About   Help   FAQ
Gene Expression Data
Assay Details
Assay
Reference: J:93300 Blackshaw S, et al., Genomic analysis of mouse retinal development. PLoS Biol. 2004 Oct;2(9):E247
Assay type: RNA in situ
MGI Accession ID: MGI:3586251
Gene symbol: Esrrb
Gene name: estrogen related receptor, beta
Probe: IMAGE clone 946429
Probe preparation: Antisense labelled with digoxigenin RNA
Visualized with: Alkaline phosphatase
Assay notes: This data is from Supplemental Table 5, Gene column, row: 235550 estrogen related receptor beta 2. After cryosectioning, tissue was fixed for 10' in 4% paraformaldehyde prior to processing.
Results
Specimen E14: embryonic day 14.0 (more )
Structure Level Pattern Image Note
TS22: retina Absent Submitted Image - T75e14

Specimen E16: embryonic day 16.0 (more )
Structure Level Pattern Image Note
TS24: retina nuclear layer Weak Regionally restricted 4_ERRbeta E16 , Submitted Image - T75e16 Expression was detected in the outer neuroblastic layer.

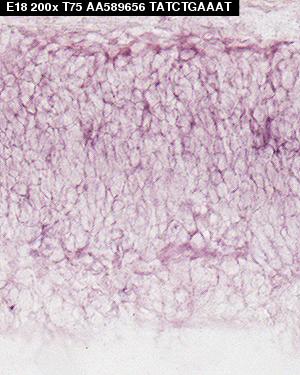
Specimen E18: embryonic day 18.0 (more )
Structure Level Pattern Image Note
TS26: retina outer nuclear layer Present Regionally restricted 4_ERRbeta E18 , Submitted Image - T75e18 Expression was detected in a subset of cells in the outer neuroblastic layer.

Specimen P0/1: postnatal day 0-1 (more )
Structure Level Pattern Image Note
TS27: retina outer nuclear layer Weak Submitted Image - T75p0b , Submitted Image - T75p0 , 4_ERRbeta P0 Expression was detected in the outer neuroblastic layer.

Specimen P2/3: postnatal day 2-3 (more )
Structure Level Pattern Image Note
TS27: retina outer nuclear layer Present Submitted Image - T75p2 , 4_ERRbeta P2 , Submitted Image - T75p2b Expression was detected in the outer neuroblastic layer but was higher in a subset of cells.

Specimen P4/5: postnatal day 4-5 (more )
Structure Level Pattern Image Note
TS28: retina outer nuclear layer Present 4_ERRbeta P4 , Submitted Image - T75p4 Expression was detected in the outer neuroblastic layer but was higher in a subset of cells.

Specimen P6/7: postnatal day 6-7 (more )
Structure Level Pattern Image Note
TS28: retina outer nuclear layer Present 4_ERRbeta P6 , Submitted Image - T75p6 Expression was detected in the outer nuclear layer but was higher in a subset.

Specimen P8/10: postnatal day 8-10 (more )
Structure Level Pattern Image Note
TS28: retina outer nuclear layer Present Submitted Image - T75p8 , Submitted Image - T75p8b , Submitted Image - T75p10 , Submitted Image - T75p10b , 4_ERRbeta P8
TS28: retina inner nuclear layer Present Regionally restricted Submitted Image - T75p8 , Submitted Image - T75p10b , Submitted Image - T75p10 , Submitted Image - T75p8b , 4_ERRbeta P8 Expression was detected in a subset of the inner nuclear layer.

Specimen Adult: postnatal adult (more )
Structure Level Pattern Image Note
TS28: retina outer nuclear layer Present 4_ERRbeta Adult , Submitted Image - T75ad , Submitted Image - T75adc , Submitted Image - T75adb

Specimen CNS: postnatal day 6 (more )
Structure Level Pattern Image Note
TS28: brainstem Present Regionally restricted Expression was detected in a subset of the brainstem.
TS28: cerebellum external granule cell layer Present

Specimen Embryo: embryonic day 16.0 (more )
Structure Level Pattern Image Note
TS24: central nervous system Present Regionally restricted Expression was detected in CNS subsets.


Contributing Projects:
Mouse Genome Database (MGD), Gene Expression Database (GXD), Mouse Models of Human Cancer database (MMHCdb) (formerly Mouse Tumor Biology (MTB)), Gene Ontology (GO)
Citing These Resources
Funding Information
Warranty Disclaimer, Privacy Notice, Licensing, & Copyright
Send questions and comments to User Support.
last database update
04/07/2026
MGI 6.24
The Jackson Laboratory