About   Help   FAQ
Gene Expression Data
Assay Details
Assay
Reference: J:93300 Blackshaw S, et al., Genomic analysis of mouse retinal development. PLoS Biol. 2004 Oct;2(9):E247
Assay type: RNA in situ
MGI Accession ID: MGI:3586016
Gene symbol: Crhbp
Gene name: corticotropin releasing hormone binding protein
Probe: UI-M-BH0-ajw-c-04-0-UI.s1
Probe preparation: Antisense labelled with digoxigenin RNA
Visualized with: Alkaline phosphatase
Assay notes: This data is from Supplemental Table 5, Gene column, row: 40241 CRF binding protein . After cryosectioning, tissue was fixed for 10' in 4% paraformaldehyde prior to processing.
Results
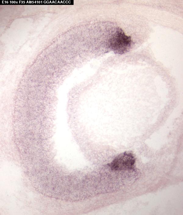
Specimen E16: embryonic day 16.0 (more )
Structure Level Pattern Image Note
TS24: retina Strong Regionally restricted Submitted Image - F35e16 , Submitted Image - F35e16B , Submitted Image - F35e16BnoCm Expression was detected in the ciliary margin.

Specimen E18: embryonic day 18.0 (more )
Structure Level Pattern Image Note
TS26: ciliary body Strong Regionally restricted Submitted Image - F35e1850x Expression was detected in the ciliary margin.

Specimen P0/1: postnatal day 0-1 (more )
Structure Level Pattern Image Note
TS27: ciliary body Strong Regionally restricted Submitted Image - F35p050x Expression was detected in the ciliary margin.

Specimen P2/3: postnatal day 2-3 (more )
Structure Level Pattern Image Note
TS27: ciliary body Strong Regionally restricted Submitted Image - F35p250x Expression was detected in the ciliary margin.

Specimen P4/5: postnatal day 4-5 (more )
Structure Level Pattern Image Note
TS28: ciliary body Present Regionally restricted Submitted Image - F35p450x Expression was detected in the ciliary margin.
TS28: retina inner nuclear layer Weak Regionally restricted Submitted Image - F35p450x Expression was detected in the vitreal inner neuroblastic layer.

Specimen P6/7: postnatal day 6-7 (more )
Structure Level Pattern Image Note
TS28: ciliary body Present Regionally restricted Submitted Image - F35p650x , Submitted Image - F35p6per Expression was detected in the ciliary margin.
TS28: retina ganglion cell layer Present Regionally restricted Submitted Image - F35p6per , Submitted Image - F35p650x Expression was detected in a subset of ganglion cells.

Specimen P8/10: postnatal day 8-10 (more )
Structure Level Pattern Image Note
TS28: ciliary body Present Regionally restricted Expression was detected in the ciliary margin.
TS28: retina ganglion cell layer Present Regionally restricted Expression was detected in a subset of ganglion cells.

Specimen Adult: postnatal adult (more )
Structure Level Pattern Image Note
TS28: ciliary body Present Regionally restricted Submitted Image - F35ad Expression was detected in the ciliary margin.
TS28: retina ganglion cell layer Present Regionally restricted Submitted Image - F35ad Expression was detected in a subset of ganglion cells.

Specimen CNS: postnatal day 6 (more )
Structure Level Pattern Image Note
TS28: diencephalon Present Regionally restricted Expression was scattered in the diencephalon.
TS28: pontine nucleus Present

Specimen Embryo: embryonic day 16.0 (more )
Structure Level Pattern Image Note
TS24: central nervous system Weak Regionally restricted Expression was weak in ventral CNS mitotic progenitors.


Contributing Projects:
Mouse Genome Database (MGD), Gene Expression Database (GXD), Mouse Models of Human Cancer database (MMHCdb) (formerly Mouse Tumor Biology (MTB)), Gene Ontology (GO)
Citing These Resources
Funding Information
Warranty Disclaimer, Privacy Notice, Licensing, & Copyright
Send questions and comments to User Support.
last database update
04/14/2026
MGI 6.24
The Jackson Laboratory