About   Help   FAQ
Gene Expression Data
Assay Details
Assay
Reference: J:93300 Blackshaw S, et al., Genomic analysis of mouse retinal development. PLoS Biol. 2004 Oct;2(9):E247
Assay type: RNA in situ
MGI Accession ID: MGI:3586032
Gene symbol: Igsf21
Gene name: immunoglobulin superfamily, member 21
Probe: UI-M-AH1-agt-d-05-0-UI.s1
Probe preparation: Antisense labelled with digoxigenin RNA
Visualized with: Alkaline phosphatase
Assay notes: This data is from Supplemental Table 5, Gene column, row: 41284 ESTs/Ig domains . After cryosectioning, tissue was fixed for 10' in 4% paraformaldehyde prior to processing.
Results
Specimen E14: embryonic day 14.0 (more )
Structure Level Pattern Image Note
TS22: retina Absent Submitted Image - 85Be14

Specimen E16: embryonic day 16.0 (more )
Structure Level Pattern Image Note
TS24: retina nuclear layer Present Regionally restricted Submitted Image - 85Be16 Expression was detected in a subset of cells in the scleral outer neuroblastic layer.

Specimen E18: embryonic day 18.0 (more )
Structure Level Pattern Image Note
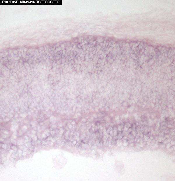
TS26: retina outer nuclear layer Present Regionally restricted Submitted Image - 85Be18 Expression was detected in a subset of cells in the scleral outer neuroblastic layer.

Specimen P0/1: postnatal day 0-1 (more )
Structure Level Pattern Image Note
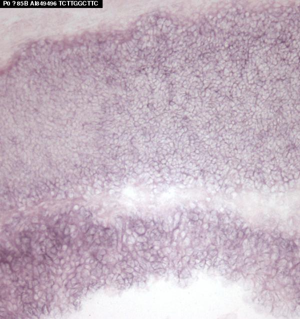
TS27: retina outer nuclear layer Present Regionally restricted Submitted Image - 85Bp0 Expression was detected in subsets of cells in the scleral outer neuroblastic layer.

Specimen P2/3: postnatal day 2-3 (more )
Structure Level Pattern Image Note
TS27: retina outer nuclear layer Present Regionally restricted Submitted Image - 85Bp2 Expression was detected in subsets of cells in the scleral outer neuroblastic layer.

Specimen P4/5: postnatal day 4-5 (more )
Structure Level Pattern Image Note
TS28: retina outer nuclear layer Present Regionally restricted Submitted Image - 85Bp4 Expression was detected in a subset of cells in the vitreal outer neuroblastic layer.

Specimen P6/7: postnatal day 6-7 (more )
Structure Level Pattern Image Note
TS28: retina layer Present Regionally restricted Expression was detected in bipolar cells and a subset of photoreceptors. The expression level was higher in the bipolar cells.

Specimen P8/10: postnatal day 8-10 (more )
Structure Level Pattern Image Note
TS28: retina layer Present Regionally restricted Submitted Image - 85Bp8 Expression was detected in bipolar cells.
TS28: retina outer nuclear layer Present Regionally restricted Submitted Image - 85Bp8 Expression was detected in a subset of photoreceptors.

Specimen Adult: postnatal adult (more )
Structure Level Pattern Image Note
TS28: retina layer Present Regionally restricted Submitted Image - 85Badult Expression was detected in a subset of bipolar cells.

Specimen CNS: postnatal day 6 (more )
Structure Level Pattern Image Note
TS28: central nervous system Present Expression was widespread.

Specimen Embryo: embryonic day 16.0 (more )
Structure Level Pattern Image Note
TS24: central nervous system Present Regionally restricted Expression was detected in CNS subsets.


Contributing Projects:
Mouse Genome Database (MGD), Gene Expression Database (GXD), Mouse Models of Human Cancer database (MMHCdb) (formerly Mouse Tumor Biology (MTB)), Gene Ontology (GO)
Citing These Resources
Funding Information
Warranty Disclaimer, Privacy Notice, Licensing, & Copyright
Send questions and comments to User Support.
last database update
03/24/2026
MGI 6.24
The Jackson Laboratory