About   Help   FAQ
Gene Expression Data
Assay Details
Assay
Reference: J:93300 Blackshaw S, et al., Genomic analysis of mouse retinal development. PLoS Biol. 2004 Oct;2(9):E247
Assay type: RNA in situ
MGI Accession ID: MGI:3586020
Gene symbol: Slit1
Gene name: slit guidance ligand 1
Probe: UI-M-BH0-aiz-f-03-0-UI.s1
Probe preparation: Antisense labelled with digoxigenin RNA
Visualized with: Alkaline phosphatase
Assay notes: This data is from Supplemental Table 5, Gene column, row: 40322 Slit1. After cryosectioning, tissue was fixed for 10' in 4% paraformaldehyde prior to processing.
Results
Specimen E12: embryonic day 12.0 (more )
Structure Level Pattern Image Note
TS20: retina Absent

Specimen E14: embryonic day 14.0 (more )
Structure Level Pattern Image Note
TS22: neural retinal epithelium Present Regionally restricted Submitted Image - AI11E14 Expression was detected in a small subset of cells in the outer neuroblastic layer of the central retina.

Specimen E16: embryonic day 16.0 (more )
Structure Level Pattern Image Note
TS24: retina nuclear layer Present Regionally restricted Submitted Image - AI11E16 Expression was detected in a large subset of cells in the outer neuroblastic layer.

Specimen E18: embryonic day 18.0 (more )
Structure Level Pattern Image Note
TS26: retina outer nuclear layer Present Regionally restricted Submitted Image - AI11E18 Expression was detected in the outer neuroblastic layer but was higher in a subset of cells.

Specimen P0/1: postnatal day 0-1 (more )
Structure Level Pattern Image Note
TS27: retina inner nuclear layer Present Regionally restricted Submitted Image - AI11P0 Expression was detected in the scleral inner neuroblastic layer.
TS27: retina Present Regionally restricted Submitted Image - AI11P0 In addition to staining in the scleral inner neuroblastic layer, expression was also tentatively detected in a subset of cells in the vitreal outer neuroblastic layer.

Specimen P2/3: postnatal day 2-3 (more )
Structure Level Pattern Image Note
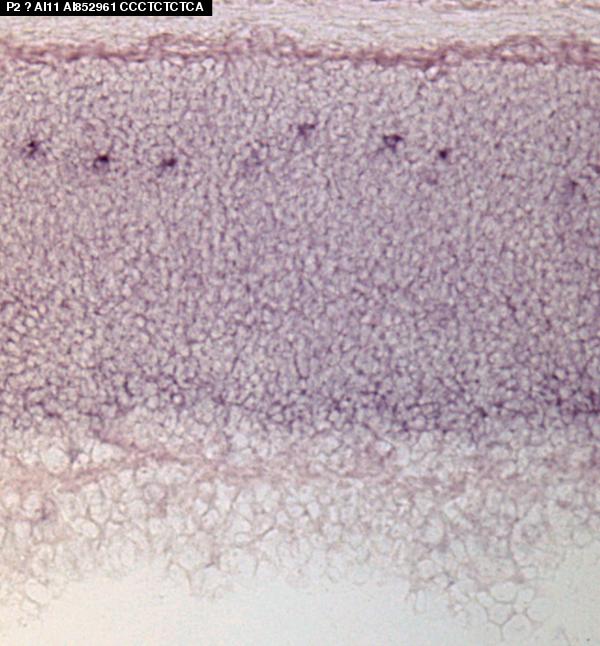
TS27: retina outer nuclear layer Present Regionally restricted Submitted Image - AI11P2 Expression was detected in a subset of cells in the vitreal outer neuroblastic layer.
TS27: retina inner nuclear layer Weak Regionally restricted Submitted Image - AI11P2 Expression was detected in the scleral inner neuroblastic layer.

Specimen P4/5: postnatal day 4-5 (more )
Structure Level Pattern Image Note
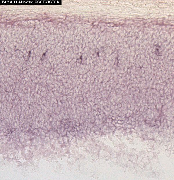
TS28: retina outer nuclear layer Present Regionally restricted Submitted Image - AI11P4 Expression was detected in a subset of cells in the vitreal outer neuroblastic layer.
TS28: retina inner nuclear layer Weak Regionally restricted Submitted Image - AI11P4 Expression was detected in the scleral inner neuroblastic layer.

Specimen P6/7: postnatal day 6-7 (more )
Structure Level Pattern Image Note
TS28: retina layer Present Regionally restricted Submitted Image - AI11P6 Expression was detected in horizontal cells and was weak in amacrine cells.

Specimen Adult: postnatal adult (more )
Structure Level Pattern Image Note
TS28: retina layer Present Regionally restricted Expression was detected in horizontal cells.

Specimen CNS: postnatal day 6 (more )
Structure Level Pattern Image Note
TS28: hippocampus Present

Specimen Embryo: embryonic day 16.0 (more )
Structure Level Pattern Image Note
TS24: central nervous system Present
TS24: liver Present


Contributing Projects:
Mouse Genome Database (MGD), Gene Expression Database (GXD), Mouse Models of Human Cancer database (MMHCdb) (formerly Mouse Tumor Biology (MTB)), Gene Ontology (GO)
Citing These Resources
Funding Information
Warranty Disclaimer, Privacy Notice, Licensing, & Copyright
Send questions and comments to User Support.
last database update
12/30/2025
MGI 6.24
The Jackson Laboratory