About   Help   FAQ
Gene Expression Data
Assay Details
Assay
Reference: J:93300 Blackshaw S, et al., Genomic analysis of mouse retinal development. PLoS Biol. 2004 Oct;2(9):E247
Assay type: RNA in situ
MGI Accession ID: MGI:3586267
Gene symbol: mt-Co3
Gene name: mitochondrially encoded cytochrome c oxidase III
Probe: mt-Co3 cDNA1
Probe preparation: Antisense labelled with digoxigenin RNA
Visualized with: Alkaline phosphatase
Assay notes: This data is from Supplemental Table 5, Gene column, row: Mitochondrial cytochrome oxidase III. After cryosectioning, tissue was fixed for 10' in 4% paraformaldehyde prior to processing.
Results
Specimen E18: embryonic day 18.0 (more )
Structure Level Pattern Image Note
TS26: retina inner nuclear layer Present Regionally restricted Expression was detected in the scleral inner neuroblastic layer.
TS26: retina Present Regionally restricted In addition to staining in the scleral inner neuroblastic layer, expression was also tentatively detected in a subset of cells in the outer neuroblastic layer.

Specimen P0/1: postnatal day 0-1 (more )
Structure Level Pattern Image Note
TS27: retina inner nuclear layer Present Regionally restricted Submitted Image - K43p1.5 Expression was detected in the scleral inner neuroblastic layer.
TS27: retina outer nuclear layer Present Submitted Image - K43p1.5 Expression was detected in the outer neuroblastic layer with a slightly higher level tentatively located in a subset of the outer neuroblastic layer.

Specimen P4/5: postnatal day 4-5 (more )
Structure Level Pattern Image Note
TS28: retina Present Regionally restricted Submitted Image - K43p5.5 Expression was panretinal, but the level was higher in the extreme outer scleral outer neuroblastic layer.

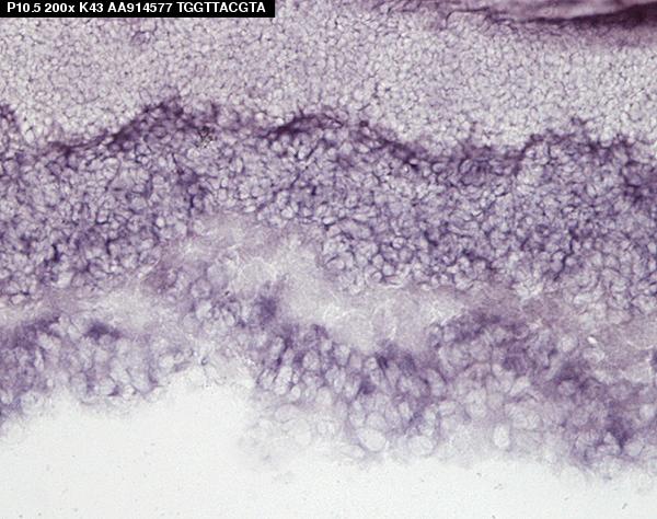
Specimen P8/10: postnatal day 8-10 (more )
Structure Level Pattern Image Note
TS28: retina inner nuclear layer Present Submitted Image - K43p10.5 Expression was detected in the inner nuclear layer and tentatively in amacrine cells.

Specimen Adult: postnatal adult (more )
Structure Level Pattern Image Note
TS28: retina layer Present Regionally restricted Submitted Image - K43adult Expression was detected in horizontal cells.

Specimen CNS: postnatal day 6 (more )
Structure Level Pattern Image Note
TS28: cerebellum Purkinje cell layer Present Expression was detected in Purkinje cells.
TS28: central nervous system Present Expression was widespread.

Specimen Embryo: embryonic day 16.0 (more )
Structure Level Pattern Image Note
TS24: embryo mesenchyme Present Regionally restricted Expression was detected in fat.
TS24: intestine Present
TS24: cortical plate Present


Contributing Projects:
Mouse Genome Database (MGD), Gene Expression Database (GXD), Mouse Models of Human Cancer database (MMHCdb) (formerly Mouse Tumor Biology (MTB)), Gene Ontology (GO)
Citing These Resources
Funding Information
Warranty Disclaimer, Privacy Notice, Licensing, & Copyright
Send questions and comments to User Support.
last database update
01/28/2026
MGI 6.24
The Jackson Laboratory