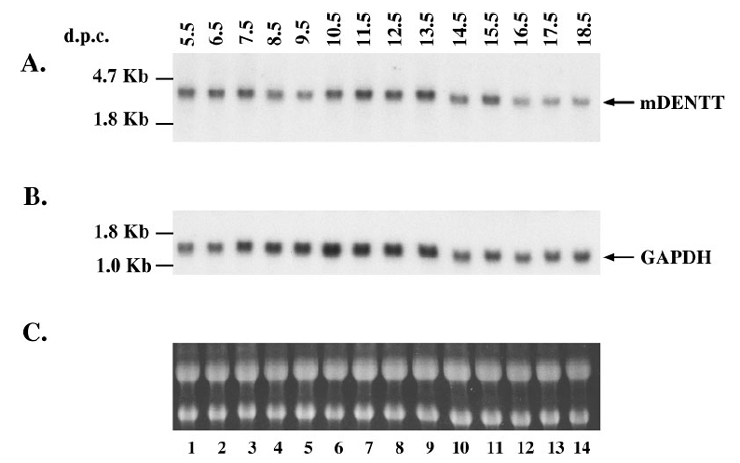
Reference: J:82210 Ozbun LL, et al., Differentially expressed nucleolar TGF-beta1 target (DENTT) in mouse development. Dev Dyn. 2003 Mar;226(3):491-511
Assay type: Northern blot
MGI Accession ID: MGI:3587164
Gene symbol: Tspyl2
Gene name: TSPY-like 2
Probe: DENTT cDNA
Probe preparation: Double stranded labelled with P32 DNA
Visualized with: Autoradiography
Assay notes: Densitometric analysis is shown in Figure 5B.
Results
Image: 5A ©

 Sample Information Bands Other Sample Information
Lane AgeStructure 2.7 kb (b) Amount Genetic BackgroundMutant Allele(s)Sex
5.5 E5.5 (a) TS8: embryo
TS8: extraembryonic component
TS28: uterus
Strong 10 µg; total RNA Not Specified Not Specified
6.5 E6.5 (a) TS9: embryo
TS9: extraembryonic component
TS28: uterus
Strong 10 µg; total RNA Not Specified Not Specified
7.5 E7.5 (a) TS11: conceptus Strong 10 µg; total RNA Not Specified Not Specified
8.5 E8.5 (a) TS13: conceptus Present 10 µg; total RNA Not Specified Not Specified
9.5 E9.5 (a) TS15: conceptus Present 10 µg; total RNA Not Specified Not Specified
10.5 E10.5 (a) TS17: embryo Present 10 µg; total RNA Not Specified Not Specified
11.5 E11.5 (a) TS19: embryo Present 10 µg; total RNA Not Specified Not Specified
12.5 E12.5 (a) TS20: embryo Present 10 µg; total RNA Not Specified Not Specified
13.5 E13.5 (a) TS21: embryo Present 10 µg; total RNA Not Specified Not Specified
14.5 E14.5 (a) TS22: embryo Present 10 µg; total RNA Not Specified Not Specified
15.5 E15.5 (a) TS23: embryo Present 10 µg; total RNA Not Specified Not Specified
16.5 E16.5 (a) TS24: embryo Present 10 µg; total RNA Not Specified Not Specified
17.5 E17.5 (a) TS25: embryo Present 10 µg; total RNA Not Specified Not Specified
18.5 E18.5 (a) TS26: embryo Present 10 µg; total RNA Not Specified Not Specified
Notes:
(a) Age of embryo at noon of plug day not specified in reference.
(b) Levels decreased in older embryos to 30-40% of E5.5 embryos.

Contributing Projects:
Mouse Genome Database (MGD), Gene Expression Database (GXD), Mouse Models of Human Cancer database (MMHCdb) (formerly Mouse Tumor Biology (MTB)), Gene Ontology (GO)
Citing These Resources
Funding Information
Warranty Disclaimer, Privacy Notice, Licensing, & Copyright
Send questions and comments to User Support.
last database update
12/30/2025
MGI 6.24
The Jackson Laboratory