About   Help   FAQ
Gene Expression Data
Assay Details
Assay
Reference: J:93300 Blackshaw S, et al., Genomic analysis of mouse retinal development. PLoS Biol. 2004 Oct;2(9):E247
Assay type: RNA in situ
MGI Accession ID: MGI:3586018
Gene symbol: Gm14290
Gene name: predicted gene 14290
Probe: UI-M-BH0-aja-d-11-0-UI.s1
Probe preparation: Antisense labelled with digoxigenin RNA
Visualized with: Alkaline phosphatase
Assay notes: This data is from Supplemental Table 5, Gene column, row: 40297 ESTs/Kv2.1 potassium channel . After cryosectioning, tissue was fixed for 10' in 4% paraformaldehyde prior to processing.
Results
Specimen E14: embryonic day 14.0 (more )
Structure Level Pattern Image Note
TS22: retina Absent

Specimen E18: embryonic day 18.0 (more )
Structure Level Pattern Image Note
TS26: retina outer nuclear layer Present Expression was detected in the outer neuroblastic layer.

Specimen P0/1: postnatal day 0-1 (more )
Structure Level Pattern Image Note
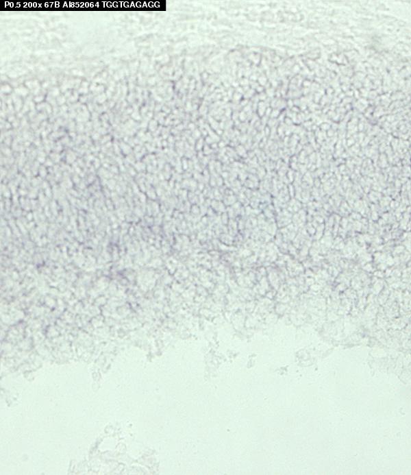
TS27: retina inner nuclear layer Present Submitted Image - 67Bp0.5 , Submitted Image - 67Bp1.5 Expression was detected in the inner neuroblastic layer.

Specimen P2/3: postnatal day 2-3 (more )
Structure Level Pattern Image Note
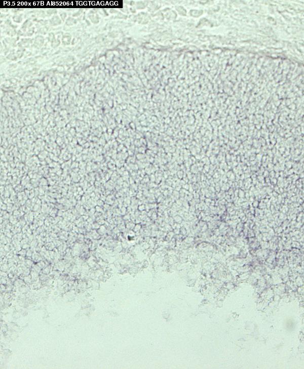
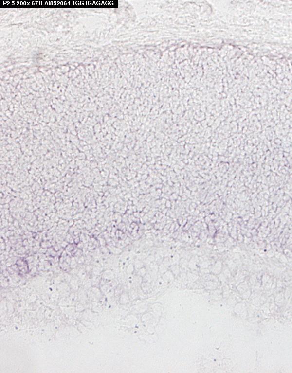
TS27: retina inner nuclear layer Present Submitted Image - 67Bp3.5B , Submitted Image - 67Bp3.5 , Submitted Image - 67Bp2.5B , Submitted Image - 67Bp3.5C , Submitted Image - 67Bp2.5 Expression was detected in the inner neuroblastic layer.

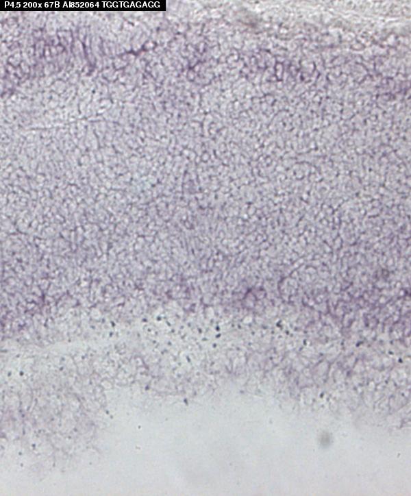
Specimen P4/5: postnatal day 4-5 (more )
Structure Level Pattern Image Note
TS28: retina outer nuclear layer Present Regionally restricted Submitted Image - 67Bp4.5 Expression was detected in the outer scleral outer neuroblastic layer.
TS28: retina inner nuclear layer Present Submitted Image - 67Bp4.5 Expression was detected in the inner neuroblastic layer.

Specimen P6/7: postnatal day 6-7 (more )
Structure Level Pattern Image Note
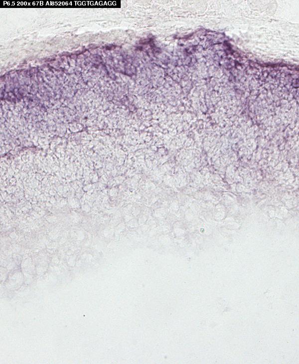
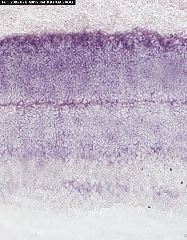
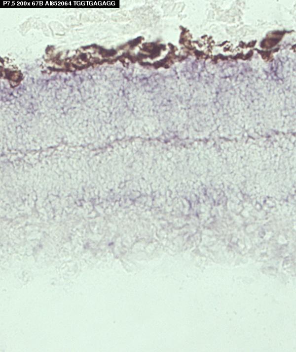
TS28: retina outer nuclear layer Present Regionally restricted Submitted Image - 67Bp7.5 , Submitted Image - 67Bp6.5 , Submitted Image - 67Bp7.5C , Submitted Image - 67Bp6.5B , Submitted Image - 67Bp7.5B , Submitted Image - 67Bp7.5D Expression was detected in the outer region of the outer nuclear layer.
TS28: retina layer Weak Regionally restricted Submitted Image - 67Bp6.5 , Submitted Image - 67Bp7.5D , Submitted Image - 67Bp7.5 , Submitted Image - 67Bp7.5C , Submitted Image - 67Bp6.5B , Submitted Image - 67Bp7.5B Expression was detected in amacrine cells.
TS28: retina ganglion cell layer Weak Submitted Image - 67Bp7.5D , Submitted Image - 67Bp7.5C , Submitted Image - 67Bp6.5 , Submitted Image - 67Bp7.5 , Submitted Image - 67Bp7.5B , Submitted Image - 67Bp6.5B

Specimen P8/10: postnatal day 8-10 (more )
Structure Level Pattern Image Note
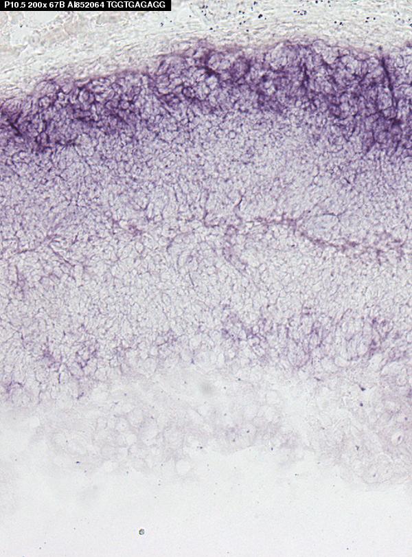
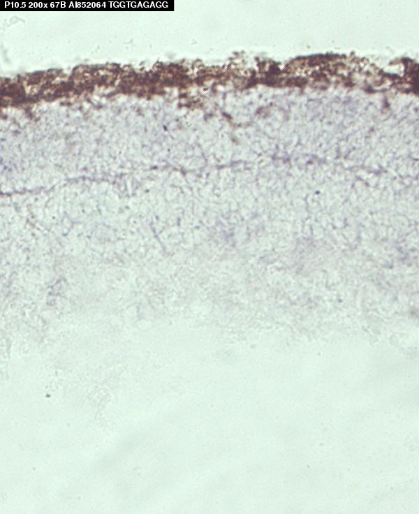
TS28: retina outer nuclear layer Strong Regionally restricted Submitted Image - 67Bp8.5 , Submitted Image - 67Bp10.5B , Submitted Image - 67Bp10.5C , Submitted Image - 67Bp10.5 Expression was detected in the inner segment.

Specimen Adult: postnatal adult (more )
Structure Level Pattern Image Note
TS28: retina outer nuclear layer Present Regionally restricted Submitted Image - 67BadultC Expression was detected in the inner segment.

Specimen CNS: postnatal day 6 (more )
Structure Level Pattern Image Note
TS28: central nervous system Absent

Specimen Embryo: embryonic day 16.0 (more )
Structure Level Pattern Image Note
TS24: embryo Absent


Contributing Projects:
Mouse Genome Database (MGD), Gene Expression Database (GXD), Mouse Models of Human Cancer database (MMHCdb) (formerly Mouse Tumor Biology (MTB)), Gene Ontology (GO)
Citing These Resources
Funding Information
Warranty Disclaimer, Privacy Notice, Licensing, & Copyright
Send questions and comments to User Support.
last database update
04/14/2026
MGI 6.24
The Jackson Laboratory