About   Help   FAQ
Gene Expression Data
Assay Details
Assay
Reference: J:93300 Blackshaw S, et al., Genomic analysis of mouse retinal development. PLoS Biol. 2004 Oct;2(9):E247
Assay type: RNA in situ
MGI Accession ID: MGI:3586021
Gene symbol: Ndrg1
Gene name: N-myc downstream regulated gene 1
Probe: UI-M-BH0-aje-g-12-0-UI.s1
Probe preparation: Antisense labelled with digoxigenin RNA
Visualized with: Alkaline phosphatase
Assay notes: This data is from Supplemental Table 5, Gene column, row: 4063 N-myc downstream regulated 1. After cryosectioning, tissue was fixed for 10' in 4% paraformaldehyde prior to processing.
Results
Specimen P0/1: postnatal day 0-1 (more )
Structure Level Pattern Image Note
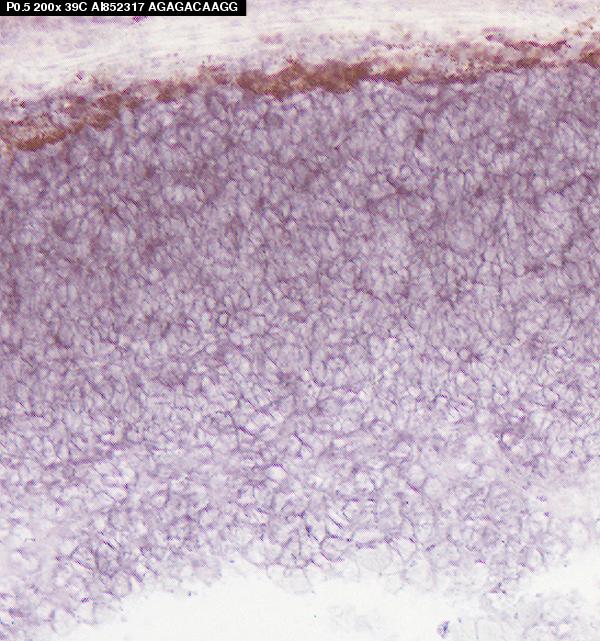
TS27: retina outer nuclear layer Present Regionally restricted Submitted Image - 39Cp0.5 Expression was detected in the outer neuroblastic layer but was higher in the scleral outer neuroblastic layer.
TS27: retina inner nuclear layer Present Regionally restricted Submitted Image - 39Cp0.5 Expression was detected in a subset of cells in the inner nuclear layer.

Specimen P4/5: postnatal day 4-5 (more )
Structure Level Pattern Image Note
TS28: retina outer nuclear layer Present Regionally restricted Submitted Image - 39Cp4.5 Expression was detected in the scleral and vitreal outer neuroblastic layer. The expression level was higher in the scleral outer neuroblastic layer but was strong in a subset of cells in the vitreal outer neuroblastic layer.

Specimen P6/7: postnatal day 6-7 (more )
Structure Level Pattern Image Note
TS28: retina outer nuclear layer Present Submitted Image - 39Cp7.5 , Submitted Image - 39Cp6.5
TS28: retina layer Strong Regionally restricted Submitted Image - 39Cp7.5 , Submitted Image - 39Cp6.5 Expression was detected in horizontal cells.
TS28: retina inner nuclear layer Present Submitted Image - 39Cp7.5 , Submitted Image - 39Cp6.5

Specimen P8/10: postnatal day 8-10 (more )
Structure Level Pattern Image Note
TS28: retina outer nuclear layer Present Submitted Image - 39Cp8.5
TS28: retina layer Strong Regionally restricted Submitted Image - 39Cp8.5 Expression was detected in horizontal cells.
TS28: retina inner nuclear layer Present Submitted Image - 39Cp8.5

Specimen Adult: postnatal adult (more )
Structure Level Pattern Image Note
TS28: retina outer nuclear layer Present Submitted Image - 39Cadult
TS28: retina inner nuclear layer Present Submitted Image - 39Cadult
TS28: retina layer Present Regionally restricted Submitted Image - 39Cadult Expression was detected in horizontal cells.

Specimen CNS: postnatal day 6 (more )
Structure Level Pattern Image Note
TS28: cerebral cortex Present
TS28: hippocampus Present
TS28: cerebellum Present

Specimen Embryo: embryonic day 16.0 (more )
Structure Level Pattern Image Note
TS24: forebrain Strong


Contributing Projects:
Mouse Genome Database (MGD), Gene Expression Database (GXD), Mouse Models of Human Cancer database (MMHCdb) (formerly Mouse Tumor Biology (MTB)), Gene Ontology (GO)
Citing These Resources
Funding Information
Warranty Disclaimer, Privacy Notice, Licensing, & Copyright
Send questions and comments to User Support.
last database update
12/30/2025
MGI 6.24
The Jackson Laboratory