About   Help   FAQ
Gene Expression Data
Assay Details
Assay
Reference: J:93300 Blackshaw S, et al., Genomic analysis of mouse retinal development. PLoS Biol. 2004 Oct;2(9):E247
Assay type: RNA in situ
MGI Accession ID: MGI:3586098
Gene symbol: Dclk1
Gene name: doublecortin-like kinase 1
Probe: UI-M-BH0-ajz-f-02-0-UI.s1
Probe preparation: Antisense labelled with digoxigenin RNA
Visualized with: Alkaline phosphatase
Assay notes: This data is from Supplemental Table 5, Gene column, row: 39298 double cortin and calcium/calmodulin-dependent protein kinase-like 1. After cryosectioning, tissue was fixed for 10' in 4% paraformaldehyde prior to processing.
Results
Specimen E16: embryonic day 16.0 (more )
Structure Level Pattern Image Note
TS24: retina nuclear layer Present Regionally restricted Submitted Image - AP14e16.5 Expression was detected in the inner neuroblastic layer.

Specimen P0/1: postnatal day 0-1 (more )
Structure Level Pattern Image Note
TS27: retina inner nuclear layer Present Submitted Image - AP14p0.5 Expression was detected in the inner neuroblastic layer.

Specimen P2/3: postnatal day 2-3 (more )
Structure Level Pattern Image Note
TS27: retina inner nuclear layer Weak Submitted Image - AP14p2.5 Expression was detected in the inner neuroblastic layer.

Specimen P4/5: postnatal day 4-5 (more )
Structure Level Pattern Image Note
TS28: retina inner nuclear layer Weak Expression was detected in the inner neuroblastic layer.

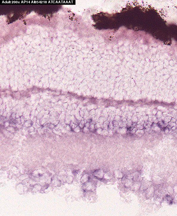
Specimen Adult: postnatal adult (more )
Structure Level Pattern Image Note
TS28: retina layer Present Regionally restricted Submitted Image - AP14adult Expression was detected in a subset of amacrine cells.

Specimen CNS: postnatal day 6 (more )
Structure Level Pattern Image Note
TS28: cerebral cortex Present
TS28: hippocampus Present

Specimen Embryo: embryonic day 16.0 (more )
Structure Level Pattern Image Note
TS24: central nervous system Present


Contributing Projects:
Mouse Genome Database (MGD), Gene Expression Database (GXD), Mouse Models of Human Cancer database (MMHCdb) (formerly Mouse Tumor Biology (MTB)), Gene Ontology (GO)
Citing These Resources
Funding Information
Warranty Disclaimer, Privacy Notice, Licensing, & Copyright
Send questions and comments to User Support.
last database update
12/30/2025
MGI 6.24
The Jackson Laboratory