| Assay |
|
||||||||||||||||||||||||||||||||||||||||||||||||||||||||||||||||||||||||||||||||||||||||||
| Results |
Specimen
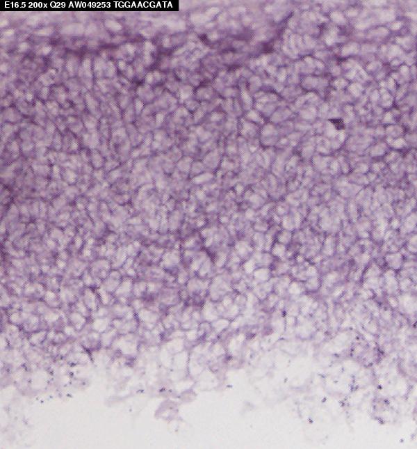
E16:
embryonic day 16.0
(more
)
Specimen
P0/1:
postnatal day 0-1
(more
)
Specimen
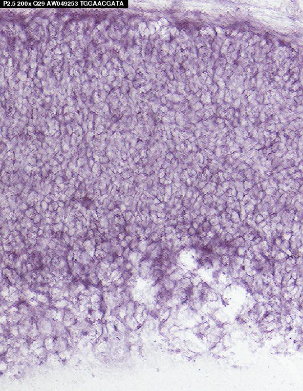
P2/3:
postnatal day 2-3
(more
)
Specimen
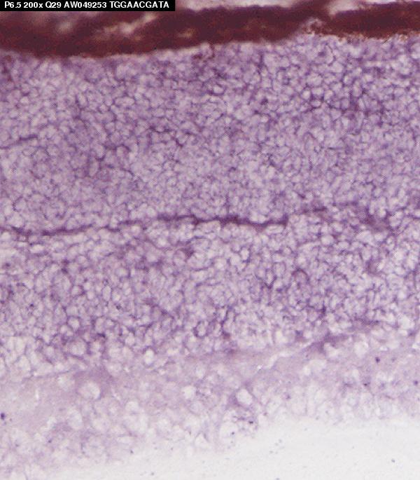
P6/7:
postnatal day 6-7
(more
)
Specimen
Adult:
postnatal adult
(more
)
Specimen
CNS:
postnatal day 6
(more
)
Specimen
Embryo:
embryonic day 16.0
(more
)
|
Mouse Genome Database (MGD), Gene Expression Database (GXD), Mouse Models of Human Cancer database (MMHCdb) (formerly Mouse Tumor Biology (MTB)), Gene Ontology (GO) |
||
|
Citing These Resources Funding Information Warranty Disclaimer, Privacy Notice, Licensing, & Copyright Send questions and comments to User Support. |
last database update 03/31/2026 MGI 6.24 |
|
|
|
||