About   Help   FAQ
Gene Expression Data
Assay Details
Assay
Reference: J:93300 Blackshaw S, et al., Genomic analysis of mouse retinal development. PLoS Biol. 2004 Oct;2(9):E247
Assay type: RNA in situ
MGI Accession ID: MGI:3586254
Gene symbol: Eno1
Gene name: enolase 1, alpha non-neuron
Probe: UI-M-AM0-adv-h-04-0-UI.s1
Probe preparation: Antisense labelled with digoxigenin RNA
Visualized with: Alkaline phosphatase
Assay notes: This data is from Supplemental Table 5, Gene column, row: 90587 Enolase 1. After cryosectioning, tissue was fixed for 10' in 4% paraformaldehyde prior to processing.
Results
Specimen E16: embryonic day 16.0 (more )
Structure Level Pattern Image Note
TS24: retina nuclear layer Present Regionally restricted Submitted Image - AP21e16.5 Expression was detected in the outer neuroblastic layer but was higher in a subset of cells.

Specimen E18: embryonic day 18.0 (more )
Structure Level Pattern Image Note
TS26: retina outer nuclear layer Present Submitted Image - AP21e18.5 Expression was detected in the outer neuroblastic layer.
TS26: ciliary body Present Regionally restricted Submitted Image - AP21e18.5 Expression was detected in the ciliary margin.

Specimen P0/1: postnatal day 0-1 (more )
Structure Level Pattern Image Note
TS27: retina outer nuclear layer Present Regionally restricted Submitted Image - AP21p0.5 Expression was detected in the vitreal outer neuroblastic layer.
TS27: ciliary body Present Regionally restricted Submitted Image - AP21p0.5 Expression was detected in a subset of the ciliary margin.

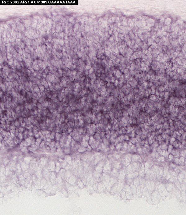
Specimen P2/3: postnatal day 2-3 (more )
Structure Level Pattern Image Note
TS27: retina outer nuclear layer Present Regionally restricted Submitted Image - AP21p2.5 Expression was detected in the vitreal outer neuroblastic layer.

Specimen P6/7: postnatal day 6-7 (more )
Structure Level Pattern Image Note
TS28: retina inner nuclear layer Present Submitted Image - AP21p6.5 Expression was detected in the inner nuclear layer and tentatively in the Muller glia.

Specimen Adult: postnatal adult (more )
Structure Level Pattern Image Note
TS28: retina Present Regionally restricted Submitted Image - AP21adult Expression was detected in the Muller glia.
TS28: retina outer nuclear layer Present Submitted Image - AP21adult
TS28: retina ganglion cell layer Weak Regionally restricted Submitted Image - AP21adult Expression was detected in a subset of ganglion cells.

Specimen CNS: postnatal day 6 (more )
Structure Level Pattern Image Note
TS28: central nervous system Present Expression was widespread.

Specimen Embryo: embryonic day 16.0 (more )
Structure Level Pattern Image Note
TS24: skeletal muscle Present
TS24: metanephros Present
TS24: intestine Present
TS24: peripheral nervous system Present


Contributing Projects:
Mouse Genome Database (MGD), Gene Expression Database (GXD), Mouse Models of Human Cancer database (MMHCdb) (formerly Mouse Tumor Biology (MTB)), Gene Ontology (GO)
Citing These Resources
Funding Information
Warranty Disclaimer, Privacy Notice, Licensing, & Copyright
Send questions and comments to User Support.
last database update
12/30/2025
MGI 6.24
The Jackson Laboratory