About   Help   FAQ
Gene Expression Data
Assay Details
Assay
Reference: J:93300 Blackshaw S, et al., Genomic analysis of mouse retinal development. PLoS Biol. 2004 Oct;2(9):E247
Assay type: RNA in situ
MGI Accession ID: MGI:3586031
Gene symbol: Stard7
Gene name: StAR related lipid transfer domain containing 7
Probe: UI-M-BH0-aji-b-08-0-UI.s1
Probe preparation: Antisense labelled with digoxigenin RNA
Visualized with: Alkaline phosphatase
Assay notes: This data is from Supplemental Table 5, Gene column, row: 41271 Stard7 START domain containing 7. After cryosectioning, tissue was fixed for 10' in 4% paraformaldehyde prior to processing.
Results
Specimen E18: embryonic day 18.0 (more )
Structure Level Pattern Image Note
TS26: retina Present Uniform Expression was panretinal.

Specimen P0/1: postnatal day 0-1 (more )
Structure Level Pattern Image Note
TS27: retina outer nuclear layer Weak Submitted Image - 16Dp1.5 Expression was detected in the outer neuroblastic layer.
TS27: retina inner nuclear layer Present Regionally restricted Submitted Image - 16Dp1.5 Expression was detected in the scleral inner neuroblastic layer.

Specimen P2/3: postnatal day 2-3 (more )
Structure Level Pattern Image Note
TS27: retina outer nuclear layer Present Submitted Image - 16Dp3.5 , Submitted Image - 16Dp3.5B , Submitted Image - 16Dp2.5 , Submitted Image - 16Dp3.5C Expression was detected in the outer neuroblastic layer.
TS27: retina inner nuclear layer Present Regionally restricted Submitted Image - 16Dp3.5B , Submitted Image - 16Dp3.5C , Submitted Image - 16Dp2.5 , Submitted Image - 16Dp3.5 Expression was detected in the scleral inner neuroblastic layer.

Specimen P4/5: postnatal day 4-5 (more )
Structure Level Pattern Image Note
TS28: retina outer nuclear layer Present Submitted Image - 16Dp5.5 , Submitted Image - 16Dp4.5 Expression was detected in the outer neuroblastic layer.
TS28: retina inner nuclear layer Present Regionally restricted Submitted Image - 16Dp5.5 , Submitted Image - 16Dp4.5 Expression was detected in the scleral inner neuroblastic layer.

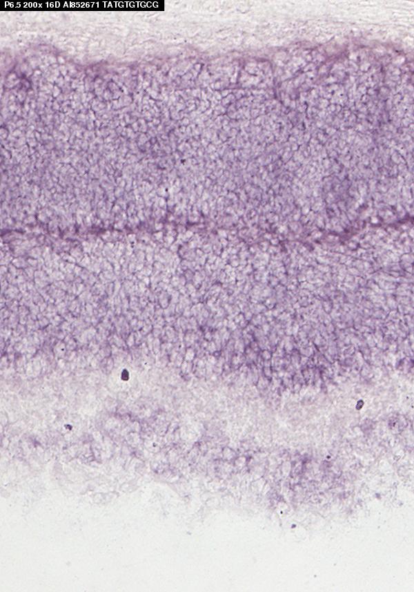
Specimen P6/7: postnatal day 6-7 (more )
Structure Level Pattern Image Note
TS28: retina outer nuclear layer Present Submitted Image - 16Dp7.5B , Submitted Image - 16Dp6.5 , Submitted Image - 16Dp7.5C , Submitted Image - 16Dp7.5
TS28: retina inner nuclear layer Present Submitted Image - 16Dp7.5C , Submitted Image - 16Dp6.5 , Submitted Image - 16Dp7.5B , Submitted Image - 16Dp7.5
TS28: retina layer Present Regionally restricted Submitted Image - 16Dp7.5C , Submitted Image - 16Dp7.5 , Submitted Image - 16Dp7.5B , Submitted Image - 16Dp6.5 Expression was detected in a subset of amacrine cells.

Specimen P8/10: postnatal day 8-10 (more )
Structure Level Pattern Image Note
TS28: retina outer nuclear layer Present Submitted Image - 16Dp10.5C , Submitted Image - 16Dp10.5B , Submitted Image - 16Dp8.5 , Submitted Image - 16Dp10.5
TS28: retina layer Weak Regionally restricted Submitted Image - 16Dp10.5B , Submitted Image - 16Dp10.5C , Submitted Image - 16Dp10.5 , Submitted Image - 16Dp8.5 Expression was detected in a subset of amacrine cells.

Specimen Adult: postnatal adult (more )
Structure Level Pattern Image Note
TS28: retina Present Uniform Submitted Image - 16DadultB , Submitted Image - 16Dadult Expression was panretinal.

Specimen CNS: postnatal day 6 (more )
Structure Level Pattern Image Note
TS28: central nervous system Present Expression was widespread.

Specimen Embryo: embryonic day 16.0 (more )
Structure Level Pattern Image Note
TS24: cortical plate Present
TS24: central nervous system Present
TS24: liver Present


Contributing Projects:
Mouse Genome Database (MGD), Gene Expression Database (GXD), Mouse Models of Human Cancer database (MMHCdb) (formerly Mouse Tumor Biology (MTB)), Gene Ontology (GO)
Citing These Resources
Funding Information
Warranty Disclaimer, Privacy Notice, Licensing, & Copyright
Send questions and comments to User Support.
last database update
12/30/2025
MGI 6.24
The Jackson Laboratory