About   Help   FAQ
Gene Expression Data
Assay Details
Assay
Reference: J:93300 Blackshaw S, et al., Genomic analysis of mouse retinal development. PLoS Biol. 2004 Oct;2(9):E247
Assay type: RNA in situ
MGI Accession ID: MGI:3586218
Gene symbol: Crx
Gene name: cone-rod homeobox
Probe: UI-M-AO1-aeg-b-05-0-UI.s1
Probe preparation: Antisense labelled with digoxigenin RNA
Visualized with: Alkaline phosphatase
Assay notes: This data is from Supplemental Table 5, Gene column, row: 8008 Cone-rod homeobox containing gene. After cryosectioning, tissue was fixed for 10' in 4% paraformaldehyde prior to processing.
Results
Specimen E12: embryonic day 12.0 (more )
Structure Level Pattern Image Note
TS20: retina Absent

Specimen E14: embryonic day 14.0 (more )
Structure Level Pattern Image Note
TS22: neural retinal epithelium Present Regionally restricted Submitted Image - Crxe14 , Submitted Image - AI45E14 Expression was detected in the extreme scleral outer neuroblastic layer (cones) of the central retina only.

Specimen E16: embryonic day 16.0 (more )
Structure Level Pattern Image Note
TS24: retina nuclear layer Present Regionally restricted S6_Crx E16 , Submitted Image - Crxe16 , Submitted Image - AI45E16 Expression was detected in the extreme scleral outer neuroblastic layer (cones).

Specimen E18: embryonic day 18.0 (more )
Structure Level Pattern Image Note
TS26: retina outer nuclear layer Present Regionally restricted Submitted Image - AI45E18b , S6_Crx E18 , Submitted Image - Crxe18 , Submitted Image - AI45E18 Expression was detected in the extreme scleral outer neuroblastic layer (cones).

Specimen P0/1: postnatal day 0-1 (more )
Structure Level Pattern Image Note
TS27: retina outer nuclear layer Present Regionally restricted Submitted Image - AI45P0 , S6_Crx P0 , Submitted Image - Crxep0 , Submitted Image - Crxep0b Expression was detected in the scleral outer neuroblastic layer.

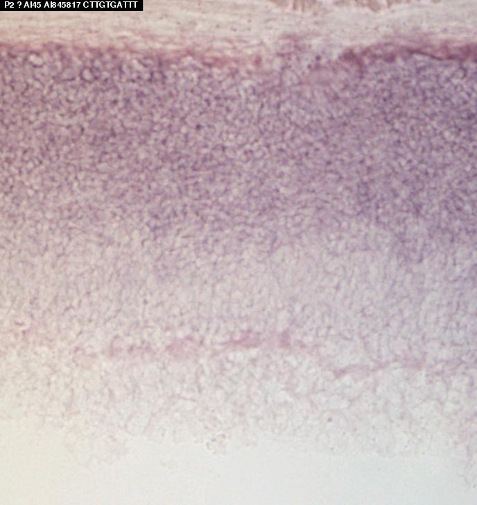
Specimen P2/3: postnatal day 2-3 (more )
Structure Level Pattern Image Note
TS27: retina outer nuclear layer Present Regionally restricted S6_Crx P2 , Submitted Image - Crxep2 , Submitted Image - AI45P2 Expression was detected in the scleral outer neuroblastic layer.

Specimen P4/5: postnatal day 4-5 (more )
Structure Level Pattern Image Note
TS28: retina outer nuclear layer Present Regionally restricted S6_Crx P4 , Submitted Image - Crxep4 , Submitted Image - AI45P4 Expression was detected in the scleral outer neuroblastic layer.

Specimen P6/7: postnatal day 6-7 (more )
Structure Level Pattern Image Note
TS28: retina outer nuclear layer Present S6_Crx P6 , Submitted Image - AI45P6 , Submitted Image - Crxep6 Expression was detected in the outer region of the inner nuclear layer.
TS28: retina inner nuclear layer Present Regionally restricted Submitted Image - Crxep6 , Submitted Image - AI45P6 , S6_Crx P6 Expression was detected in the outer region of the inner nuclear layer.

Specimen P8/10: postnatal day 8-10 (more )
Structure Level Pattern Image Note
TS28: retina outer nuclear layer Strong Regionally restricted Submitted Image - Crxep8b , S6_Crx P8 , Submitted Image - AI45P8 Expression was detected in the inner segment.
TS28: retina inner nuclear layer Weak Regionally restricted S6_Crx P8 , Submitted Image - AI45P8 , Submitted Image - Crxep8b Expression was detected in outer region of the inner nuclear layer.

Specimen Adult: postnatal adult (more )
Structure Level Pattern Image Note
TS28: retina outer nuclear layer Present Regionally restricted Submitted Image - Crxadb , Submitted Image - AI45AD , S6_Crx Adult Expression was detected in the inner segment.
TS28: retina inner nuclear layer Present Submitted Image - Crxadb , Submitted Image - AI45AD , S6_Crx Adult

Specimen CNS: postnatal day 6 (more )
Structure Level Pattern Image Note
TS28: central nervous system Present Expression was widespread.


Contributing Projects:
Mouse Genome Database (MGD), Gene Expression Database (GXD), Mouse Models of Human Cancer database (MMHCdb) (formerly Mouse Tumor Biology (MTB)), Gene Ontology (GO)
Citing These Resources
Funding Information
Warranty Disclaimer, Privacy Notice, Licensing, & Copyright
Send questions and comments to User Support.
last database update
04/14/2026
MGI 6.24
The Jackson Laboratory