About   Help   FAQ
Gene Expression Data
Assay Details
Assay
Reference: J:93300 Blackshaw S, et al., Genomic analysis of mouse retinal development. PLoS Biol. 2004 Oct;2(9):E247
Assay type: RNA in situ
MGI Accession ID: MGI:3586150
Gene symbol: Wnt10a
Gene name: wingless-type MMTV integration site family, member 10A
Probe: UI-M-BH1-ani-d-07-0-UI.s1
Probe preparation: Antisense labelled with digoxigenin RNA
Visualized with: Alkaline phosphatase
Assay notes: This data is from Supplemental Table 5, Gene column, row: 5130 wnt10a. After cryosectioning, tissue was fixed for 10' in 4% paraformaldehyde prior to processing.
Results
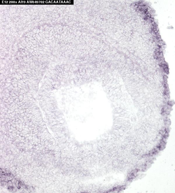
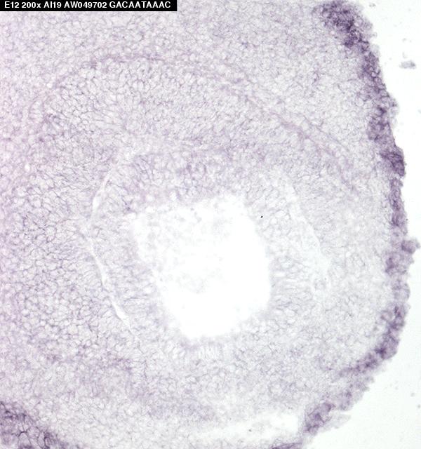
Specimen E12: embryonic day 12.0 (more )
Structure Level Pattern Image Note
TS20: neural retinal epithelium Weak Regionally restricted Submitted Image - AI19e12b , Submitted Image - AI19e12 Expression was detected in the outer neuroblastic layer.

Specimen E16: embryonic day 16.0 (more )
Structure Level Pattern Image Note
TS24: retina nuclear layer Present Regionally restricted Expression was detected in a subset of cells in the outer neuroblastic layer.

Specimen E18: embryonic day 18.0 (more )
Structure Level Pattern Image Note
TS26: retina outer nuclear layer Present Regionally restricted Expression was detected in a subset of cells in the outer neuroblastic layer.

Specimen P0/1: postnatal day 0-1 (more )
Structure Level Pattern Image Note
TS27: retina outer nuclear layer Present Regionally restricted Expression was detected in a subset of cells in the vitreal outer neuroblastic layer.

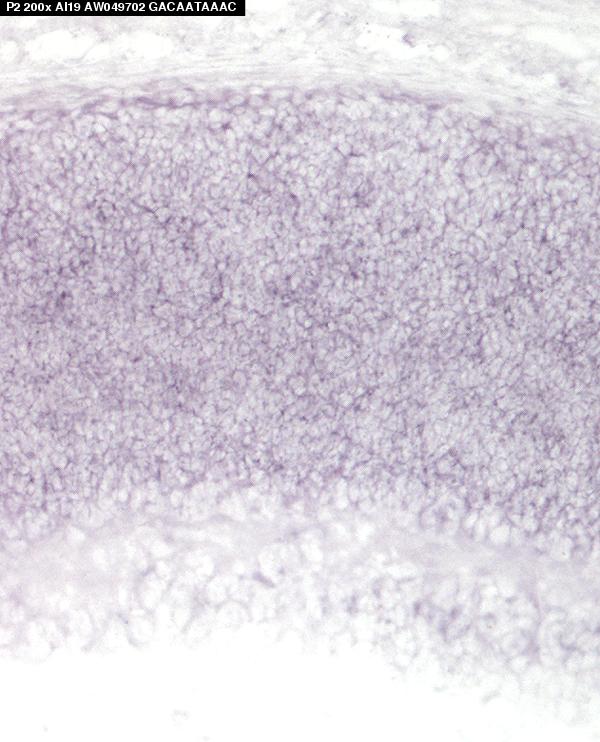
Specimen P2/3: postnatal day 2-3 (more )
Structure Level Pattern Image Note
TS27: retina outer nuclear layer Present Regionally restricted Submitted Image - AI19p2 Expression was detected in a subset of cells in the vitreal outer neuroblastic layer.

Specimen P4/5: postnatal day 4-5 (more )
Structure Level Pattern Image Note
TS28: retina outer nuclear layer Present Regionally restricted Submitted Image - AI19p4b Expression was detected in the scleral and vitreal outer neuroblastic layer. The expression level was higher in the vitreal outer neuroblastic layer.

Specimen P6/7: postnatal day 6-7 (more )
Structure Level Pattern Image Note
TS28: retina outer nuclear layer Weak
TS28: retina inner nuclear layer Present

Specimen P8/10: postnatal day 8-10 (more )
Structure Level Pattern Image Note
TS28: retina outer nuclear layer Weak
TS28: retina inner nuclear layer Present

Specimen Adult: postnatal adult (more )
Structure Level Pattern Image Note
TS28: retina inner nuclear layer Present Submitted Image - AI19adb , Submitted Image - AI19ad
TS28: retina outer nuclear layer Present Submitted Image - AI19adb , Submitted Image - AI19ad

Specimen CNS: postnatal day 6 (more )
Structure Level Pattern Image Note
TS28: tooth Present
TS28: hair follicle Present

Specimen Embryo: embryonic day 12.0 (more )
Structure Level Pattern Image Note
TS20: skin Present
TS20: central nervous system Present Regionally restricted Expression was detected in CNS subsets.

Specimen Embryo: embryonic day 16.0 (more )
Structure Level Pattern Image Note
TS24: sclera Present
TS24: tongue epithelium Present
TS24: trachea Present
TS24: central nervous system Present Regionally restricted Expression was detected in a CNS subset.


Contributing Projects:
Mouse Genome Database (MGD), Gene Expression Database (GXD), Mouse Models of Human Cancer database (MMHCdb) (formerly Mouse Tumor Biology (MTB)), Gene Ontology (GO)
Citing These Resources
Funding Information
Warranty Disclaimer, Privacy Notice, Licensing, & Copyright
Send questions and comments to User Support.
last database update
01/20/2026
MGI 6.24
The Jackson Laboratory