About   Help   FAQ
Gene Expression Data
Assay Details
Assay
Reference: J:93300 Blackshaw S, et al., Genomic analysis of mouse retinal development. PLoS Biol. 2004 Oct;2(9):E247
Assay type: RNA in situ
MGI Accession ID: MGI:3586017
Gene symbol: Gphn
Gene name: gephyrin
Probe: UI-M-CG0p-bme-b-05-0-UI.s1
Probe preparation: Antisense labelled with digoxigenin RNA
Visualized with: Alkaline phosphatase
Assay notes: This data is from Supplemental Table 5, Gene column, row: 40282 Gphn gephyrin. After cryosectioning, tissue was fixed for 10' in 4% paraformaldehyde prior to processing.
Results
Specimen E12: embryonic day 12.0 (more )
Structure Level Pattern Image Note
TS20: retina Absent

Specimen E14: embryonic day 14.0 (more )
Structure Level Pattern Image Note
TS22: neural retinal epithelium Present Regionally restricted Expression was detected in the outer neuroblastic layer.

Specimen E16: embryonic day 16.0 (more )
Structure Level Pattern Image Note
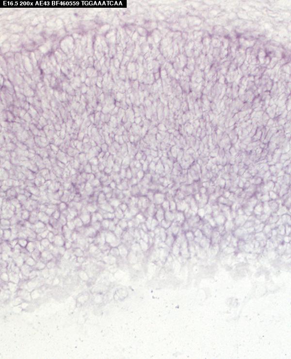
TS24: retina nuclear layer Present Regionally restricted Submitted Image - ae43BE16.5 , Submitted Image - ae43E16.5 Expression was detected in the inner neuroblastic layer and a subset of cells in the outer neuroblastic layer. The expression level was higher in the inner neuroblastic layer.

Specimen E18: embryonic day 18.0 (more )
Structure Level Pattern Image Note
TS26: retina outer nuclear layer Present Submitted Image - ae43BE18.5 Expression was detected in the outer neuroblastic layer.
TS26: retina inner nuclear layer Present Submitted Image - ae43BE18.5 Expression was detected in the inner neuroblastic layer.

Specimen P0/1: postnatal day 0-1 (more )
Structure Level Pattern Image Note
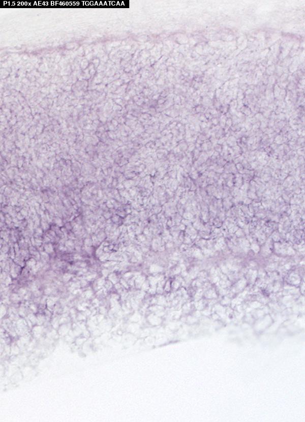
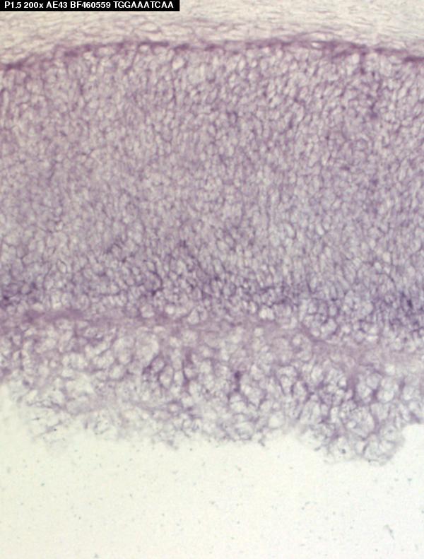
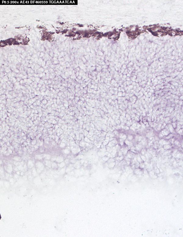
TS27: retina outer nuclear layer Present Submitted Image - ae43BP0.5 , Submitted Image - ae43P1.5 , Submitted Image - ae43BP1.5 Expression was detected in the outer neuroblastic layer.
TS27: retina inner nuclear layer Present Submitted Image - ae43BP0.5 , Submitted Image - ae43P1.5 , Submitted Image - ae43BP1.5 Expression was detected in the inner neuroblastic layer.

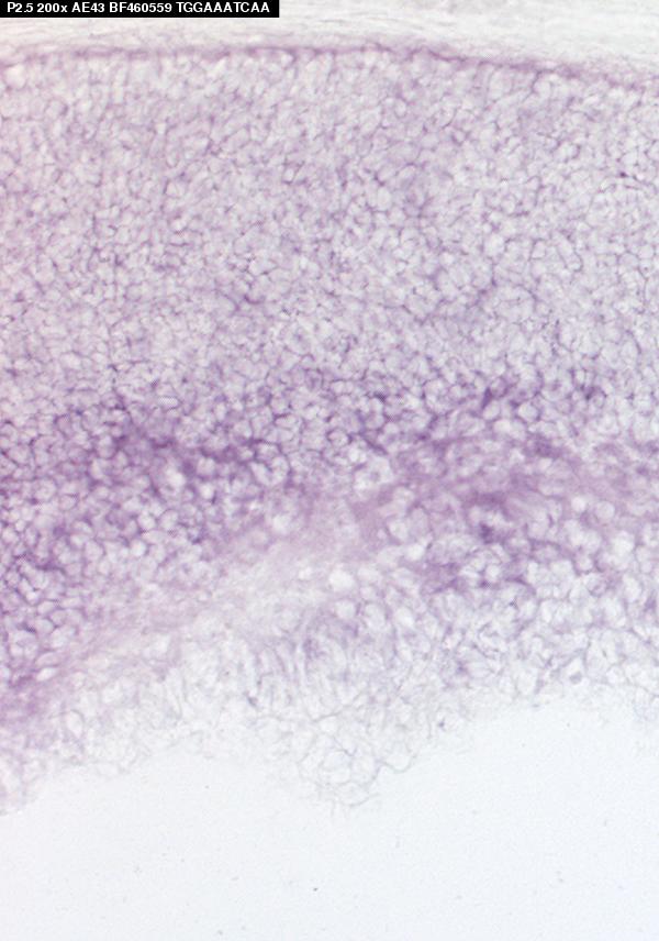
Specimen P2/3: postnatal day 2-3 (more )
Structure Level Pattern Image Note
TS27: retina outer nuclear layer Present Submitted Image - ae43BP2.5 Expression was detected in the outer neuroblastic layer.
TS27: retina inner nuclear layer Present Submitted Image - ae43BP2.5 Expression was detected in the inner neuroblastic layer.

Specimen P4/5: postnatal day 4-5 (more )
Structure Level Pattern Image Note
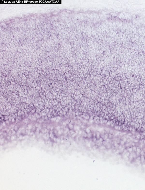
TS28: retina outer nuclear layer Weak Submitted Image - ae43BP4.5 Expression was detected in the outer neuroblastic layer.
TS28: retina inner nuclear layer Present Submitted Image - ae43BP4.5 Expression was detected in the inner neuroblastic layer.

Specimen P6/7: postnatal day 6-7 (more )
Structure Level Pattern Image Note
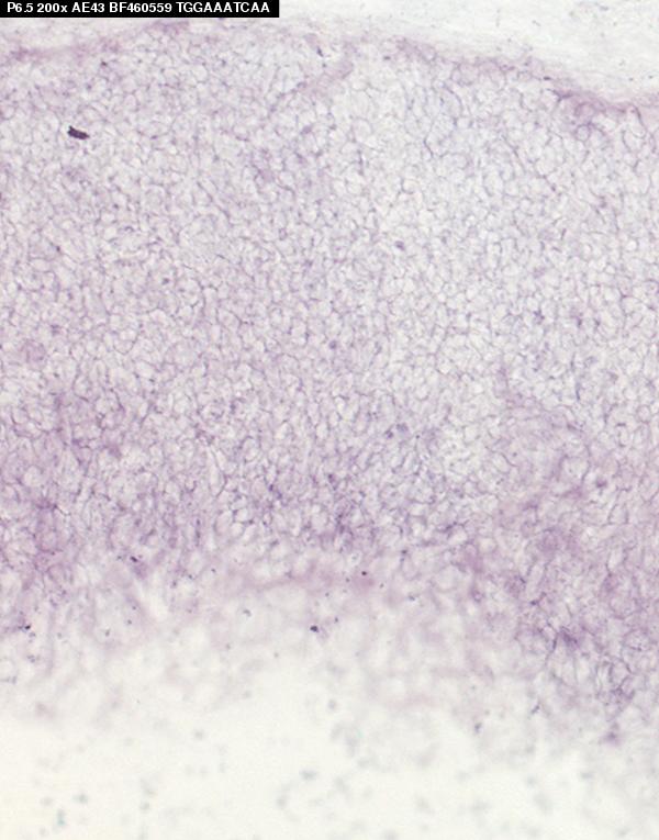
TS28: retina inner nuclear layer Weak Submitted Image - ae43BP6.5 , Submitted Image - ae43P6.5
TS28: retina outer nuclear layer Weak Submitted Image - ae43P6.5 , Submitted Image - ae43BP6.5
TS28: retina layer Present Regionally restricted Submitted Image - ae43P6.5 , Submitted Image - ae43BP6.5 Expression was detected in amacrine cells.
TS28: retina ganglion cell layer Present Submitted Image - ae43P6.5 , Submitted Image - ae43BP6.5

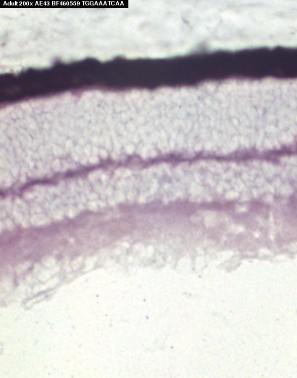
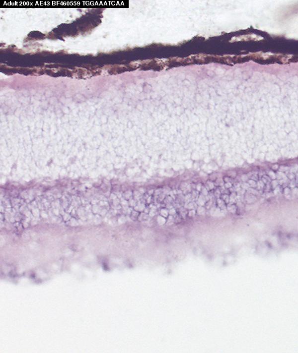
Specimen Adult: postnatal adult (more )
Structure Level Pattern Image Note
TS28: retina layer Present Regionally restricted Submitted Image - ae43BAdult , Submitted Image - ae43Adult Expression was detected in amacrine cells.
TS28: retina ganglion cell layer Present Submitted Image - ae43BAdult , Submitted Image - ae43Adult

Specimen CNS: postnatal day 6 (more )
Structure Level Pattern Image Note
TS28: central nervous system Present Expression was widespread.

Specimen Embryo: embryonic day 16.0 (more )
Structure Level Pattern Image Note
TS24: central nervous system Present
TS24: embryo Present Expression was widespread.


Contributing Projects:
Mouse Genome Database (MGD), Gene Expression Database (GXD), Mouse Models of Human Cancer database (MMHCdb) (formerly Mouse Tumor Biology (MTB)), Gene Ontology (GO)
Citing These Resources
Funding Information
Warranty Disclaimer, Privacy Notice, Licensing, & Copyright
Send questions and comments to User Support.
last database update
12/30/2025
MGI 6.24
The Jackson Laboratory