About   Help   FAQ
Gene Expression Data
Assay Details
Assay
Reference: J:93300 Blackshaw S, et al., Genomic analysis of mouse retinal development. PLoS Biol. 2004 Oct;2(9):E247
Assay type: RNA in situ
MGI Accession ID: MGI:3586155
Gene symbol: Klf13
Gene name: Kruppel-like transcription factor 13
Probe: UI-M-BH1-amq-b-11-0-UI.s1
Probe preparation: Antisense labelled with digoxigenin RNA
Visualized with: Alkaline phosphatase
Assay notes: This data is from Supplemental Table 5, Gene column, row: 18538 ADP-ribosylation factor-directed GTPase activating protein, isoform a/DEF-1 alters cell motility through the deactivation of ARF1. After cryosectioning, tissue was fixed for 10' in 4% paraformaldehyde prior to processing.
Results
Specimen E14: embryonic day 14.0 (more )
Structure Level Pattern Image Note
TS22: neural retinal epithelium Present Regionally restricted Submitted Image - T51e14 Expression was detected in a subset of cells in the outer neuroblastic layer and the scleral inner neuroblastic layer. The expression level was higher in the scleral inner neuroblastic layer.

Specimen E16: embryonic day 16.0 (more )
Structure Level Pattern Image Note
TS24: retina nuclear layer Present Regionally restricted S10_Arf GAP E16 , Submitted Image - T51e16 Expression was detected in a subset of cells in the outer neuroblastic layer and in the scleral inner neuroblastic layer. The expression level was higher in the scleral inner neuroblastic layer.

Specimen E18: embryonic day 18.0 (more )
Structure Level Pattern Image Note
TS26: retina outer nuclear layer Present Regionally restricted Submitted Image - T51e18 , S10_Arf GAP E18 Expression was detected in a subset of cells in the outer neuroblastic layer.
TS26: retina inner nuclear layer Present Regionally restricted S10_Arf GAP E18 , Submitted Image - T51e18 Expression was detected in the scleral inner neuroblastic layer.

Specimen P0/1: postnatal day 0-1 (more )
Structure Level Pattern Image Note
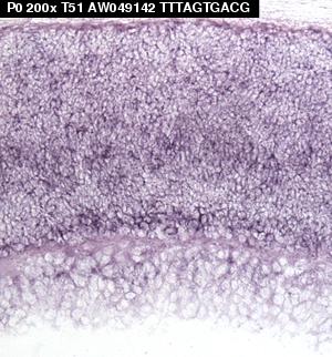
TS27: retina outer nuclear layer Present Regionally restricted Submitted Image - T51p0 , S10_Arf GAP P0 , Submitted Image - T51p0b Expression was detected in a subset of cells in the vitreal outer neuroblastic layer.
TS27: retina inner nuclear layer Present Regionally restricted Submitted Image - T51p0 , S10_Arf GAP P0 , Submitted Image - T51p0b Expression was detected in the scleral inner neuroblastic layer.

Specimen P2/3: postnatal day 2-3 (more )
Structure Level Pattern Image Note
TS27: retina outer nuclear layer Present Regionally restricted S10_Arf GAP P2 , Submitted Image - T51p2b , Submitted Image - T51p2 Expression was detected in a subset of cells in the vitreal outer neuroblastic layer.
TS27: retina inner nuclear layer Present Regionally restricted Submitted Image - T51p2b , Submitted Image - T51p2 , S10_Arf GAP P2 Expression was detected in the scleral inner neuroblastic layer.

Specimen P4/5: postnatal day 4-5 (more )
Structure Level Pattern Image Note
TS28: retina outer nuclear layer Present Regionally restricted S10_Arf GAP P4 , Submitted Image - T51p4b , Submitted Image - T51p4 Expression was detected in a subset of cells in the vitreal outer neuroblastic layer.
TS28: retina inner nuclear layer Present Regionally restricted Submitted Image - T51p4 , S10_Arf GAP P4 , Submitted Image - T51p4b Expression was detected in the scleral inner neuroblastic layer.

Specimen P6/7: postnatal day 6-7 (more )
Structure Level Pattern Image Note
TS28: retina outer nuclear layer Present S10_Arf GAP P6 , Submitted Image - T51p6
TS28: retina layer Present Regionally restricted Submitted Image - T51p6 , S10_Arf GAP P6 Expression was detected in amacrine and horizontal cells.
TS28: retina inner nuclear layer Present Submitted Image - T51p6 , S10_Arf GAP P6

Specimen P8/10: postnatal day 8-10 (more )
Structure Level Pattern Image Note
TS28: retina outer nuclear layer Present S10_Arf GAP P8
TS28: retina inner nuclear layer Present S10_Arf GAP P8
TS28: retina layer Present Regionally restricted S10_Arf GAP P8 Expression was detected in amacrine cells.

Specimen Adult: postnatal adult (more )
Structure Level Pattern Image Note
TS28: retina layer Present Regionally restricted Submitted Image - T51adb , Submitted Image - T51ad , S10_Arf GAP Adult Expression was detected in amacrine cells.


Contributing Projects:
Mouse Genome Database (MGD), Gene Expression Database (GXD), Mouse Models of Human Cancer database (MMHCdb) (formerly Mouse Tumor Biology (MTB)), Gene Ontology (GO)
Citing These Resources
Funding Information
Warranty Disclaimer, Privacy Notice, Licensing, & Copyright
Send questions and comments to User Support.
last database update
12/30/2025
MGI 6.24
The Jackson Laboratory