About   Help   FAQ
Gene Expression Data
Assay Details
Assay
Reference: J:93300 Blackshaw S, et al., Genomic analysis of mouse retinal development. PLoS Biol. 2004 Oct;2(9):E247
Assay type: RNA in situ
MGI Accession ID: MGI:3586217
Gene symbol: Gabrb3
Gene name: GABRB3, gamma-aminobutyric acid type A receptor subunit beta 3
Probe: UI-M-AJ1-ahc-e-09-0-UI.s1
Probe preparation: Antisense labelled with digoxigenin RNA
Visualized with: Alkaline phosphatase
Assay notes: This data is from Supplemental Table 5, Gene column, row: 8004 gamma-aminobutyric acid (GABA-A) receptor, subunit beta 3. After cryosectioning, tissue was fixed for 10' in 4% paraformaldehyde prior to processing.
Results
Specimen E14: embryonic day 14.0 (more )
Structure Level Pattern Image Note
TS22: neural retinal epithelium Present Regionally restricted Submitted Image - am10e14 Expression was detected in the outer neuroblastic layer.

Specimen E16: embryonic day 16.0 (more )
Structure Level Pattern Image Note
TS24: retina nuclear layer Present Regionally restricted Submitted Image - am10e16 Expression was detected in the outer neuroblastic layer.

Specimen E18: embryonic day 18.0 (more )
Structure Level Pattern Image Note
TS26: retina outer nuclear layer Present Submitted Image - am10e18 Expression was detected in the outer neuroblastic layer.

Specimen P0/1: postnatal day 0-1 (more )
Structure Level Pattern Image Note
TS27: retina outer nuclear layer Present Submitted Image - am10p0 , Submitted Image - am10p0b Expression was detected in the outer neuroblastic layer.

Specimen P2/3: postnatal day 2-3 (more )
Structure Level Pattern Image Note
TS27: retina outer nuclear layer Present Submitted Image - am10p2 Expression was detected in the outer neuroblastic layer.

Specimen P4/5: postnatal day 4-5 (more )
Structure Level Pattern Image Note
TS28: retina outer nuclear layer Present Submitted Image - am10p4 Expression was detected in the outer neuroblastic layer.

Specimen P6/7: postnatal day 6-7 (more )
Structure Level Pattern Image Note
TS28: retina outer nuclear layer Present Submitted Image - am10p6
TS28: retina inner nuclear layer Present Submitted Image - am10p6

Specimen P8/10: postnatal day 8-10 (more )
Structure Level Pattern Image Note
TS28: retina inner nuclear layer Present Submitted Image - am10p10b , Submitted Image - am10p10 , Submitted Image - am10p8
TS28: retina outer nuclear layer Present Submitted Image - am10p10b , Submitted Image - am10p8 , Submitted Image - am10p10

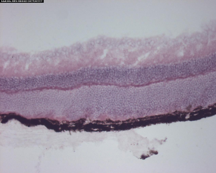
Specimen Adult: postnatal adult (more )
Structure Level Pattern Image Note
TS28: retina inner nuclear layer Present Submitted Image - am10ad , Submitted Image - am10adb , Submitted Image - am10adc
TS28: retina outer nuclear layer Present Submitted Image - am10adc , Submitted Image - am10adb , Submitted Image - am10ad

Specimen CNS: postnatal day 6 (more )
Structure Level Pattern Image Note
TS28: cerebellum Present
TS28: hippocampus Present

Specimen Embryo: embryonic day 16.0 (more )
Structure Level Pattern Image Note
TS24: central nervous system Present


Contributing Projects:
Mouse Genome Database (MGD), Gene Expression Database (GXD), Mouse Models of Human Cancer database (MMHCdb) (formerly Mouse Tumor Biology (MTB)), Gene Ontology (GO)
Citing These Resources
Funding Information
Warranty Disclaimer, Privacy Notice, Licensing, & Copyright
Send questions and comments to User Support.
last database update
03/24/2026
MGI 6.24
The Jackson Laboratory